Abstract
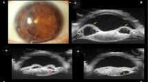
Purpose To determine the use of high-frequency ultrasound biomicroscopy (UBM) in the assessment of inflammatory lesions of the iris, ciliary body, pars plana and peripheral vitreous, and in particular to determine the proportion of cases for which UBM contributed significant additional, hitherto inaccessible, information.
Methods Charts of patients seen in the uveitis clinic at University Eye Hospital from November 1994 to September 1999 for whom a UBM investigation had been performed were analysed. UBM was performed in a standard manner, using a Humphrey UBM 840 system. The clinical relevance of the UBM findings was determined for the whole series and for the following six subgroups of patients arbitrarily established according to the type and location of pathology: hypotony, pseudophakic uveitis, iris and ciliary body pathology excluding hypotony, pars plana pathology, scleritis and Toxocara uveitis. Findings were classified as positive when they confirmed a suspected diagnosis of lesional process or when they gave essential information. Findings were classified as essential when they led to the diagnosis or when they modified therapeutic intervention.
Results During the study period 111 eyes of 77 patients were included. UBM findings contributed essential information that allowed a diagnosis to be reached or that influenced treatment in 43% of cases. It yielded positive findings in 91% of cases, enabling assessment of morphological changes in the iris, ciliary body, and retroiridal and peripheral vitreous induced by intraocular inflammatory or pseudo-inflammatory disorders. Specific UBM signs, present in all patients, were identified in Toxocara uveitis. The groups of patients that benefited most from UBM examination were those with hypotony (83% essential findings) and opaque media (100% essential fidings).
Conclusion For uveitis patients with an inflammatory process situated in the iris/ ciliary body/pars plana/retroiridal vitreous areas, UBM was of great clinical value and improved the management in a significant manner.
Similar content being viewed by others
Log in or create a free account to read this content
Gain free access to this article, as well as selected content from this journal and more on nature.com
or
References
Pavlin CJ, Sherar MD, Foster FS . Subsurface ultrasound microscope imaging of the intact eye. Ophthalmology 1990;97:244–50.
Pavlin CJ, McWhae JA, McGowan HD, Foster FS . Clinical use of ultrasound biomicroscopy. Ophthalmology 1991;92:287–95.
Pavlin CJ, Ritch R, Foster FS . Ultrasound biomicroscopy in the plateau iris syndrome. Am J Ophthalmol 1992;113:390–5.
Chiou AGY, Mermoud A, Underdahl JP, Schnyder CC . An ultrasound biomicroscopic study of eyes after deep sclerectomy with collagen implant. Ophthalmology 1998;105:746–50.
Gentile RC, Berinstein DM, Liebmann J, Rosen R, Stegman Z, Tello C, Walsh JB, Ritch R . High-resolution ultrasound biomicroscopy of the pars plana and peripheral retina. Ophthalmology 1998;105:478–84.
Heiligenhaus A, Schilling M, Lung E, Steuhl KP . Ultrasound biomicroscopy in scleritis. Ophthalmology 1998;105:527–34.
Herbort CP, deAncos E, Guex-CRosier Y, Pittet N . Use of laser flare photometry to assess and monitor inflammation in uveitis. Ophthalmology 1997;104:64–72.
Sourdille P, Santiago PY . Optical coherence tomography of macular thickness after cataract surgery. J Cataract Refract Surg 1999;25:256–61.
Herbort CP, LeHoang P, Guex-Crosier Y . Schematic indocyanine angiographic protocol for the evaluation of posterior uveitis. Ophthalmology 1998;105:432–40.
Tran VT, Lumbroso L, LeHoang P, Herbort CP . Ultrasound biomicroscopy in peripheral retinovitreal toxocariasis. Am J Ophthalmol 1999;127:607–9.
Minamoto A, Nakano KE, Tanimoto S, Mizote H, Takeda Y . Ultrasound biomicroscopy in the diagnosis of persistent hypotony after vitrectomy. Am J Ophthalmol 1997;123:711–3.
Pavlin CJ, Rootman D, Arshinoff S, et al. Determination of haptic position of transsclerally fixated posterior chamber intraocular lenses by ultrasound biomicroscopy. J Cataract Refract Surg 1993;19:573–7.
Gentile RC, Liebmann JM, Tello C, Stegman Z, Weissmann SS, Ritch R . Ciliary body enlargement and cyst formation in uveitis. Br J Ophthalmol 1996;80:895–9.
Kawano YI, Tawara A, Nishioka Y, Suyama Y, Sakamoto H, Inomata H . Ultrasound biomicroscopic analysis of transient shallow anterior chamber in Vogt-Koyanagi-Harada syndrome. Am J Ophthalmol 1996;121:720–3.
Garcia-Feijoo J, MartinCarbajo M, Benitez del Castillo JM, Garcia-Sanchez J . Ultrasound biomicroscopy in pars planitis. Am J Ophthalmol 1996;121:214–5.
Author information
Authors and Affiliations
Rights and permissions
About this article
Cite this article
Tran, V., LeHoang, P. & Herbort, C. Value of high-frequency ultrasound biomicroscopy in uveitis. Eye 15, 23–30 (2001). https://doi.org/10.1038/eye.2001.7
Received:
Accepted:
Issue date:
DOI: https://doi.org/10.1038/eye.2001.7
Keywords
This article is cited by
-
Management of presumed trematode-induced granulomatous intermediate uveitis
Eye (2023)
-
Characterization of cyclitic membranes by ultrabiomicroscopy in patients with pars planitis
Journal of Ophthalmic Inflammation and Infection (2020)