Abstract
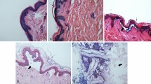
IT has been pointed out that the normal dry scab on a wound exposed to the air includes a superficial part of the dermis, and it was suggested that this is because the exposed dermal tissue is dehydrated1. Epidermis migrates below the dehydrated fibrous tissue where there is sufficient moisture for the cells to live. If the surface of the wound is deliberately kept moist by covering the wound with an occlusive film, the epidermis will migrate over the surface of the dermis. In this latter event migration of the epidermis is twice as rapid as when it is forced to pass through the fibrous tissue.
This is a preview of subscription content, access via your institution
Access options
Subscribe to this journal
Receive 51 print issues and online access
$199.00 per year
only $3.90 per issue
Buy this article
- Purchase on SpringerLink
- Instant access to the full article PDF.
USD 39.95
Prices may be subject to local taxes which are calculated during checkout
Similar content being viewed by others

References
Winter, G. D., Nature, 193, 293 (1962).
Scales, John, T., Lancet, ii, 1181 (1961).
Author information
Authors and Affiliations
Rights and permissions
About this article
Cite this article
WINTER, G., SCALES, J. Effect of Air Drying and Dressings on the Surface of a Wound. Nature 197, 91–92 (1963). https://doi.org/10.1038/197091b0
Issue date:
DOI: https://doi.org/10.1038/197091b0
This article is cited by
-
All-in-one smart dressing for simultaneous angiogenesis and neural regeneration
Journal of Nanobiotechnology (2023)
-
Evaluating polymeric biomaterials to improve next generation wound dressing design
Biomaterials Research (2022)
-
In vitro fibroblasts viability and migration stimulation of Acalypha indica: an insight on wound healing activity
Future Journal of Pharmaceutical Sciences (2021)
-
Auranofin Rapidly Eradicates Methicillin-resistant Staphylococcus aureus (MRSA) in an Infected Pressure Ulcer Mouse Model
Scientific Reports (2020)
-
An Experimental Study on Modelling the Physical Properties of Composite Psyllium, Alginate and Chitosan Fibers Using Box-Behnken Technique
Fibers and Polymers (2020)

