Abstract
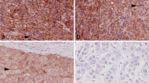
To assess the relationship between insulin-like growth factor II (IGF2) and H19 gene expression at the cellular level, we have examined the distribution of IGF2 and H19 mRNA by means of in situ hybridization in hepatic malignancies consisting of hepatocellular carcinoma (HCC), cholangiocellular carcinoma (CCC), and metastatic liver cancer (MLC). In HCC, 15 of 27 tumors (56%) and 11 of 27 tumors (41%) demonstrated increased IGF2 and H19 gene expression, respectively. Of 16 HCCs with increased expression of either IGF2 or H19, 10 tumors coexpressed both transcripts at comparable levels. Moreover, the spatiotemporal distribution and the cellular localization of the two gene transcripts were almost identical, suggesting the presence of a reciprocal relation between IGF2 and H19. In addition, 5 HCCs showed increased IGF2 expression without concomitant H19 expression, whereas 1 HCC showed increased H19 expression without IGF2 transcripts. However, 11 HCCs showed no IGF2 or H19 expression. On the other hand, neither IGF2 transcripts nor H19 transcripts were detected in 2 CCCs or 10 MLCs studied. The data suggest that IGF2 and/or H19 gene expression may be characteristic of some HCCs.
Similar content being viewed by others
Log in or create a free account to read this content
Gain free access to this article, as well as selected content from this journal and more on nature.com
or
Author information
Authors and Affiliations
Additional information
Received: July 25, 1997/Accepted: October 22, 1997
Rights and permissions
About this article
Cite this article
Sohda, T., Iwata, K., Soejima, H. et al. In situ detection of insulin-like growth factor II (IGF2) and H19 gene expression in hepatocellular carcinoma. J Hum Genet 43, 49–53 (1998). https://doi.org/10.1007/s100380050036
Published:
Issue date:
DOI: https://doi.org/10.1007/s100380050036
This article is cited by
-
Targeting of H19/cell adhesion molecules circuitry by GSK-J4 epidrug inhibits metastatic progression in prostate cancer
Cancer Cell International (2024)
-
RP11-81H3.2 Acts as an Oncogene via microRNA-490-3p Inhibition and Consequential Tankyrase 2 Up-Regulation in Hepatocellular Carcinoma
Digestive Diseases and Sciences (2020)
-
TAK1 regulates hepatic lipid homeostasis through SREBP
Oncogene (2016)
-
Expression profile of nine novel genes differentially expressed in hepatitis B virus-associated hepatocellular carcinomas
Oncogene (2001)


