Abstract
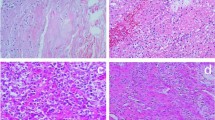
A rare case of eosinophilic granuloma in an adult is reported. Eosinophilic granuloma (EG) is a lesion observed more frequently in adults. CT and MRI showed a lytic lesion of the T11 vertebral body. A transpedicular excisional biopsy of the lesion revealed EG. Spinal EG in adults is rare and differs from the childhood disease by the spinal level involvement. Vertebra plana, a condition of spondylitis in which the body of the vertebra is reduced to a sclerotic disc, is not a roentgenographic feature in the 14 cases reported in literature. It should be included in the differential diagnosis of the solitary lytic lesion of vertebrae in adults.
Similar content being viewed by others
Log in or create a free account to read this content
Gain free access to this article, as well as selected content from this journal and more on nature.com
or
Author information
Authors and Affiliations
Rights and permissions
About this article
Cite this article
Reddy, P., Vannemreddy, P. & Nanda, A. Eosinophilic granuloma of spine in adults: a case report and review of literature. Spinal Cord 38, 766–768 (2000). https://doi.org/10.1038/sj.sc.3101061
Published:
Issue date:
DOI: https://doi.org/10.1038/sj.sc.3101061
Keywords
This article is cited by
-
A solitary osteolytic lesion with pathological fracture in the cervical spine - a case report
BMC Musculoskeletal Disorders (2023)
-
Suggested Case of Langerhans Cell Histiocytosis in a Cretaceous dinosaur
Scientific Reports (2020)
-
Langerhans cell histiocytosis in the adult lumbar spine: case report
SpringerPlus (2016)
-
Solitary eosinophilic granuloma of the adult lumbar spine
European Spine Journal (2012)
-
Multiple lytic lesions of the spine: a rare diagnosis of eosinophilic granuloma in an adult: a case report
Acta Neurochirurgica (2010)