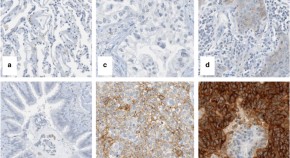
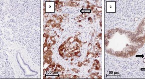
PD-L1 expression is currently the best available biomarker for the prediction of responsiveness to immune-checkpoint inhibitors. However, several immunohistochemical assays are now approved for clinical use in various settings, despite imperfect inter-assay concordance, with important implications for pathology services and, potentially, for clinical outcomes. In this Review, the authors compare the performance of the various FDA-approved PD-L1 assays, discuss the varying implications of PD-L1 expression across different tumour types and provide guidance on possible novel approaches that might optimize the clinical utility of PD-L1 as a biomarker.
- Deborah Blythe Doroshow
- Sheena Bhalla
- Fred R. Hirsch