Abstract
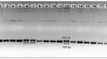
A mutant allele of the β-chemokine receptor gene CCR5 bearing a 32-basepair (bp) deletion (denoted Δccr5) which prevents cell invasion by the primary transmitting strain of HIV-1 has recently been characterized1–3. Homozygotes for the mutation are resistant to infection, even after repeated high-risk exposures1,4, but this resistance appears not to be total, as isolated cases of HIV-positive deletion homozygotes are now emerging5. The consequence of the heterozygous state is not clear, but it may delay the progression to AIDS in infected individuals2,3,6,7. A gene frequency of approximately 10% was found for Δccr5 in populations of European descent, but no mutant alleles were reported in indigenous non-European populations. As the total number of non-European samples surveyed was small in comparison with the Europeans the global distribution of this mutation is far from clear. We have devised a rapid PCR assay for Δccr5 and used it to screen 3,342 individuals from a globally-distributed range of populations. We find that Δccr5 is not confined to people of European descent but is found at frequencies of 2–5% throughout Europe, the Middle East and the Indian subcontinent (Fig. 1). Isolated occurrences are seen elsewhere throughout the world, but these most likely represent recent European gene flow into the indigenous populations. The inter-population differences in Δccr5 frequency may influence the pattern of HIV transmission and so will need to be incorporated into future predictions of HIV levels.
This is a preview of subscription content, access via your institution
Access options
Subscribe to this journal
Receive 12 print issues and online access
$259.00 per year
only $21.58 per issue
Buy this article
- Purchase on SpringerLink
- Instant access to the full article PDF.
USD 39.95
Prices may be subject to local taxes which are calculated during checkout
Similar content being viewed by others
References
Liu, R. et al. Homozygous defect in HIV-1 coreceptor accounts for resistance of some multiply-exposed individuals to HIV-1 infection. Cell 86, 367–377 (1996).
Samson, M. et al. Resistance to HIV-1 infection in Caucasian individuals bearing mutant alleles of the CCR5 chemokine receptor gene. Nature 382, 722–725 (1996).
Dean, M. et al. Genetic restriction of HIV-1 infection and progression to AIDS by a deletion allele of the CKR5 structural gene. Science 273, 1856–1862 (1996).
Paxton, W.A. et al. Relative resistance to HIV-1 infection of CD4 lymphocytes from persons who remain uninfected despite multiple high-risk sexual exposures. Mature Med. 2, 412–417 (1996).
Biti, R., French, R., Young, J., Bennetts, B. & Stewart, G. HIV-1 infection in an individual homozygous for the CCR5 deletion allele. Nature Med. 3, 252–253(1997).
Huang, Y. et al. The role of a mutant CCR5 allele in HIV-1 transmission and disease progression. Nature Med. 2, 1240–1243 (1996).
Michael, N.L. et al. The role of viral phenotype and CCR5 gene defects in HIV-1 transmission and disease progression. Nature Med. 3, 338–40 (1997).
Hill, C.M. & Littman, D.R. Natural resistance to HIV? Nature 382, 668–669 (1996).
Fauci, A.S. Resistance to HIV-1 infection: It's all in the genes. Nature Med. 2, 966–967 (1996).
Neote, K., DiGregorio, D., Mak, J.Y., Horuk, R. & Schall, T.J. Molecular cloning, functional expression, and signalling characteristics of a C-C chemokine receptor. Cell 72, 415–425 (1993).
Samson, M., Labbe, O., Mollereau, C., Vassart, G. & Parmentier, M. Molecular cloning and functional expression of a new human CC-chemokine receptor gene. Biochemistry 35, 3362–367 (1996).
Murphy, P.M. The molecular biology of leukocyte chemoattractant receptors. Annu. Rev. Immunol. 12, 593–633 (1994).
Alkhatib, G. et al. CC CKR5: A RANTES, MIP-1a, MIP-1p receptor as a fusion cofactor for macrophage-tropic HIV-1. Science 272, 1955–1958 (1996).
Choe, H. et al. The β-chemokine receptors CCR3 and CCR5 facilitate infection by primary HIV-1 isolates. Cell 85, 1135–1148 (1996).
Deng, H. et al. Identification of a major co-receptor for primary isolates of HIV-1. Nature 381, 661–666 (1996).
Doranz, B.J. et al. A dual-tropic primary HIV-1 isolate that uses fusin and the β-chemokine receptors CKR-5, CKR-3 and CKR-2b as fusion cofactors. Cell 85, 1149–1158 (1996).
Dragic, T. et al. HIV-1 entry into CD4+ cells is mediated by the chemokine receptor CC-CKR-5. Nature 381, 667–673 (1996).
Atchison, R.E. et al. Multiple extracellular elements of CCR5 and HIV-1 entry: Dissociation from response to chemokines. Science 274, 1924–1926 (1996).
Trkola, A. et al. CD4-dependent, antibody-sensitive interactions between HIV-1 and its co-receptor CCR5. Nature 384, 184–187 (1996).
Wu, L et al. CD4-induced interaction of primary HIV-1 gp120 glycoproteins with the chemokine receptor CCR5. Nature 384, 179–183 (1996).
Arenza-Seisdedos, F. et al. HIV blocked by chemokine antagonist. Nature 383, 400 (1996).
Motulsky, A. Jewish diseases and origins. Nature Genet. 9, 99–101 (1995).
Raport, C.J., Gosling, J., Schweickart, V.L., Gray, P.W. & Charo, I.F. Molecular cloning and functional characterization of a novel human CC chemokine receptor (CCR5) for RANTES, MIP-1β, and MIP-1α. J. Biol. Chem. 271, 17161–17166 (1996).
Cox, M.J., Rees, D.C., Martinson, J.J. & Clegg, J.B. Evidence for a single origin of factor V Leiden. Br. J. Haematol. 92, 1022–1025 (1996).
Flint, J., Harding, R.M., Clegg, J.B. & Boyce, A.J. Why are some genetic diseases common? Distinguishing selection from other processes by molecular analysis of globin gene variants. Hum. Genet. 91, 91–117 (1993).
Kimura, M., Theory of Molecular Evolution (Cambridge Univ. Press, Cambridge, 1983).
Rowland-Jones, S. et al. HIV-specific cytotoxic T-cells in HIV-exposed but uninfected Gambian women. Nature Med. 1, 59–64 (1995).
DeGruttola, V, Seage III, G.R., Mayer, K.H. & Horsburgh, C.R. Jr. Infectiousness of HIV between male homosexual partners. J. Clin. Epidemiol. 42, 849–856 (1989).
Morral, N. et al. The origin of the major cystic fibrosis mutation (AF508) in European populations. Nature Genet. 7, 169–175 (1994).
Cox, D.W. α1-Antitrypsin deficiency, in The Metabolic and Molecular Bases of Inherited Disease 7th edn. (eds Scriver, C.R., Beaudet, A.L., Sly, W.S. & Valle, D.) 4125–4158 (McGraw-Hill, New York, 1995).
Rees, D.C., Cox, M. & Clegg, J.B. World distribution of factor V Leiden. Lancet 346, 1133–1134 (1995).
Edwards, C.Q. et al. Prevalence of hemochromatosis among 11,065 presumably healthy blood donors. N. Engl. J. Med. 318, 1355–1362 (1988).
Author information
Authors and Affiliations
Rights and permissions
About this article
Cite this article
Martinson, J., Chapman, N., Rees, D. et al. Global distribution of the CCR5 gene 32-basepair deletion. Nat Genet 16, 100–103 (1997). https://doi.org/10.1038/ng0597-100
Received:
Accepted:
Issue date:
DOI: https://doi.org/10.1038/ng0597-100
This article is cited by
-
Molecular mechanisms by which the HIV-1 latent reservoir is established and therapeutic strategies for its elimination
Archives of Virology (2023)
-
Cysteine-cysteine chemokine receptor 5 (CCR5) profile of HIV-infected subjects attending University of Calabar Teaching Hospital, Calabar, Southern Nigeria
BMC Infectious Diseases (2020)
-
SARS-CoV-2: Remarks on the COVID-19 Pandemic
Archivum Immunologiae et Therapiae Experimentalis (2020)
-
Prevalence of CCR5delta32 in Northeastern Iran
BMC Medical Genetics (2019)
-
Genetic Polymorphisms in the Open Reading Frame of the CCR5 gene From HIV-1 Seronegative and Seropositive Individuals From National Capital Regions of India
Scientific Reports (2019)


