Skip to main content

Thank you for visiting nature.com. You are using a browser version with limited support for CSS. To obtain the best experience, we recommend you use a more up to date browser (or turn off compatibility mode in Internet Explorer). In the meantime, to ensure continued support, we are displaying the site without styles and JavaScript.

News & Views in 2017

Filter By:

Article Type
Year
  • Parkinson disease (PD) affects up to 10 million people worldwide and is clinically diagnosed. Molecular phenotyping of patient samples might help to corroborate diagnosis, and a new study suggests that blood-based gene expression profiling might distinguish between patients with PD and those without. However, experience suggests that additional replication is needed.

    • Alice S. Chen-Plotkin
    News & Views
  • Cognitive ageing is a complex public health, social and economic problem that demands a bold response — a paradigm shift that leads science and society to view brain health across the lifespan of every individual as critically important. Implementation of 'Life's Simple 7' is a laudable step in that direction.

    • Charles DeCarli
    News & Views
  • A compelling need exists for a more reliable risk evaluation of natalizumab- associated progressive multifocal leukoencephalopathy (PML). A new report proposes a refined protocol that uses updated patient-based data and cumulative risk evaluation to provide an improved assessment of the annual risk of PML for patients positive for JC virus.

    • Kalliopi Pitarokoili
    • Ralf Gold
    News & Views
  • Patients with prodromal Parkinson disease (PD) are most likely to respond to disease-modifying strategies. To date, cognitive impairment has been viewed as a complication of late-stage disease, but a longitudinal analysis of data from the Rotterdam cohort raises the possibility that such impairments are also associated with prodromal PD.

    • Yaroslau Compta
    • Maria J. Martí
    News & Views
  • In recently published guidelines on the diagnosis and treatment of cerebral venous thrombosis, the European Stroke Organization has applied a rigorous evidence-based methodology, following the GRADE system. However, the guidelines provide many weak recommendations, reflecting the fact that more high-quality evidence from multicentre observational and experimental studies is needed.

    • Nicoletta Riva
    • Alessandro Squizzato
    News & Views
  • The Lancet Commission on Dementia Prevention, Intervention, and Care has evaluated current evidence on dementia management, including the measures that can be taken to reduce an individual's risk of dementia. However, further intervention trials and evaluation in real-world settings are needed to alter dementia incidence globally.

    • Louise Lafortune
    • Carol Brayne
    News & Views
  • Preventing the misfolding, aggregation, accumulation and propagation of α-synuclein — pivotal mechanisms that contribute to neurodegeneration in Parkinson disease (PD) and other synucleinopathies — is the ultimate goal of research into neuroprotective therapy. Now, exenatide, a glucagon-like peptide-1 (GLP-1) agonist, has been reported to ameliorate the severity of motor symptoms associated with PD.

    • Joseph Jankovic
    News & Views
  • A new study based on WHO data reports rates of mortality from neurological diseases in the developed world from 1989–1991 to 2012–2014. The reported increase in neurological disease mortality, which was greatest in the USA, highlights the rise of neurological diseases as an emerging threat to global health.

    • Julia Pakpoor
    • Michael Goldacre
    News & Views
  • Cognitive and neuropsychiatric impairment pose a considerable burden to patients with secondary progressive multiple sclerosis, but no effective therapies have been approved to treat these symptoms. A new trial has shown modest benefits of simvastatin treatment in this context. These results are much welcomed, but require more-rigorous testing.

    • Anthony Feinstein
    News & Views
  • A retrospective population-based cohort study has shown that outcomes were worse for patients with neuropathic pain who received long-term opioid treatment than for those who received short-term opioid treatment. The finding highlights a need for improved pain education for non-specialists and for more-effective therapies.

    • Claudia Sommer
    News & Views
  • A recent article published in Brain proposes a clinical method for subtyping Parkinson disease cases on an individual basis, with implications for better patient stratification for personalized medicine. The authors report biological validity in terms of imaging and cerebrospinal fluid parameters, but long-term predictive validity remains to be established.

    • Caroline H. Williams-Gray
    • Roger A. Barker
    News & Views
  • A variant in the TNFSF13B gene that encodes B-cell-activating factor has been found to increase the risk of multiple sclerosis and systemic lupus erythematosus in the Sardinian population. The findings underscore, and offer new insight into, the role of B cells in these autoimmune disorders, and have implications for personalized therapy.

    • Manuel Comabella
    News & Views
  • The American Academy of Neurology and the American Epilepsy Society have jointly issued a new guideline on sudden expected death in epilepsy (SUDEP). The guideline emphasizes the importance of discussing SUDEP with patients and their caregivers, and uncovers gaps in the current literature that warrant further investigation.

    • Daniel Friedman
    News & Views
  • In patients with acute ischaemic stroke resulting from anterior circulation occlusion, endovascular therapy provides greater long-term benefits than does intravenous tissue plasminogen activator. However, further improvement of systems of care and research regarding adjunct therapies is still needed.

    • Charlotte Zerna
    • Mayank Goyal
    News & Views
  • The first large trial of a multimodal lifestyle intervention combined with a nutritional supplement for dementia prevention was unsuccessful and adds to conflicting evidence from similar studies. Whether lifestyle interventions are biologically ineffective or whether the lack of efficacy is due to methodological limitations remains to be determined.

    • Nikolaos Scarmeas
    News & Views
  • The International League Against Epilepsy has published a new classification of seizure types and epilepsies that attempts to reflect recent scientific advances in the epilepsy field. This classification potentially offers a number of advantages, but it leaves some ambiguities and needs to be rigorously tested before entering routine clinical practice.

    • Ettore Beghi
    News & Views
  • Genome-wide association studies have provided important insights into the genetic underpinnings of Alzheimer disease (AD), but the relevance of the identified variants to AD pathogenesis is often unclear. A new study uses a powerful quantitative trait approach to identify genetic variants that are associated with biologically meaningful parameters in AD.

    • Liana G. Apostolova
    News & Views
  • A growing body of evidence indicates that people with migraine have an increased risk of cervical artery dissection (CeAD). A new study in young patients with ischaemic stroke has identified a specific link between CeAD and migraine without aura.

    • Caspar Grond-Ginsbach
    • Manja Kloss
    News & Views
  • A new survey of clinicians from 21 different countries has found a lack of consensus regarding the definition of familial amyotrophic lateral sclerosis. In addition, attitudes towards genetic testing vary greatly between practitioners. These attitudes must be changed if future therapeutic strategies are to succeed.

    • Albert C. Ludolph
    News & Views
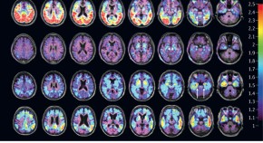
  • Progress in the development of PET radiotracers has enabled the noninvasive assessment of the pathological hallmarks of Alzheimer disease (AD) and other neurodegenerative disorders. New reports have revealed the potential usefulness of tau PET imaging in AD and non-AD tauopathies.

    • Nobuyuki Okamura
    • Kazuhiko Yanai
    News & Views

Search

Quick links