Abstract
Background:
Acute kidney injury affects ~70% of asphyxiated newborns, and increases their risk of developing chronic kidney disease later in life. Acute kidney injury is driven by renal oxygen deprivation during asphyxia, thus we hypothesized that creatine administered antenatally would protect the kidney from the long-term effects of birth asphyxia.
Methods:
Pregnant spiny mice were fed standard chow or chow supplemented with 5% creatine from 20-d gestation (midgestation). One day prior to term (37-d gestation), pups were delivered by caesarean or subjected to intrauterine asphyxia. Litters were allocated to one of two time-points. Kidneys were collected at 1 mo of age to estimate nephron number (stereology). Renal function (excretory profile and glomerular filtration rate) was measured at 3 mo of age, and kidneys then collected for assessment of glomerulosclerosis.
Results:
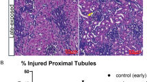
Compared with controls, at 1 mo of age male (but not female) birth-asphyxia offspring had 20% fewer nephrons (P < 0.05). At 3 mo of age male birth-asphyxia offspring had 31% lower glomerular filtration rate (P < 0.05) and greater glomerular collagen IV content (P < 0.01). Antenatal creatine prevented these renal injuries arising from birth asphyxia.
Conclusion:
Maternal creatine supplementation during pregnancy may be an effective prophylactic to prevent birth asphyxia induced acute kidney injury and the emergence of chronic kidney disease.
Similar content being viewed by others
Log in or create a free account to read this content
Gain free access to this article, as well as selected content from this journal and more on nature.com
or
References
Aggarwal A, Kumar P, Chowdhary G, Majumdar S, Narang A. Evaluation of renal functions in asphyxiated newborns. J Trop Pediatr 2005;51:295–9.
Periman JM, Tack ED. Renal injury in the asphyxiated newborn infant: Relationship to neurologic outcome. J Pediatr 1988;113:875–9.
Gouyon JB, Guignard JP. Management of acute renal failure in newborns. Pediatr Nephrol 2000;14:1037–44.
Behrman RE, Lees MH, Peterson EN, De Lannoy CW, Seeds AE. Distribution of the circulation in the normal and asphyxiated fetal primate. Am J Obstet Gynecol 1970;108:956–69.
Saikumar P, Venkatachalam MA. Role of apoptosis in hypoxic/ischemic damage in the kidney. Semin Nephrol 2003;23:511–21.
Sweetman DU, Riordan M, Molloy EJ. Management of renal dysfunction following term perinatal hypoxia-ischaemia. Acta Paediatr 2013;102:233–41.
Polito C, Papale MR, La Manna A. Long-term prognosis of acute renal failure in the full-term neonate. Clin Pediatr (Phila) 1998;37:381–5.
Askenazi DJ. Do children with acute kidney injury require long-term evaluation for CKD? Am J Kidney Dis 2012;59:478–80.
Mammen C, Al Abbas A, Skippen P, et al. Long-term risk of CKD in children surviving episodes of acute kidney injury in the intensive care unit: a prospective cohort study. Am J Kidney Dis 2012;59:523–30.
Dickinson H, Walker DW, Cullen-McEwen L, Wintour EM, Moritz K. The spiny mouse (Acomys cahirinus) completes nephrogenesis before birth. Am J Physiol Renal Physiol 2005;289:F273–9.
Ellery SJ, Ireland Z, Kett MM, Snow R, Walker DW, Dickinson H. Creatine pretreatment prevents birth asphyxia-induced injury of the newborn spiny mouse kidney. Pediatr Res 2013;73:201–8.
Dickinson H, Walker DW, Wintour EM, Moritz K. Maternal dexamethasone treatment at midgestation reduces nephron number and alters renal gene expression in the fetal spiny mouse. Am J Physiol Regul Integr Comp Physiol 2007;292:R453–61.
Dickinson H, Moritz KM, Kett MM. A comparative study of renal function in male and female spiny mice - sex specific responses to a high salt challenge. Biol Sex Differ 2013;4:21.
Müller V, Losonczy G, Heemann U, et al. Sexual dimorphism in renal ischemia-reperfusion injury in rats: possible role of endothelin. Kidney Int 2002;62:1364–71.
Park KM, Kim JI, Ahn Y, Bonventre AJ, Bonventre JV. Testosterone is responsible for enhanced susceptibility of males to ischemic renal injury. J Biol Chem 2004;279:52282–92.
Dickinson H, Walker D. Managing a colony of spiny mice (Acomys cahirinus) for perinatal research. Australian and New Zealand Council for the Care of Animals in Research and Training (ANZCCART) News 2007;20:4–11.
Ireland Z, Castillo-Melendez M, Dickinson H, Snow R, Walker DW. A maternal diet supplemented with creatine from mid-pregnancy protects the newborn spiny mouse brain from birth hypoxia. Neuroscience 2011;194:372–9.
Cannata DJ, Ireland Z, Dickinson H, et al. Maternal creatine supplementation from mid-pregnancy protects the diaphragm of the newborn spiny mouse from intrapartum hypoxia-induced damage. Pediatr Res 2010;68:393–8.
Gundersen HJ, Bagger P, Bendtsen TF, et al. The new stereological tools: disector, fractionator, nucleator and point sampled intercepts and their use in pathological research and diagnosis. APMIS 1988;96:857–81.
Bertram JF. Analyzing renal glomeruli with the new stereology. Int Rev Cytol 1995;161:111–72.
Schreiber A, Shulhevich Y, Geraci S, et al. Transcutaneous measurement of renal function in conscious mice. Am J Physiol Renal Physiol 2012;303:F783–8.
Ellery SJ, Cai X, Walker DD, Dickinson H, Kett MM. Transcutaneous measurement of glomerular filtration rate in small rodents: through the skin for the win? Nephrology (Carlton) 2015;20:117–23.
Chow F, Ozols E, Nikolic-Paterson DJ, Atkins RC, Tesch GH. Macrophages in mouse type 2 diabetic nephropathy: correlation with diabetic state and progressive renal injury. Kidney Int 2004;65:116–28.
Brenner BM, Lawler EV, Mackenzie HS. The hyperfiltration theory: a paradigm shift in nephrology. Kidney Int 1996;49:1774–7.
Hostetter TH, Olson JL, Rennke HG, Venkatachalam MA, Brenner BM. Hyperfiltration in remnant nephrons: a potentially adverse response to renal ablation. Am J Physiol 1981;241:F85–93.
Hayslett JP. Functional adaptation to reduction in renal mass. Physiol Rev 1979;59:137–64.
Morrison AB. Experimental chronic renal insufficiency. Methods Achiev Exp Pathol 1966;1:455–75.
McMillen MM. Differential mortality by sex in fetal and neonatal deaths. Science 1979;204:89–91.
Naeye RL, Burt LS, Wright DL, Blanc WA, Tatter D. Neonatal mortality, the male disadvantage. Pediatrics 1971;48:902–6.
Balsara SL, Faerber JA, Spinner NB, Feudtner C. Pediatric mortality in males versus females in the United States, 1999-2008. Pediatrics 2013;132:631–8.
Eriksson JG, Kajantie E, Osmond C, Thornburg K, Barker DJ. Boys live dangerously in the womb. Am J Hum Biol 2010;22:330–5.
Munger K, Baylis C. Sex differences in renal hemodynamics in rats. Am J Physiol 1988;254(2 Pt 2):F223–31.
Dickinson H, Moritz K, Wintour EM, Walker DW, Kett MM. A comparative study of renal function in the desert-adapted spiny mouse and the laboratory-adapted C57BL/6 mouse: response to dietary salt load. Am Physiol Soci 2007;293:F1093–98.
Wallimann T, Tokarska-Schlattner M, Schlattner U. The creatine kinase system and pleiotropic effects of creatine. Amino Acids 2011:1–26.
Wallimann T, Wyss M, Brdiczka D, Nicolay K, Eppenberger HM. Intracellular compartmentation, structure and function of creatine kinase isoenzymes in tissues with high and fluctuating energy demands: the ‘phosphocreatine circuit’ for cellular energy homeostasis. Biochem J 1992;281 (Pt 1):21–40.
Sestili P, Martinelli C, Colombo E, et al. Creatine as an antioxidant. Amino Acids 2011;40:1385–96.
Gualano B, Artioli GG, Poortmans JR, Lancha Junior AH. Exploring the therapeutic role of creatine supplementation. Amino Acids 2010;38:31–44.
LaRosa DA, Ellery SJ, Parkington HC, Snow RJ, Walker DW, Dickinson H. Maternal creatine supplementation during pregnancy prevents long-term changes in diaphragm muscle structure and function after birth asphyxia. PLoS One 2016;11:e0149840.
LaRosa DA, Ellery SJ, Snow RJ, Walker DW, Dickinson H. Maternal creatine supplementation during pregnancy prevents acute and long-term deficits in skeletal muscle after birth asphyxia: a study of structure and function of hind limb muscle in the spiny mouse. Pediatr Res 2016;80:852–60.
Ellery SJ, LaRosa DA, Kett MM, et al. Dietary creatine supplementation during pregnancy: a study on the effects of creatine supplementation on creatine homeostasis and renal excretory function in spiny mice. Amino acids 2015:1–12.
Dickinson H, Ireland ZJ, Larosa DA, et al. Maternal dietary creatine supplementation does not alter the capacity for creatine synthesis in the newborn spiny mouse. Reprod Sci 2013;20:1096–102.
Gualano B, Ferreira DC, Sapienza MT, Seguro AC, Lancha AH Jr . Effect of short-term high-dose creatine supplementation on measured GFR in a young man with a single kidney. Am J Kidney Dis 2010;55:e7–9.
Gualano B, de Salles Painelli V, Roschel H, et al. Creatine supplementation does not impair kidney function in type 2 diabetic patients: a randomized, double-blind, placebo-controlled, clinical trial. Eur J Appl Physiol 2011;111:749–56.
Acknowledgements
The authors thank Annike Griffey for her technical assistance in the laboratory, Xiaochu Cai for help with the analysis of GFR data, and the Hudson Institute Histology Platform.
Author information
Authors and Affiliations
Corresponding author
PowerPoint slides
Rights and permissions
About this article
Cite this article
Ellery, S., LaRosa, D., Cullen-McEwen, L. et al. Renal dysfunction in early adulthood following birth asphyxia in male spiny mice, and its amelioration by maternal creatine supplementation during pregnancy. Pediatr Res 81, 646–653 (2017). https://doi.org/10.1038/pr.2016.268
Received:
Accepted:
Published:
Issue date:
DOI: https://doi.org/10.1038/pr.2016.268
This article is cited by
-
Expanded discussion of kidney health monitoring for critically ill term and late preterm infants after acute kidney injury: a report from the Neonatal Kidney Health Consensus Workshop
Pediatric Nephrology (2025)
-
Decreased renal function among children born to women with obstructed labour in Eastern Uganda: a cohort study
BMC Nephrology (2024)
-
Evaluation of 3K3A-Activated Protein C to Treat Neonatal Hypoxic Ischemic Brain Injury in the Spiny Mouse
Neurotherapeutics (2019)
-
International Society of Sports Nutrition position stand: safety and efficacy of creatine supplementation in exercise, sport, and medicine
Journal of the International Society of Sports Nutrition (2017)
-
Prenatal hypoxia leads to hypertension, renal renin-angiotensin system activation and exacerbates salt-induced pathology in a sex-specific manner
Scientific Reports (2017)