Thank you for visiting nature.com. You are using a browser version with limited support for CSS. To obtain
the best experience, we recommend you use a more up to date browser (or turn off compatibility mode in
Internet Explorer). In the meantime, to ensure continued support, we are displaying the site without styles
and JavaScript.
A new crystal structure of BtuCD, a bacterial ABC transporter that uses ATP hydrolysis to drive vitamin B12 uptake, bound to an AMP-PNP nucleotide, completes the structural elucidation of intermediates in the transport cycle and reveals how ATP accelerates transport.
An X-ray crystal structure of substrate-bound Neisseria PnuC, a bacterial member of the SWEET family of transporters, provides key insights into the translocation mechanism and potential evolution of these membrane proteins.
PRC2 promotes methylation of H3K27, a modification that recruits PRC1, which in turn deposits H2A ubiquitin marks. Müller and colleagues use biochemistry approaches to show that H2Aub recruits Jarid–Aebp2–containing PRC2 to promote H3K27 trimethylation on H2Aub nucleosomes, thus forming a positive feedback loop to establish repressed chromatin domains.
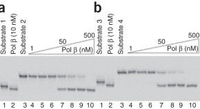
5'-adenylated DNA adducts generated during nucleotide excision repair (NER) are removed by aprataxin to permit DNA end ligation. Now, structural and kinetic analyses reveal that NER enzymes DNA polymerase β and FEN1 can also excise these adducts and thus provide a 'backup' repair pathway for abasic sites.
Human endogenous retrovirus subfamily H (HERVH) is a class of transposable elements expressed preferentially in human embryonic stem cells (hESCs). A new study now shows that the long terminal repeats of HERVH function as enhancers and that HERVH is a nuclear long noncoding RNA required to maintain hESC identity.