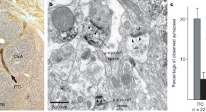
Although fearful responses to stimuli associated with unpleasant consequences are quickly learned, they can also be unlearned. This unlearning process, called 'extinction', is thought to depend on plastic changes in the amygdala. A specific population of amygdala cells (intercalated neurons) that are responsible for this unlearning have been pinpointed. Selective destruction of this cell type with a toxin leads to a corresponding decrease in the extinction of learned fear memories.
- Ekaterina Likhtik
- Daniela Popa
- Denis Paré