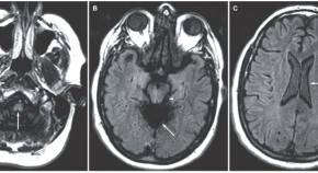
Arterial dissections are one of the most common forms of vascular lesion to affect the cervical carotid and vertebral arteries, second only to atherosclerosis. Arterial dissections are often caused by sudden or unusual stretching of arteries in the neck or head, and can occur as a complication of chiropractic and other neck manipulations. In this article, Louis Caplan reviews the underlying causes and clinical features of dissections of brain-supplying arteries and outlines the current recommendations for treatment of these lesions.