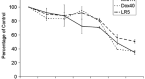
The multiple myelomas (MMs) are heterogeneous malignancies that are nearly always associated with chromosomal abnormalities, which can be considered either primary or secondary abnormalities. The classification of MM according to the underlying primary cytogenetic abnormality might enable the development of better treatment strategies. The authors describe treatment approaches that consider the current standard of care for patients with MM along with recommendations for certain subgroups of patients.
- Shaji K. Kumar
- S. Vincent Rajkumar