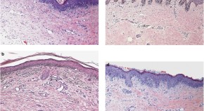
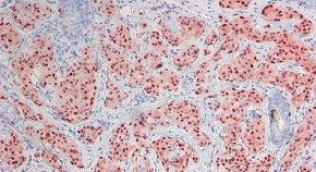
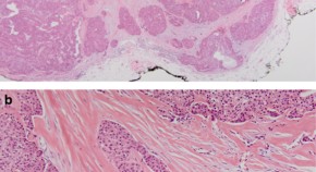
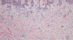
Individuals with the red hair/fair skin phenotype usually carry a polymorphism in the gene encoding the melanocortin 1 receptor (Mc1r) that results in the production of pigment containing a high pheomelanin-to-eumelanin ratio; here it is shown in a mouse model that inactivation of Mc1r promotes melanoma formation in the presence of the Braf oncogene, thus suggesting that pheomelanin synthesis is carcinogenic by an ultraviolet-radiation-independent mechanism.
- Devarati Mitra
- Xi Luo
- David E. Fisher