Abstract
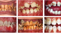
Nance-Horan syndrome (NHS) is a rare X-linked disorder characterized by congenital cataracts, dental anomalies and mental retardation. The disease has been linked to a novel gene termed NHS located at Xp22.13. The majority of pathogenic mutations of the disease include nonsense mutations and small deletions and insertions that lead to truncation of the NHS protein. In this study, we identified a microdeletion of ∼0.92 Mb at Xp22.13 detected by array-based comparative genomic hybridization in two brothers presenting congenital cataract, dental anomalies, facial dysmorphisms and mental retardation. The deleted region encompasses the REPS2, NHS, SCML1 and RAI2 genes, and was transmitted from their carrier mother who presented only mild cataract. Our findings are in line with several recent case reports to indicate that genomic rearrangement involving the NHS gene is an important genetic etiology underlying NHS.
Similar content being viewed by others
Log in or create a free account to read this content
Gain free access to this article, as well as selected content from this journal and more on nature.com
or
References
Burdon, K. P., McKay, J. D., Sale, M. M., Russell-Eggitt, I. M., Mackey, D. A., Wirth, M. G et al. Mutations in a novel gene, NHS, cause the pleiotropic effects of Nance-Horan syndrome, including severe congenital cataract, dental anomalies, and mental retardation. Am. J. Hum. Genet. 73, 1120–1130 (2003).
Brooks, S., Ebenezer, N., Poopalasundaram, S., Maher, E., Francis, P., Moore, A. et al. Refinement of the X-linked cataract locus (CXN) and gene analysis for CXN and Nance-Horan syndrome (NHS). Ophthalmic Genet. 25, 121–131 (2004).
Ramprasad, V. L., Thool, A., Murugan, S., Nancarrow, D., Vyas, P., Rao, S. K. et al. Truncating mutation in the NHS gene: phenotypic heterogeneity of Nance-Horan syndrome in an asian Indian family. Invest. Ophthalmol. Vis. Sci. 46, 17–23 (2005).
Sharma, S., Ang, S. L., Shaw, M., Mackey, D. A., Gecz, J., McAvoy, J. W. et al. Nance-Horan syndrome protein, NHS, associates with epithelial cell junctions. Hum. Mol. Genet. 15, 1972–1983 (2006).
Sharma, S., Koh, K. S., Collin, C., Dave, A., McMellon, A., Sugiyama, Y. et al. NHS-A isoform of the NHS gene is a novel interactor of ZO-1. Exp. Cell Res. 315, 2358–2372 (2009).
Coccia, M., Brooks, S. P., Webb, T. R., Christodoulou, K., Wozniak, I. O., Murday, V. et al. X-linked cataract and Nance-Horan syndrome are allelic disorders. Hum. Mol. Genet. 18, 2643–2655 (2009).
Florijn, R. J., Loves, W., Maillette de Buy Wenniger-Prick, L. J., Mannens, M. M., Tijmes, N., Brooks, S. P. et al. New mutations in the NHS gene in Nance-Horan Syndrome families from the Netherlands. Eur. J. Hum. Genet. 14, 986–990 (2006).
Sharma, S., Burdon, K. P., Dave, A., Jamieson, R. V., Yaron, Y., Billson, F. et al. Novel causative mutations in patients with Nance-Horan syndrome and altered localization of the mutant NHS-A protein isoform. Mol. Vis. 14, 1856–1864 (2008).
Huang, K. M., Wu, J., Brooks, S. P., Hardcastle, A. J., Lewis, R. A. & Stambolian, D. Identification of three novel NHS mutations in families with Nance-Horan syndrome. Mol. Vis. 13, 470–474 (2007).
Reches, A., Yaron, Y., Burdon, K., Crystal-Shalit, O., Kidron, D., Malcov, M. et al. Prenatal detection of congenital bilateral cataract leading to the diagnosis of Nance-Horan syndrome in the extended family. Prenat. Diagn. 27, 662–664 (2007).
Brooks, S. P., Ebenezer, N. D., Poopalasundaram, S., Lehmann, O. J., Moore, A. T. & Hardcastle, A. J. Identification of the gene for Nance-Horan syndrome (NHS). J. Med. Genet. 41, 768–771 (2004).
Van Esch, H., Jansen, A., Bauters, M., Froyen, G. & Fryns, J. P. Encephalopathy and bilateral cataract in a boy with an interstitial deletion of Xp22 comprising the CDKL5 and NHS genes. Am. J. Med. Genet. A 143, 364–369 (2007).
Wu, H. H. & Su, B. Adaptive evolution of SCML1 in primates, a gene involved in male reproduction. BMC Evol. Biol. 8, 192 (2008).
Oosterhoff, J. K., Kuhne, L. C., Grootegoed, J. A. & Blok, L. J. EGF signalling in prostate cancer cell lines is inhibited by a high expression level of the endocytosis protein REPS2. Int. J. Cancer 113, 561–567 (2005).
Oosterhoff, J. K., Penninkhof, F., Brinkmann, A. O., Anton Grootegoed, J. & Blok, L. J. REPS2/POB1 is downregulated during human prostate cancer progression and inhibits growth factor signalling in prostate cancer cells. Oncogene 22, 2920–2925 (2003).
Toutain, A., Ayrault, A. D. & Moraine, C. Mental retardation in Nance-Horan syndrome: clinical and neuropsychological assessment in four families. Am. J. Med. Genet. 71, 305–314 (1997).
Newey, S. E., Velamoor, V., Govek, E. E. & Van Aelst, L. Rho GTPases, dendritic structure, and mental retardation. J. Neurobiol. 64, 58–74 (2005).
Giannandrea, M., Bianchi, V., Mignogna, M. L., Sirri, A., Carrabino, S., D'Elia, E. et al. Mutations in the small GTPase gene RAB39B are responsible for X-linked mental retardation associated with autism, epilepsy, and macrocephaly. Am. J. Hum. Genet. 86, 185–195 (2010).
Acknowledgements
The study was supported by a grant from the National Health Research Institutes, Taiwan.
Author information
Authors and Affiliations
Corresponding authors
Rights and permissions
About this article
Cite this article
Liao, HM., Niu, DM., Chen, YJ. et al. Identification of a microdeletion at Xp22.13 in a Taiwanese family presenting with Nance-Horan syndrome. J Hum Genet 56, 8–11 (2011). https://doi.org/10.1038/jhg.2010.121
Received:
Revised:
Accepted:
Published:
Issue date:
DOI: https://doi.org/10.1038/jhg.2010.121
Keywords
This article is cited by
-
Nance-Horan Syndrome: characterization of dental, clinical and molecular features in three new families
BMC Oral Health (2023)
-
Low RAI2 expression is a marker of poor prognosis in breast cancer
Breast Cancer Research and Treatment (2021)
-
A contiguous microdeletion syndrome at Xp23.13 with non-obstructive azoospermia and congenital cataracts
Journal of Assisted Reproduction and Genetics (2020)
-
Whole exome sequencing identified a novel truncation mutation in the NHS gene associated with Nance-Horan syndrome
BMC Medical Genetics (2019)
-
Genetic architecture of laterality defects revealed by whole exome sequencing
European Journal of Human Genetics (2019)


