Abstract
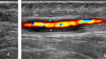
Aims We present our preliminary experience with the use of ultrasound in aiding the diagnosis of giant cell arteritis (GCA). Schmidt et alhave previously described a hypoechoic or ‘halo’ effect surrounding the walls of affected arteries on examination with ultrasound. We illustrate these features and explore the attributes and limitations of this technique.
Method Two groups of patients were recruited: (1) patients with suspected GCA awaiting temporal artery biopsy and (2) patients with no history or symptoms of GCA of a similar age group. All the recruited patients underwent ultrasound examination of both temporal arteries.
The findings on ultrasound were compared with the results of the histological specimens in group 1. For this study, the histological findings alone were used to define if a patient was suffering from GCA. No biopsies were taken in the patients in group 2.
Results Out of 26 patients with suspected GCA, seven patients were found to be positive on biopsy, of which six had been identified on ultrasound. Six patients were found to be false positive on ultrasound, but all had moderate-to-severe features of arteriosclerosis on histology. A total of 13 patients were found to be negative on ultrasound and negative on biopsy for GCA, two of these patients had histological features of arteriosclerosis.
In the group with no symptoms of GCA (12 patients), in two patients hypoechoic areas were detected.
The results presented give a sensitivity of 86%, specificity of 68%, and positive predictive value of 50% for the use of ultrasound in the diagnosis of GCA.
Conclusions This preliminary study indicates that this test may be helpful in those patients with symptoms suggestive of GCA, but currently we cannot recommend any change of present practice.
Similar content being viewed by others
Log in or create a free account to read this content
Gain free access to this article, as well as selected content from this journal and more on nature.com
or
References
Schmidt WA, Kraft HE, Vorphahl K, Volker L, Gromnica-Ihle EJ . Color duplex ultrasonography in the diagnosis temporal arteritis. N Engl J Med 1997; 19: 1336–1342.
Schmidt WA, Kraft HE, Volker L, Vorphahl K, Gromnica-Ihle EJ . Temporal Doppler flow studies for suspected GCA. Lancet 1995; 345: 866.
Barrier J, Potel G, Renaut-Hovasse H et al. Use of Doppler flow studies in the diagnosis of giant cell arteritis: selection of temporal artery biopsy site is facilitated. JAMA 1984; 97: 526–527.
Bienfang DC . Use of Doppler probe to detect the course of the superficial temporal artery. Am J Ophthalmol 1984; 87: 526–527.
Williamson TW, Baxter G, Dutton G . Colour Doppler ultrasound in the management of a case of cranial arteritis. Br J Ophthalmol 1992; 76: 690–691.
Puechal X, Chauveau M, Menkes CJ . Colour Doppler ultrasound in the management of suspected giant cell arteritis. Lancet 1995; 345: 1437–1438.
Hunder CG, Weyland CM . Sonography in giant cell arteritis. N Engl J Med 1997; 19: 1385–1386.
Myers KA, Farquhar DR . Ultrasongraphy in temporal arteritis. N Engl J Med 1998; 338: 760.
Schmidt WA . Doppler ultrasonography in the diagnosis of giant cell arteritis. Clin Exp Rheumatol 2000; 18 (Suppl 29): S40–S42.
Lauwerys BR, Puttemans T, Houssiau F et al. Colour Doppler sonography of the temporal arteries in giant cell arteritis and polymyalgia rheumatica. J Rheumatol 1997; 24: 1570–1574.
Machado EBV, Michet CJ, Michel BA et al. Trends in the incidence and clinical presentation of temporal arteritis in Olmstead Country Minnesota 1950–1985. Arthritis Rheum 1988; 31: 745–749.
Hedges TR, Gieger GL, Albert DM . The clinical value of negative temporal artery biopsy specimens. Arch Ophthalmol 1983; 56: 1251–1254.
Sudlow C . Diagnosing and managing polymalygia rheumatica and temporal arteritis, sensitivity of temporal artery biopsy varies with the length and sectioning strategy. BMJ 1997; 315: 549.
Boyev LR, Miller NR, Green R . Efficacy of unilateral versus bilateral temporal artery biopsies for the diagnosis of giant cell arteritis. Am J Ophthalmol 1999; 12: 211–215.
Hunder GG, Bloch DA, Michel BA et al. The American College of Rheumatology 1990 criteria for the classification of GCA. Arthritis Rheum 1990; 33: 1122–1128.
Chmelewski WL, McKnight KM, Agudelo CA et al. Presenting features and outcomes in patients undergoing temporal artery biopsy. Arch Intern Med 1992; 152: 1690–1695.
Hayreh SS, Podhajjsky PA, Ramen R, Zimmerman B . Giant cell arteritis: validity and reliability of various diagnostic criteria. Am J Ophthalmol 1997; 123: 285–296.
Author information
Authors and Affiliations
Corresponding author
Additional information
No proprietary interests No allocation of research funds Presented as a poster at the Royal College of Ophthalmologists Conference, Birmingham, May 2001
Rights and permissions
About this article
Cite this article
Murgatroyd, H., Nimmo, M., Evans, A. et al. The use of ultrasound as an aid in the diagnosis of giant cell arteritis: a pilot study comparing histological features with ultrasound findings. Eye 17, 415–419 (2003). https://doi.org/10.1038/sj.eye.6700350
Received:
Accepted:
Published:
Issue date:
DOI: https://doi.org/10.1038/sj.eye.6700350
Keywords
This article is cited by
-
The diagnostic value of ultrasonography-derived edema of the temporal artery wall in giant cell arteritis: a second meta-analysis
BMC Musculoskeletal Disorders (2010)
-
Bildgebung der Riesenzellarteriitis
Zeitschrift für Rheumatologie (2009)
-
Neuro-ophthalmic complications in giant cell arteritis
Current Allergy and Asthma Reports (2008)
-
Use of imaging studies in the diagnosis of vasculitis
Current Rheumatology Reports (2004)