Abstract
Introduction
The alar ligament is an important structure in restraining the rotational movement at the atlantoaxial joint. While bony fractures generally heal, rupture of ligaments may heal poorly in adults and often requires surgical stabilization. Atlantoaxial rotatory subluxation (AARS) is a rare injury in adults, and the prognostic importance of the presence of alar ligament injury with regard to the success of nonoperative management is unknown.
Case presentation
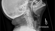
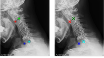
A 28-year-old woman presented after a traumatic Type I AARS without evidence of osseous injury, but MRI demonstrated evidence of unilateral alar ligament disruption. Initial conservative management with closed reduction and maintenance in a rigid cervical collar proved unsuccessful, with worsening pain and failure to maintain reduction. She subsequently underwent open reduction and surgical fixation of C1-C2, resulting in resolution of her pain and maintenance of alignment.
Discussion
Alar ligament rupture may be a negative prognostic indicator in the success of nonoperative management of type I atlantoaxial rotatory subluxation. Additional study is warranted to better assess whether the status of the alar ligament should be considered an important factor in the management algorithm of type I AARS.
Similar content being viewed by others
Log in or create a free account to read this content
Gain free access to this article, as well as selected content from this journal and more on nature.com
or
Data availability
The authors confirm that the data supporting the findings of this study are available within the article and its supplementary materials.
References
Meyer C, Eysel P, Stein G. Traumatic atlantoaxial and fracture-related dislocation. Biomed Res Int. 2019;2019:5297950 https://doi.org/10.1155/2019/5297950
Singh VK, Singh PK, Balakrishnan SK, Leitao J. Traumatic bilateral atlantoaxial rotatory subluxation mimicking as torticollis in an adult female. J Clin Neurosci. 2009;16:721–2. https://doi.org/10.1016/j.jocn.2008.07.082
Eghbal K, Derakhshan N, Haghighat A. Ocular manifestation of a cervical spine injury: an adult case of traumatic atlantoaxial rotatory subluxation manifesting with nystagmus. World Neurosurg. 2017;101:817.e1–817.e3. https://doi.org/10.1016/j.wneu.2017.02.064
Kinon MD, Nasser R, Nakhla J, Desai R, Moreno JR, Yassari R, et al. Atlantoaxial rotatory subluxation: a review for the pediatric emergency physician. Pediatr Emerg Care. 2016;32:710–6. https://doi.org/10.1097/PEC.0000000000000817
Missori P, Marruzzo D, Peschillo S, Domenicucci M. Clinical remarks on acute post-traumatic atlanto-axial rotatory subluxation in pediatric-aged patients. World Neurosurg 2014;82:e645–8. https://doi.org/10.1016/j.wneu.2014.07.020
Kombogiorgas D, Hussain I, Sgouros S. Atlanto-axial rotatory fixation caused by spontaneous intracerebral haemorrhage in a child. Childs Nerv Syst. 2006;22:1182–6. https://doi.org/10.1007/s00381-006-0053-3
Fielding JW, Stillwell WT, Chynn KY, Spyropoulos EC. Use of computed tomography for the diagnosis of atlanto-axial rotatory fixation. A case report. J Bone Jt Surg Am. 1978;60:1102–4.
Fielding JW, Hawkins RJ. Atlanto-axial rotatory fixation. (Fixed rotatory subluxation of the atlanto-axial joint). J Bone Jt Surg Am. 1977;59:37–44.
Horsfall HL, Gharooni A-A, Al-Mousa A, Shtaya A, Pereira E. Traumatic atlantoaxial rotatory subluxation in adults - A case report and literature review. Surg Neurol Int. 2020;11:376 https://doi.org/10.25259/SNI_671_2020
Bapat MR, Gujral A, Patel BK. Congenital unilateral atlanto-occipital rotatory subluxation: rare cause of C1 neuralgia. Spine (Philos Pa 1976). 2018;43:E1426–E1428. https://doi.org/10.1097/BRS.0000000000002724
Khazim R, Makki D, Waheed A, Aslam M, Dasgupta B. Combined rotatory and lateral atlanto-axial subluxation in rheumatoid arthritis: a case report. J Bone Spine. 2009;76:112–3. https://doi.org/10.1016/j.jbspin.2008.06.001
Tabib W, Sayegh S, Colona d’Istria F, Meyer M.Atlanto-axial Pott’s disease. Apropos of a case with review of the literature.Rev Chir Orthop Reparatrice Appar Mot.1994;80:734–8.
Tonomura Y, Kataoka H, Sugie K, Hirabayashi H, Nakase H, Ueno S. Atlantoaxial rotatory subluxation associated with cervical dystonia. Spine (Philos Pa 1976) 2007;32:E561–4. https://doi.org/10.1097/BRS.0b013e318145ac12
Elsissy J, Cheng W, Kutzner A, Danisa O. A 30-year-old male with delayed diagnosis and management of chronic post-traumatic atlantoaxial rotatory subluxation. J Orthop Case Rep. 2019;9:23–5. https://doi.org/10.13107/jocr.2250-0685.1516
Spoor AB, Diekerhof CH, Bonnet M, Oner FC. Traumatic complex dislocation of the atlanto-axial joint with odontoid and C2 superior articular facet fracture. Spine (Philos Pa 1976) 2008;33:E708–711. https://doi.org/10.1097/BRS.0b013e31817c140d
Rahimizadeh A, Williamson W, Rahimizadeh S. Traumatic chronic irreducible atlantoaxial rotatory fixation in adults: review of the literature, with two new examples. Int J Spine Surg. 2019;13:350–60. https://doi.org/10.14444/6048
Barimani B, Fairag R, Abduljabbar F, Aoude A, Santaguida C, Ouellet J, et al. A missed traumatic atlanto-axial rotatory subluxation in an adult patient: case report. Open Access Emerg Med. 2019;11:39–42. https://doi.org/10.2147/OAEM.S149296
Stiell IG, Wells GA, Vandemheen KL, Clement CM, Lesiuk H, De Maio VJ, et al. The Canadian C-spine rule for radiography in alert and stable trauma patients. JAMA. 2001;286:1841–8. https://doi.org/10.1001/jama.286.15.1841
Hoffman JR, Wolfson AB, Todd K, Mower WR. Selective cervical spine radiography in blunt trauma: methodology of the National Emergency X-Radiography Utilization Study (NEXUS). Ann Emerg Med. 1998;32:461–9. https://doi.org/10.1016/s0196-0644(98)70176-3
Eghbal K, Rakhsha A, Saffarrian A, Rahmanian A, Abdollahpour HR, Ghaffarpasand F. Surgical management of adult traumatic atlantoaxial rotatory subluxation with unilateral locked facet; case report and literature review. Bull Emerg Trauma. 2018;6:367–71. https://doi.org/10.29252/beat-060416
Fennessy J, Wick J, Scott F, Roberto R, Javidan Y, Klineberg E. The utility of magnetic resonance imaging for detecting unstable cervical spine injuries in the neurologically intact traumatized patient following negative computed tomography imaging. Int J Spine Surg. 2020;14:901–7. https://doi.org/10.14444/7138
Maida G, Marcati E, Sarubbo S. Posttraumatic atlantoaxial rotatory dislocation in a healthy adult patient: a case report and review of the literature. Case Rep Orthop. 2012;2012:183581 https://doi.org/10.1155/2012/183581
Sinigaglia R, Bundy A, Monterumici DAF. Traumatic atlantoaxial rotatory dislocation in adults. Chir Narzadow Ruchu Ortop Pol. 2008;73:149–54.
Tarantino R, Donnarumma P, Marotta N, Missori P, Viozzi I, Landi A, et al. Atlanto axial rotatory dislocation in adults: a rare complication of an epileptic seizure_case report. Neurol Med Chir (Tokyo). 2014;54:413–6. https://doi.org/10.2176/nmc.cr2012-0431
Bellil M, Hadhri K, Sridi M, Kooli M. Traumatic atlantoaxial rotatory fixation associated with C2 articular facet fracture in adult patient: case report. J Craniovertebr Junction Spine. 2014;5:163–6. https://doi.org/10.4103/0974-8237.147083
Anderson LD, D’Alonzo RT. Fractures of the odontoid process of the axis. J Bone Jt Surg Am. 1974;56:1663–74.
Ryken TC, Hadley MN, Aarabi B, Dhall SS, Gelb DE, Hurlbert RJ, et al. Management of isolated fractures of the axis in adults. Neurosurgery. 2013;72:132–50. https://doi.org/10.1227/NEU.0b013e318276ee40. Suppl 2
Meng H, Gao Y, Li M, Luo Z, Du J. Posterior atlantoaxial dislocation complicating odontoid fracture without neurologic deficit: a case report and review of the literature. Skelet Radio. 2014;43:1001–6. https://doi.org/10.1007/s00256-013-1809-y
Opoku-Darko M, Isaacs A, du Plessis S. Closed reduction of traumatic atlantoaxial rotatory subluxation with type II odontoid fracture. Interdiscip Neurosurg. 2018;11:19–23. https://doi.org/10.1016/j.inat.2017.11.003
Kim Y-S, Lee J-K, Moon S-J, Kim S-H. Post-traumatic atlantoaxial rotatory fixation in an adult: a case report. Spine (Philos Pa 1976) 2007;32:E682–7. https://doi.org/10.1097/BRS.0b013e318158cf55
García-Pallero MA, Torres CV, Delgado-Fernández J, Sola RG. Traumatic atlantoaxial rotatory fixation in an adult patient. Eur Spine J. 2019;28:284–9.
Chang D-G, Park J-B, Jang H-J. Traumatic C1-2 rotatory subluxation with dens and bilateral articular facet fractures of C2: A case report. Med (Baltim). 2018;97:e0189 https://doi.org/10.1097/MD.0000000000010189
Shen K, Deng Z, Yang J, Liu C, Zhang R. Novel posterior artificial atlanto-odontoid joint for atlantoaxial instability: a biomechanical study. J Neurosurg Spine. 2018;28:459–66. https://doi.org/10.3171/2017.7.SPINE17475
Guo Q, Deng Y, Wang J, Wang L, Lu X, Guo X, et al. Comparison of clinical outcomes of posterior C1-C2 temporary fixation without fusion and C1-C2 fusion for fresh odontoid fractures. Neurosurgery 2016;78:77–83. https://doi.org/10.1227/NEU.0000000000001006
Willauschus WG, Kladny B, Beyer WF, Glückert K, Arnold H, Scheithauer R. Lesions of the alar ligaments. In vivo and in vitro studies with magnetic resonance imaging. Spine (Philos Pa 1976) 1995;20:2493–8. https://doi.org/10.1097/00007632-199512000-00006
Niibayashi H. Atlantoaxial rotatory dislocation. a case report. Spine (Philos Pa 1976) 1998;23:1494–6. https://doi.org/10.1097/00007632-199807010-00012
Unal TC, Dolas I, Unal OF. Unilateral alar ligament injury: diagnostic, clinical, and biomechanical features. World Neurosurg. 2019;132:e878–e884. https://doi.org/10.1016/j.wneu.2019.07.198
Greenberg MR, Forgeon JL, Kurth LM, Barraco RD, Parikh PM. Atlantoaxial rotatory subluxation presenting as acute torticollis after mild trauma. Radio Case Rep. 2020;15:2112–5. https://doi.org/10.1016/j.radcr.2020.08.028
Bransford RJ, Alton TB, Patel AR, Bellabarba C. Upper cervical spine trauma. J Am Acad Orthop Surg. 2014;22:718–29. Nov
Castel E, Benazet JP, Samaha C, Charlot N, Morin O, Saillant G. Delayed closed reduction of rotatory atlantoaxial dislocation in an adult. Eur Spine J. 2001;10:449–53. https://doi.org/10.1007/s005860000237
Jeon SW, Jeong JH, Moon SM, Choi SK. Atlantoaxial rotatory fixation in adults patient. J Korean Neurosurg Soc. 2009;45:246–8. https://doi.org/10.3340/jkns.2009.45.4.246
Marti JJ, Zalacain JF, Houry DE, Isakov AP. A 24-year-old woman with neck pain. Am J Emerg Med. 2011;29:473.e1–2. https://doi.org/10.1016/j.ajem.2010.04.016
Stenson D. Diagnosis of acute atlanto-axial rotatory fixation in adults. Radiography. 2011;17:165–70. https://doi.org/10.1016/j.radi.2010.11.008
Dholakia A, Broyer Z, Conliffe T, Mandel S. Post-traumatic atlantoaxial rotatory Fixation in an adult Presenting as torticollis. Practical Neurology. Published online 2012.
Meza Escobar LE, Osterhoff G, Ossendorf C, Wanner GA, Simmen H-P, Werner CM. Traumatic atlantoaxial rotatory subluxation in an adolescent: a case report. J Med Case Rep. 2012;6:27 https://doi.org/10.1186/1752-1947-6-27
Min Han Z, Nagao N, Sakakibara T, Akeda K, Matsubara T, Sudo A, et al. Adult traumatic atlantoaxial rotatory fixation: a case report. Case Rep Orthop. 2014;2014:593621 https://doi.org/10.1155/2014/593621
Hawi N, Alfke D, Liodakis E, Omar M, Krettek C, Müller CW, et al. Case report of a traumatic atlantoaxial rotatory subluxation with bilateral locked cervical facets: management, treatment, and outcome. Case Rep Orthop. 2016;2016:7308653 https://doi.org/10.1155/2016/7308653
Author information
Authors and Affiliations
Corresponding author
Ethics declarations
Competing interests
The authors declare no competing interests.
Additional information
Publisher’s note Springer Nature remains neutral with regard to jurisdictional claims in published maps and institutional affiliations.
Supplementary information
Rights and permissions
About this article
Cite this article
Ng, C., Dominguez, J.F., Feldstein, E. et al. Does alar ligament injury predict conservative treatment failure of atlantoaxial rotatory subluxation in adults: Case report and review of the literature. Spinal Cord Ser Cases 7, 103 (2021). https://doi.org/10.1038/s41394-021-00464-9
Received:
Revised:
Accepted:
Published:
Version of record:
DOI: https://doi.org/10.1038/s41394-021-00464-9


