Summary
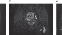
Spondylocostal dysostosis was present in three unrelated girls: a newborn with a severe from, a 16-year-old girl and a 17-month-old infant both with a mild form of the disease. They had clinical and radiographic manifestations typical of the syndrome, and in addition, several abnormalities not described previously. The latter included a right ovarian cyst and hypoplasia of the left leg in Patient 1, and aplasia of the left kidney in Patient 2. The three patients, each with different clinical manifestations, illustrate genetic heterogeneity of the syndrome.
Similar content being viewed by others
Log in or create a free account to read this content
Gain free access to this article, as well as selected content from this journal and more on nature.com
or
References
Aymé, S. and Preus, M. 1986. Spondylocostal/spondylothoracic dysostosis: The clinical basis for prognosticating and genetic counseling.Am. J. Med. Genet. 24:599–606.
Jarcho, S. and Levin, P.M. 1938. Hereditary malformation of the vertebral bodies.Bull. Johns Hopkins Hosp. 62: 216–226.
Author information
Authors and Affiliations
Rights and permissions
About this article
Cite this article
Ohashi, H., Sugio, Y. & Kajii, T. Spondylocostal dysostosis: Report of three patients. Jap J Human Genet 32, 299–303 (1987). https://doi.org/10.1007/BF01910285
Received:
Accepted:
Published:
Issue date:
DOI: https://doi.org/10.1007/BF01910285


