Abstract
Study design: Single case report.
Objective: To report a case of urethral obstruction because of calculus in a subject with spinal cord injury (SCI).
Setting: Bangalore, India.
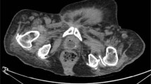
Case report: A 25-year-old man sustained complete SCI at C6 level following a road traffic accident. After 14 months, while on self-intermittent catheterization he noticed difficulty in introducing catheter and acute retention of urine. X-ray examination revealed a calculus in the penile urethra at the level of the glans penis.
Conclusion: Impaction of calculi in penile urethra, although rare, can manifest with acute painless urinary retention in patients with SCI.
Similar content being viewed by others
Log in or create a free account to read this content
Gain free access to this article, as well as selected content from this journal and more on nature.com
or
References
Frankel HL et al. Long term survival in spinal cord injury: a fifty-year investigation. Spinal Cord 1998; 36: 266–274.
McKinkley WO, Jackson AB, Cardenas DD, Devivo MJ . Long term medical complications after traumatic spinal injury. Arch Phys Med Rehabil 1999; 80: 1402–1410.
Hemal AK, Sharma SK . Male urethral calculi. Urol Int 1991; 46: 334–337.
Ditunno Jr JF, Young W, Donovan WH, Creasey G . The International Standards Booklet for Neurological and Functional Classification of spinal cord injury. Paraplegia 1994; 32: 70–80.
Vaidyanathan S et al. Recurrent bilateral renal calculi in a tetraplegic patient. Spinal Cord 1998; 36: 454–462.
Perrouin-Verbe et al. Clean intermittent catheterization: long term evaluation of urethral and genital tolerance. Paraplegia 1995; 33: 619–624.
Anand J, Sivaraman Nair KP, Taly AB, Murali T . Spontaneous expulsion of large vesicle calculi in a woman with paraparesis. Spinal Cord 1999; 37: 737–738.
El-Sherif AF, El-Hafi R . Proposed new method for non-operative treatment of urethral stones. J Urol 1991; 146: 1546–1547.
Acknowledgements
We thank Ms Manjula Sharman for secretarial assistance and photography section for reproduction of the X-ray.
Author information
Authors and Affiliations
Rights and permissions
About this article
Cite this article
Syam, U., Taly, A., Sivaraman Nair, K. et al. Penile urethral obstruction in a subject with spinal cord injury. Spinal Cord 41, 367–368 (2003). https://doi.org/10.1038/sj.sc.3101448
Published:
Issue date:
DOI: https://doi.org/10.1038/sj.sc.3101448


