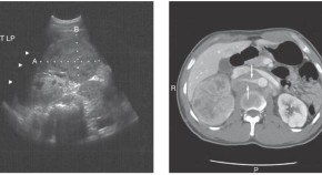
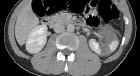
Melamine has been used in industry to adulterate human and animal foodstuffs owing to its high nitrogen content, which gives misleading results in assays that measure protein content in food. Ingestion of melamine can result in kidney stones, renal failure and, occasionally, death. The authors of this Review discuss the epidemiological, clinical, pathological, and toxicological observations that have been linked to melamine alone and in combination with cyanuric acid.
- Rishikesh P. Dalal
- David S. Goldfarb