Filter By:

Journal Check one or more journals to show results from those journals only.

Choose more journals

Article type Check one or more article types to show results from those article types only.
Subject Check one or more subjects to show results from those subjects only.
Date Choose a date option to show results from those dates only.

Custom date range

Clear all filters
Sort by:
Showing 1–5 of 5 results
Advanced filters: Author: Benedikt Junglas Clear advanced filters
  • Using cryo-EM, the authors revealed structures of ESCRT-III superfamily member PspA and the molecular basis of structural plasticity that enables assembly modulations by the addition of nucleotides and targeted mutations.

    • Benedikt Junglas
    • Esther Hudina
    • Carsten Sachse
    ResearchOpen Access
    Nature Structural & Molecular Biology
    Volume: 32, P: 23-34
  • In eukaryotes, dynamins and dynamin-like proteins (DLPs) are involved in various membrane remodeling processes. Here, the authors present the structure and functional characterization of a DLP of the cyanobacterium Synechocystis sp. PCC 6803.

    • Lucas Gewehr
    • Benedikt Junglas
    • Dirk Schneider
    ResearchOpen Access
    Nature Communications
    Volume: 14, P: 1-17
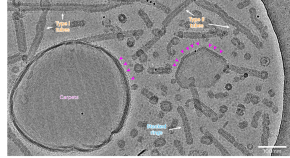
  • The authors present structures of endosomal sorting complexes required for transport III family member vesicle-inducing protein in plastids 1, ranging from helical assemblies and stacked rings to flat carpets, providing insights into transitions dependent on membrane tubulation and curvature needed for forming different architectures involved in membrane remodeling.

    • Benedikt Junglas
    • David Kartte
    • Carsten Sachse
    ResearchOpen Access
    Nature Structural & Molecular Biology
    Volume: 32, P: 555-570
  • Junglas et al. probe into the mechanism of membrane stabilization by the inner membrane-associated protein of 30 kDa (IM30), a member of the phage shock protein A (PspA) family, and report that ring-shaped IM30 super-complexes disassemble upon binding to negatively charged membrane surfaces, involving partly unfolding of the monomers and formation of a membrane-protecting carpet. This study highlights the structural role of intrinsically disordered proteins in membrane stabilization.

    • Benedikt Junglas
    • Roberto Orru
    • Dirk Schneider
    ResearchOpen Access
    Communications Biology
    Volume: 3, P: 1-10