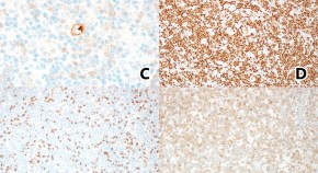
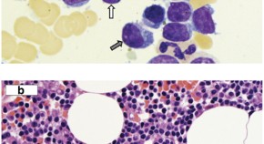
The imminent release of tissue atlases combining multichannel microscopy with single-cell sequencing and other omics data from normal and diseased specimens creates an urgent need for data and metadata standards to guide data deposition, curation and release. We describe a Minimum Information about Highly Multiplexed Tissue Imaging (MITI) standard that applies best practices developed for genomics and for other microscopy data to highly multiplexed tissue images and traditional histology.
- Denis Schapiro
- Clarence Yapp
- Peter K. Sorger