Abstract
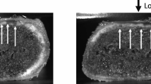
There have been many recent observations of trampling and its effect on bone surfaces1–8 as well as some experimental investigation of the process9–14. Although there is known to be a relationship between trampling and scratches on bones, there has been no detailed microscopic comparison with marks made by stone tools. As distinguishing cutmarks from other types of surface features is important in interpreting early hominid behaviour9,14–18 and the entry of humans into the New World7,19–20, we have examined possible mimics caused by trampling in an attempt to define diagnostic criteria for cutmarks. We find that microscopic features alone are not sufficient evidence to distinguish human-generated cutmarks from the results of trampling. We suggest different lines of evidence which together may achieve this goal.
This is a preview of subscription content, access via your institution
Access options
Subscribe to this journal
Receive 51 print issues and online access
$199.00 per year
only $3.90 per issue
Buy this article
- Purchase on SpringerLink
- Instant access to the full article PDF.
USD 39.95
Prices may be subject to local taxes which are calculated during checkout
Similar content being viewed by others
References
Brain, C. K. S. Af. J. Science 63, 97–99 (1967).
Gifford, D. P. thesis, Univ. California Berkeley (1977).
Behrensmeyer, A. K. Paleobiology 4, 150–162 (1978).
Hill, A. P. Paleobiology 5, 261–274 (1979).
Myers, T. P., Voorhies, M. R. & Corner, R. G. Am. Antiq. 45, 483–490 (1980).
Behrensmeyer, A. K. & Dechant Boaz, D. E. in Fossils in the Making (eds Behrensmeyer, A. K. & Hill, A. P.) 72–92 (Univ. Chicago Press, 1980).
Haynes, G. & Stanford, D. Quat. Res. 22, 216–230 (1984).
Oliver, J. S. Abstr. First Int. Conf. Bone Modific. 27 (Center for Study of Early Man, Orino, Maine, 1984).
Bunn, H. T. thesis, Univ. California Berkeley (1982).
Fiorillo, A. R. Abstr. First int. Conf. bone Modific. 11 (Center for Study of Early Man, Orino, Maine, 1984).
Fiorillo, A. R. Curr. Res. 1, 47–48 (1984).
Fiorillo, A. R. in Proc. of First Intern. Conf. Bone Modific. (ed. Bonnichsen, R.) (Center for Study of Early Man, Orino, Maine, in the press).
Andrews, P. & Cooke, J. Man (in the press).
Bunn, H. T. Nature 291, 574–577 (1981).
Oliver, J. S. in Proc. First int. Conf. on Bone Modific. (ed. Bonnichsen, R.) (Center for Study of Early Man, Orino, Maine, in the press).
Potts, R. & Shipman, P. Nature 291, 577–580 (1981).
Bunn, H. T. in Animals and Archaeology; l. Hunters and their Prey (eds Clutton-Brock, J. & Grigson, C.) 21–30. (Brit. Arch. Rep. Int. Ser. 163, 1983).
Shipman, P., Fisher, D. C. & Rose, J. J. Paleobiology 10, 358–365.
Bonnichsen, R. Can. J. Anthrop. 2, 137–144 (1982).
Rancier, J., Haynes, G. & Stanford, D. Southwestern Lore 48, 1–17 (1982).
Gordon, K. D. Am. J. phys. Anthrop. 59, 195–215 (1982).
Shipman, P. Ann. N. Y. Acad. Sci. 376, 357–385 (1981).
Shipman, P. & Rose, J. J. J. Anthrop. Archaeol. 2, 57–98 (1983).
Shipman, P. & Rose, J. J. J. Archaeol. Sci. 10, 465–474.
Bromage, T. G. Am. J. Phys. Anthrop 64, 161–178 (1984).
Behrensmeyer, A. K., Gordon, K. D. & Yanagi, G. T. in Proc. First int. Conf. Bone Modific. (ed. Bonnichsen, R.) (Center for Study of Early Man, Orino, Maine, in the press).
Potts, R. thesis, Harvard Univ. (1982).
Shipman, P. in Animals and Archaeology; l. Hunters and their Prey (eds Clutton-Brock, J. & Grigson, C.) 31–49 (Brit. Arch. Rep. Int. Ser. 163, 1983).
Gifford, D. P., Isaac, G. Ll. & Nelson, C. M. Azania 15, 57–108.
White, T. D. in Achtste Kroon-Voordracht 5–33 (Spec. Pub. Nederl. Mus. v. Anthroplogieen Praehistorie, 1985).
Author information
Authors and Affiliations
Rights and permissions
About this article
Cite this article
Behrensmeyer, A., Gordon, K. & Yanagi, G. Trampling as a cause of bone surface damage and pseudo-cutmarks. Nature 319, 768–771 (1986). https://doi.org/10.1038/319768a0
Received:
Accepted:
Issue date:
DOI: https://doi.org/10.1038/319768a0
This article is cited by
-
Intra-site spatial approaches based on taphonomic analyses to characterize assemblage formation at Pleistocene sites: a case study from Buena Pinta Cave (Pinilla del Valle, Madrid, Spain)
Archaeological and Anthropological Sciences (2024)
-
Subsistence Strategies in the Lower Magdalenian at El Cierro Cave (Ribadesella, Asturias, Spain)
Journal of Paleolithic Archaeology (2024)
-
A taphonomic and spatial distribution study of the new levels of the middle Pleistocene site of Notarchirico (670–695 ka, Venosa, Basilicata, Italy)
Archaeological and Anthropological Sciences (2023)
-
A New Approach to the Quantitative Analysis of Bone Surface Modifications: the Bowser Road Mastodon and Implications for the Data to Understand Human-Megafauna Interactions in North America
Journal of Archaeological Method and Theory (2023)
-
Sabertooth carcass consumption behavior and the dynamics of Pleistocene large carnivoran guilds
Scientific Reports (2022)


