Abstract
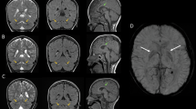
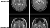
Variants in the WD repeat 45 (WDR45) gene in human Xp11.23 have recently been identified in patients suffering from neurodegeneration with brain iron accumulation, a genetically and phenotypically heterogeneous condition. WDR45 variants cause a childhood-onset encephalopathy accompanied by neurodegeneration in adulthood and iron accumulation in the basal ganglia. They have been almost exclusively found in females, and male lethality was suggested. Here we describe a male patient suffering from a severe and early neurological phenotype, initially presenting early-onset epileptic spasms in clusters associated with an abnormal interictal electroencephalography showing slow background activity, large amplitude asynchronous spikes and abnormal neurological development. This patient is a carrier of a 19.9-kb microdeletion in Xp11.23 containing three genes, including WDR45. These findings reveal that males with WDR45 deletions are viable, and can present with early-onset epileptic encephalopathy without brain iron accumulation.
Similar content being viewed by others
Log in or create a free account to read this content
Gain free access to this article, as well as selected content from this journal and more on nature.com
or
References
Gregory A, Hayflick SJ : Genetics of neurodegeneration with brain iron accumulation. Curr Neurol Neurosci Rep 2011; 11: 254–261.
Haack TB, Hogarth P, Kruer MC et al: Exome sequencing reveals de novo WDR45 mutations causing a phenotypically distinct, X-linked dominant form of NBIA. Am J Hum Genet 2012; 91: 1144–1149.
Hayflick SJ, Kruer MC, Gregory A et al: β-Propeller protein-associated neurodegeneration: a new X-linked dominant disorder with brain iron accumulation. Brain 2013; 136: 1708–1717.
Saitsu H, Nishimura T, Muramatsu K et al: De novo mutations in the autophagy gene WDR45 cause static encephalopathy of childhood with neurodegeneration in adulthood. Nat Genet 2013; 45: 445–449.
Lin CI, Orlov I, Ruggiero AM et al: Modulation of the neuronal glutamate transporter EAAC1 by the interacting protein GTRAP3-18. Nature 2001; 410: 84–88.
Ohba C, Nabatame S, Iijima Y et al: De novo WDR45 mutation in a patient showing clinically Rett syndrome with childhood iron deposition in brain. J Hum Genet 2014; 59: 292–295.
Mastrangelo M, Leuzzi V : Genes of early-onset epileptic encephalopathies: from genotype to phenotype. Pediatr Neurol 2012; 46: 24–31.
Liu Y, Vidensky S, Ruggiero AM, Maier S, Sitte HH, Rothstein JD : Reticulon RTN2B regulates trafficking and function of neuronal glutamate transporter EAAC1. J Biol Chem 2008; 283: 6561–6571.
Meldrum BS, Akbar MT, Chapman AG : Glutamate receptors and transporters in genetic and acquired models of epilepsy. Epilepsy Res 1999; 36: 189–204.
Koomoa D-LT, Go RCV, Wester K, Bachmann AS : Expression profile of PRAF2 in the human brain and enrichment in synaptic vesicles. Neurosci Lett 2008; 436: 171–176.
Torii T, Miyamoto Y, Tago K et al: Arf6 guanine nucleotide exchange factor cytohesin-2 binds to CCDC120 and is transported along neurites to mediate neurite growth. J Biol Chem 2014; 289: 33887–33903.
Acknowledgements
We thank the patient and his family for their participation in this study. This work was supported by Programme Hospitalier de Recherche Clinique 2011, Inserm and Aix Marseille University. We thank the Centre de Ressources Biologiques of La Timone Children's Hospital (Karine Bertaux, Cécile Mouradian and Andrée Robaglia-Schlupp) for assistance with the samples used in this study.
Author information
Authors and Affiliations
Corresponding author
Ethics declarations
Competing interests
The authors declare no conflict of interest.
Rights and permissions
About this article
Cite this article
Abidi, A., Mignon-Ravix, C., Cacciagli, P. et al. Early-onset epileptic encephalopathy as the initial clinical presentation of WDR45 deletion in a male patient. Eur J Hum Genet 24, 615–618 (2016). https://doi.org/10.1038/ejhg.2015.159
Received:
Revised:
Accepted:
Published:
Issue date:
DOI: https://doi.org/10.1038/ejhg.2015.159
This article is cited by
-
A comprehensive phenotypic characterization of a whole-body Wdr45 knock-out mouse
Mammalian Genome (2021)
-
Autophagy and disease: unanswered questions
Cell Death & Differentiation (2020)
-
A Novel and Mosaic WDR45 Nonsense Variant Causes Beta-Propeller Protein-Associated Neurodegeneration Identified Through Whole Exome Sequencing and X chromosome Heterozygosity Analysis
NeuroMolecular Medicine (2019)
-
WDR45 mutations in three male patients with West syndrome
Journal of Human Genetics (2016)


