Abstract
Introduction
Spinal cord injury after manual manipulation of the cervical spine is rare and has never been described resulting from a patient performing a manual manipulation on their own cervical spine. To the best of our knowledge, this is the first well-documented case of this association.
Case presentation
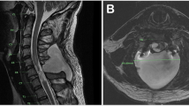
A healthy 29-year-old man developed Brown-Sequard syndrome immediately after performing a manipulation on his own cervical spine. Imaging showed large disc herniations at the levels of C4–C5 and C5–C6 with severe cord compression, so the patient underwent emergent surgical decompression. He was discharged to an acute rehabilitation hospital, where he made a full functional recovery by postoperative day 8.
Conclusion
This case highlights the benefit of swift surgical intervention followed by intensive inpatient rehab. It also serves as a warning for those who perform self-cervical manipulation.
Similar content being viewed by others
Log in or create a free account to read this content
Gain free access to this article, as well as selected content from this journal and more on nature.com
or
Data availability
All data generated or analyzed during this study are included in this published article.
References
Rengachary SS, Colen C, Guthikonda M. Charles-Édouard Brown-Séquard: An Eccentric Genius. Neurosurgery. 2008;62:954–964.
Shams S, Arain A Brown Sequard Syndrome. 2021. https://www.ncbi.nlm.nih.gov/books/NBK538135/. Accessed Aug 2021.
Zeng Y, Ren H, Wan J, Lu J, Zhong F, Deng S. Cervical disc herniation causing Brown-Sequard syndrome: Case report and review of literature (CARE-compliant). Medicine. 2018;97:e12377.
Roth E, Park T, Pang T, Yarkony G, Lee M. Traumatic cervical Brown-Sequard and Brown-Sequard-plus syndromes: the spectrum of presentations and outcomes. Spinal Cord. 1991;29:582–589.
Kranenburg HA, Schmitt MA, Puentedura EJ, Luijckx GJ, van der Schans CP. Adverse events associated with the use of cervical spine manipulation or mobilization and patient characteristics: A systematic review. Musculoskelet Sci Pract. 2017;28:32–38.
Hsieh J, Wu C, Lee S. Cervical intradural disc herniation after spinal manipulation therapy in a patient with ossification of posterior longitudinal ligament: a case report and review of the literature. Spine. 2010;35:E149–E151.
Finelli PF, Leopold N, Tarras S. Brown-Sequard syndrome and herniated cervical disc. Spine. 1992;17:598–599.
Malone DG, Baldwin NG, Tomecek FJ, Boxell CM, Gaede SE, Covington CG, et al. Complications of cervical spine manipulation therapy: 5-year retrospective study in a single-group practice. Neurosurgical Focus. 2002;13:ecp1–8.
Tsou A, Juan Y, Chen T, Lin S. Thrombolysis for atlantoaxial dislocation mimicking acute ischemic stroke. Am J Emerg Med. 2019;37:1216.e3–1216.e5.
Lipper MH, Goldstein JH, Do HM. Brown-Sequard syndrome of the cervical spinal cord after chiropractic manipulation. Am J neuroradiology: AJNR. 1998;19:1349–1352.
Segal DH, Lidov MW, Camins MB. Cervical Epidural Hematoma after Chiropractic Manipulation in a Healthy Young Woman: Case Report. Neurosurgery. 1996;39:1043–1045.
Tseng S, Chen Y, Lin S, Wang C. Cervical Epidural Hematoma after Spinal Manipulation Therapy: Case Report. J Trauma. 2002;52:585–586.
Neetu R, Chandra MS, Rashmi M. Cervical spinal epidural hematoma with acute Brown-Séquard presentation. Neurol India. 2006;54:107.
Zupruk GM, Mehta Z. Brown-Séquard syndrome associated with posttraumatic cervical epidural hematoma: case report and review of the literature. Neurosurgery. 1989;25:278–280.
Domenicucci M, Ramieri A, Salvati M, Brogna C, Raco A. Cervicothoracic epidural hematoma after chiropractic spinal manipulation therapy: Case report and review of the literature. J Neurosurg Spine. 2007;7:571–574.
Badhiwala JH, Wilson JR, Witiw CD, Harrop JS, Vaccaro AR, Aarabi B, et al. The influence of timing of surgical decompression for acute spinal cord injury: a pooled analysis of individual patient data. Lancet Neurol. 2021;20:117–126.
Fehlings MG, Vaccaro AR, Wilson JR, Singh A, W Cadotte D, Harrop J, et al. Early versus delayed decompression for traumatic cervical spinal cord injury: results of the Surgical Timing in Acute Spinal Cord Injury Study (STASCIS). PLoS ONE. 2012;7:e32037.
Author information
Authors and Affiliations
Corresponding author
Ethics declarations
Competing interests
The authors declare no competing interests.
Consent for publication
The patient consented to the publication of this case report.
Additional information
Publisher’s note Springer Nature remains neutral with regard to jurisdictional claims in published maps and institutional affiliations.
Supplementary information
Rights and permissions
About this article
Cite this article
Walker, C., Zager, E. & Abramoff, B. Brown-Sequard syndrome after manual manipulation of the cervical spine: case report. Spinal Cord Ser Cases 8, 32 (2022). https://doi.org/10.1038/s41394-022-00501-1
Received:
Revised:
Accepted:
Published:
Version of record:
DOI: https://doi.org/10.1038/s41394-022-00501-1


