Skip to main content

Thank you for visiting nature.com. You are using a browser version with limited support for CSS. To obtain the best experience, we recommend you use a more up to date browser (or turn off compatibility mode in Internet Explorer). In the meantime, to ensure continued support, we are displaying the site without styles and JavaScript.

Case Study in 2007

Filter By:

Article Type
Year
  • Tubercular lymphadenitis of the cervical lymph nodes can be easily confused with node metastases. Chaturvedi et al. present the case of a 66-year-old man who was diagnosed with tongue carcinoma. PET–CT imaging suggested extensive neck-node metastases but frozen sections revealed tuberculosis of the neck nodes. The patient underwent surgery and received multidrug antitubercular therapy. The need for cautious interpretation of PET–CT reports, especially in tuberculosis-endemic areas, is discussed.

    • Pankaj Chaturvedi
    • Prathamesh S Pai
    • Anil K D'cruz
    Case Study
  • Patients with primary plasma-cell leukemia (PCL) are usually treated with regimens used for multiple myeloma because no official guidelines exist for the treatment of PCL. Ballanti et al. discuss the case of a 68-year-old man with primary PCL who developed sustained ventricular tachycardia that was thought to be caused by thalidomide. The authors emphasize the need for complete cardiac evaluation and clinical monitoring of patients undergoing thalidomide treatment.

    • Stelvio Ballanti
    • Elena Mastrodicasa
    • Antonio Tabilio
    Case Study
  • Poorly differentiated thyroid cancers (PDTCs) are usually aggressive tumors with high rates of recurrence and distant metastases that are often resistant to radioactive iodine therapy. Tuttle and colleagues present the case of a 55-year-old man who was diagnosed with metastatic PDTC and was managed with radioactive iodine therapy. The authors discuss the current management options for patients with PDTCs that are nonresponsive to RAI therapy and highlight the need for the discovery of new systemic treatments for these patients.

    • R Michael Tuttle
    • Ravinder K Grewal
    • Steve M Larson
    Case Study
  • For patients with non-small-cell lung cancer (NSCLC) and brain metastasis, effective treatment strategies are required because systemic chemotherapy is usually ineffective. Pan and colleagues present the case of a 73-year-old man who was diagnosed with NSCLC with brain metastasis, who carried anEGFR mutation and was managed with erlotinib and whole-brain irradiation. The authors discuss the treatment options for patients with metastatic NSCLC and propose erlotinib as an appropriate therapy for patients with a high probability of harboring classic EGFRmutations.

    • Minggui Pan
    • Monica Santamaria
    • David B Wollman
    Case Study
  • Germline mutations inPTEN result in the uncommon Cowden Syndrome. Heterozygous mutations of SDH B, C and D are associated with the hereditary pheochromocytoma–paraganglioma syndrome. Zbuk et al. present the first-reported case of a woman with both PTEN and SDHCmutations, which resulted in multiple neoplasias. The authors highlight the need for predictive genetic tests and close clinical surveillance of patients with suspected Cowden or pheochromocytoma–paraganglioma syndromes.

    • Kevin M Zbuk
    • Attila Patocs
    • Charis Eng
    Case Study
  • Small-cell carcinomas of the prostate or high-grade prostate cancer with neuroendocrine differentiation are often lethal phenotypes with no direct pathognomonic symptoms. This article presents the case of a 52-year-old man diagnosed with high-grade prostate cancer and small-cell/neuroendocrine features who was managed with transurethral resection, androgen blockade, total pelvic exenteration, nephrostomy placement, and chemotherapy. The author highlights the treatment and management course in such patients and the need for early diagnosis of this aggressive type of tumor.

    • Susan F Slovin
    Case Study
  • Isolated extramedullary relapse of acute myeloid leukemia after allogeneic transplantation is a rare phenomenon, which is not well understood. Owonikoko et al. describe the case of a patient with primary refractory acute myeloid leukemia who received chemotherapy treatment on protocol, salvage therapy, matched-unrelated-donor stem-cell transplants and donor-lymphocyte infusion. The patient received radiation therapy and gemtuzumab to treat numerous extramedullary sites of disease and remains disease free with no further cytotoxic therapy since gemtuzumab administration. The authors highlight the safety and efficacy of gemtuzumab in the treatment of patients with isolated extramedullary relapse.

    • Taofeek Owonikoko
    • Mounzer Agha
    • Anastasios Raptis
    Case Study
  • Children with Down syndrome who develop transient myeloproliferative disorder or acute megakaryoblastic leukemia harbor somatic mutations in theGATA1 gene, a phenomenon specific to this syndrome. Heald and colleagues report the first case of a stillborn fetus with Down syndrome-associated acute megakaryoblastic leukemia/transient myeloproliferative disorder and a GATA1mutation. The authors discuss the management of fetuses with suspected or confirmed diagnosis of Down syndrome and highlight the need for genetic screening and counseling based on maternal age.

    • Brandie Heald
    • Joanne M Hilden
    • Charis Eng
    Case Study
  • Cervical cancer is one of the most frequent malignancies diagnosed during pregnancy. Karam et al. report the case of a 28-year-old woman who was diagnosed with poorly-differentiated stage IB2 squamous-cell cervical carcinoma at 23 weeks of gestation. The patient received neoadjuvant cisplatin, underwent radical cesarean hysterectomy and after delivery commenced pelvic radiation therapy with cisplatin chemosensitization. The authors discuss the treatment and management options for women diagnosed with cervical carcinoma during pregnancy and review the reported experience with the use of chemotherapy in such cases.

    • Amer Karam
    • Nancy Feldman
    • Christine H Holschneider
    Case Study
  • Localized rectal adenocarcinoma responds well to 5-fluorouracil/radiation-based therapy. Willett et al. present the case of a 55-year-old woman who was diagnosed with extensive and locally invasive carcinoma of the rectum and received bevacizumab in combination with chemoradiotherapy. Upon completion of neoadjuvant therapy, the patient underwent abdominoperineal resection with posterior vaginectomy, hysterectomy and bilateral salpingo-oophorectomy. The authors discuss the complete response seen in this patient and insights into the application and clinical management of using anti-VEGF therapy with chemoradiation.

    • Christopher G Willett
    • Dan G Duda
    • Rakesh K Jain
    Case Study
  • Papillary type 2 renal cell carcinoma (RCC) is part of the hereditary leiomyomatosis and renal cell carcinoma syndrome that is caused by a mutation in the fumarate hydratase (FH) gene. In this article, the authors present a tragic case of a young man who was diagnosed with papillary type 2 RCC and was managed with radical nephrectomy, immunotherapy, chemotherapy and surgical debulking. The article discusses the treatment and management of patients with renal manifestations of FH heterozygosity that are the most serious aspects of the syndrome, and underlines the need for genetic evaluation of patients and members of their families.

    • Munir Al Refae
    • Nora Wong
    • William D Foulkes
    Case Study
  • Carney's triad is a syndrome consisting of three rare neoplasms: gastric leiomyosarcoma, extra-adrenal paraganglioma and pulmonary chondroma. The article by Kächele et al. describes the case of a young woman who presented with a gastrointestinal stromal tumor and metastatic epicardial paraganglioma. The patient underwent an extended hemigastrectomy and cardiac surgery and remained free of recurrent disease during the follow-up period. This is the first report of an epicardial paraganglioma within a Carney's triad and the authors discuss the diagnostic workup and management of patients with Carney's syndrome.

    • Volker Kächele
    • Sandra Pauls
    • Thomas Seufferlein
    Case Study
  • Individuals with recessive mutations in the mismatch repair geneMSH6 are at an increased risk of developing primary and secondary malignancies. In this article, Scott et al. describe the case of a young girl with constitutional biallelic MSH6 mutations who had developed colonic carcinomas, medulloblastoma and acute myeloid leukemia. The patient underwent allogeneic bone marrow transplantation and panproctocolectomy and was treated with chemotherapy. This report broadens the tumor spectrum associated with biallelic MSH6mutations and discusses the differential diagnosis and implications for treatment in individuals with such mutations.

    • Richard H Scott
    • Sahar Mansour
    • Nazneen Rahman
    Case Study
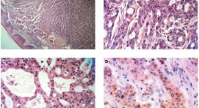
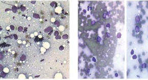
  • This article describes the case of a 78-year-old man who was presented with a rapidly growing mass in the left axilla but no other symptoms. Excisional biopsy of the mass revealed a primary adenocarcinoma with apocrine features. The patient underwent dissection of the left axillary lymph node and received radiation therapy. Fifteen months later, a biopsy revealed metastatic apocrine carcinoma. The authors discuss the differential diagnosis and treatment options for patients with apocrine carcinoma, a rare subtype of sweat-gland carcinoma.

    • Shailja Roy
    • Nelofar Q Shafi
    • Michal G Rose
    Case Study

Search

Quick links