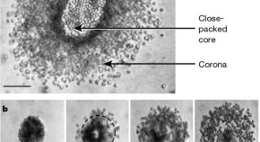
Understanding the consequences of the interplay of defects and local curvature in crystals is far from complete despite the considerable influence that a defect has on the crystal’s local properties. It is now found that interstitials inserted in curved crystals at oil/glycerol interfaces can fractionate into two dislocations, which glide through the lattice in opposite directions until they get absorbed into existing dislocations, scars or pleats.
- William T. M. Irvine
- Mark J. Bowick
- Paul M. Chaikin