Key Points
-
Outlines the role of the general dental practitioner in the diagnosis of a tonsillolith in panoramic radiography.
-
Emphasises the importance of the medical history in the fi nal diagnosis.
-
Explains the role of differential diagnosis of a tonsillolith and other diseases.
Abstract
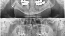
Tonsilloliths are rare concretions found in the tonsillar crypt. They are usually single and unilateral, but occasionally may be multiple or bilateral. This report describes a case of a 47-year-old woman whose radiography revealed one radiopaque image located in the right ramus of the mandible. The patient revealed a history of slight dysphagia, halitosis and swallowing pain with a foreign body sensation. Her medical history revealed a tonsillectomy when she was eight years old and the removal of the uvula because of sleep apnoea six years ago. Computer tomography showed a delimited and calcified oval image measuring 0.6 × 0.6 cm. The tonsillar concretion might have been formed because of a calcification of the lymphoid tissue. On the patient's request, surgical excision was not performed and she will be monitored due to the tendency of such lesions to grow.
Similar content being viewed by others
Log in or create a free account to read this content
Gain free access to this article, as well as selected content from this journal and more on nature.com
or
References
Neville B W, Damm D D, Allen C M et al. Oral and maxillofacial pathology. 2nd edn. pp 798. Philadelphia: WB Saunders, 2002.
Cooper M M, Steinberg J J, Lastra M et al. Tonsillar calculi: report of a case and review of the literature. Oral Surg Oral Med Oral Pathol 1983; 55: 239–243.
Pruet C W, Duplan D A . Tonsil concretions and tonsilloliths. Otolaryngol Clin North Am 1987; 20: 305–309.
Marshall W G, Irwin N D . Tonsilloliths. Oral Surg Oral Med Oral Pathol 1981; 51: 113.
Hiranandani L H . A giant tonsillolith. J Laryngol Otol 1967; 81: 819–822.
Ram S, Siar C H, Ismail S M et al. Pseudo bilateral tonsilloliths: a case report and review of the literature. Oral Surg Oral Med Oral Pathol Oral Radiol Endod 2004; 98: 110–114.
Hadi U M, Samara M S . Giant tonsillolith. Ear Nose Throat J 1985; 64: 507–508.
Donat F J S, Mocholi A P, Ferriol E E et al. Giant tonsillolith: report of a case. Med Oral Patol Oral Cir Bucal 2005; 10: 239–242.
Giudice M, Cristofaro M G, Fava M G et al. An unusual tonsillolithiasis in a patient with chronic obstructive sialoadenitis. Dentomaxillofac Radiol 2005; 34: 247–250.
Westmore B, Hupp J . Tonsillolith. Oral Surg Oral Med Oral Pathol 2001; 65: 783.
Sezer B, Tugsel Z, Bilgen C . An unusual tonsillolith. Oral Surg Oral Med Oral Pathol Oral Radiol Endod 2003; 95: 471–473.
Jones J W . A tonsillolith. Br Dent J 1996; 180: 128.
Neshat K, Penna K J, Shah D H . Tonsillolith: a case report. J Oral Maxillofac Surg 2001; 59: 692–693.
Gadgil R M . An unusually large tonsillolith. Oral Surg Oral Med Oral Pathol 1984; 58: 237.
Aspestrand F, Kolbenstvedt A . Calcifications of the palatine tonsillary region: CT demonstration. Radiology 1987; 165: 479–480.
Author information
Authors and Affiliations
Corresponding author
Rights and permissions
About this article
Cite this article
Caldas, M., Neves, E., Manzi, F. et al. Tonsillolith – report of an unusual case. Br Dent J 202, 265–267 (2007). https://doi.org/10.1038/bdj.2007.175
Accepted:
Published:
Issue date:
DOI: https://doi.org/10.1038/bdj.2007.175
This article is cited by
-
Correlation between the presence of tonsilloliths and the bone defects by periodontitis on imaging analysis: a pilot study
BMC Oral Health (2024)
-
Changes in tonsillolith characteristics detected in a follow-up CT study
BMC Oral Health (2021)
-
A Giant Tonsillolith: A Case Report
Journal of Maxillofacial and Oral Surgery (2020)
-
Prevalence and imaging characteristics of detectable tonsilloliths on 482 pairs of consecutive CT and panoramic radiographs
BMC Oral Health (2013)