Abstract
Study design:
Case report of a 7-month-old boy, who developed acute transverse myelitis after diphtheria–tetanus–pertussis immunization.
Objectives:
To describe the clinical course of acute transverse myelitis in an infant and to review the literature regarding the association of acute transverse myelitis and vaccinations.
Setting:
Department of Pediatrics, University of Kentucky, Lexington, Kentucky, USA.
Methods:
Case report.
Results:
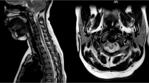
Magnetic resonance imaging (MRI) on admission demonstrated diffuse spinal cord edema with increased signal on T-2 weighted images and faint enhancement with gadolinium infusion. Urologic symptoms improved with steroids but motor function was never fully regained. Repeat MRI of the spinal cord several months later showed diminution of cord diameter with resolution of edema and signal abnormality.
Conclusion:
Based on the clinical course and MRI findings, the daignosis of acute transverse myelitis was made. The association of previously received DPT immunization and the genesis of transverse myelitis is explored.
Similar content being viewed by others
Log in or create a free account to read this content
Gain free access to this article, as well as selected content from this journal and more on nature.com
or
References
Knesbusch M, Strassburg HM, Reiners K . Acute transverse myelitis in childhood: nine cases and review of the literature. Dev Med Child Neurol 1998; 40: 631–639.
Yamamoto K, Nakagawa H, Kato S, Abe J, Inoue S, Shibuya H . Acute transverse myelitis in a 15-month-old girl: report of a case with MRI findings. J Child Neurol 1992; 7: 208–212.
Garcia-Zozaya IA . Acute transverse myelitis in a 7-month old boy. J Spinal Cord Med 2001; 24: 114–118.
Atkinson JP . Transverse myelopathy secondary to injection of penicillin. J Pediatrics 1969; 75: 867–868.
Kulenkampff M, Schwartzman JS, Wilson J . Neurological complications of pertussis inoculation. Arch Disease Childhood 1974; 45: 46–49.
Whittle E, Robertson NR . Transverse myelitis after diphtheria, tetanus, and polio immunisation. BMJ 1977; 1: 1450.
Zanoni G et al. Transverse myelitis after vaccination. Eur J Neurol 2002; 9: 696–697.
Iniguez C et al. Acute transverse myelitis secondary to hepatitis B vaccination. Rev Neurol 2000; 31: 430–432.
Fonseca LF et al. Early-onset acute transverse myelitis following hepatits B vaccination and respiratory infection: case report. Arq Neuropsiquiatr 2003; 61: 265–268.
Matsui M et al. Acute transverse myelitis after Japenese B encephalitis vaccination in a 4-year-old girl. Brain Dev 2002; 24: 187–189.
Lim S, Park SM, Choi HS, Kim DK . Transverse myelitis after measles and rubella vaccination. J Paediatr Child Health 2004; 40: 583–584.
Larner AJ, Farmer SF . Myelopathy following influenzae vaccination in inflammatory CNS disorder treated with chronic immunosuppression. Eur J Neurol 2000; 7: 731–733.
Sindern E, Schroder JM, Krismann M, Malin JP . Inflammatory polyradiculoneuropathy with spinal cord involvement and lethal outcome after hepatitis B vaccination. J Neurol Sci 2001; 186: 81–85.
Jeffery DR, Mandler RN, Davis LE . Transverse myelitis: retrospective analysis of 33 cases, with differentiation of cases associated with multiple sclerosis and parainfectious events. Arch Neurol 1993; 50: 532–535.
Kerr DA, Ayetey H . Immunopathogenesis of acute transverse myelitis. Curr Opin Neurol 2002; 15: 339–347.
Christensen PB, Wermuth L, Hinge HH, Bomors JK . Clinical course and long-term prognosis of acute transverse myelopathy. Acta Neurol Scand 1990; 81: 431–435.
Author information
Authors and Affiliations
Rights and permissions
About this article
Cite this article
Riel-Romero, R. Acute transverse myelitis in a 7-month-old boy after diphtheria–tetanus–pertussis immunization. Spinal Cord 44, 688–691 (2006). https://doi.org/10.1038/sj.sc.3101879
Published:
Issue date:
DOI: https://doi.org/10.1038/sj.sc.3101879
Keywords
This article is cited by
-
Acute transverse myelitis following SARS-CoV-2 vaccination: a case report and review of literature
Journal of Neurology (2022)