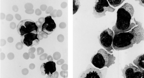
A new mouse model is developed in which haematopoietic malignancies are caused by genetic changes in the microenvironment of blood cells. Deletion in bone progenitor cells of Dicer1, a gene involved in microRNA processing, leads to a myelodysplastic syndrome-like phenotype which can progress to leukaemia. Deregulation of Sbds, which is mutated in human Schwachman–Bodian–Diamond syndrome, may be involved in this process.
- Marc H. G. P. Raaijmakers
- Siddhartha Mukherjee
- David. T. Scadden