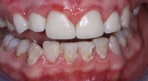
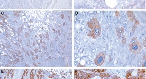
Many immunosuppressive agents used in renal transplantation are associated with an increased risk of cancer, and malignancy is the third most common cause of death among renal transplant recipients at all time points after transplantation. In this Review, Rama and Grinyó describe the epidemiological and clinical characteristics of common tumor types that occur in renal transplant recipients. They also discuss the potential pathogenic mechanisms involved in tumor development in these patients, with a particular focus on the involvement of immunosuppressive treatments.