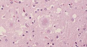
Two sets of studies, using different approaches, provide convincing evidence that the new variant of Creutzfeldt-Jakob disease (vCJD) is caused by the agent that is responsible for BSE in cattle. Like Creutzfeldt-Jakob disease itself, vCJD is a human neurological disorder that leads to brain damage and death; but it is clinically and pathologically distinct, not least in afflicting younger people. The new studies cannot however tell us anything about a crucial issue — the future number of cases of this variant disease.
- Jeffrey Almond
- John Pattison