Abstract
Aim
Identify the incidence of vitreomacular traction (VMT) and frequency of reduced vision in the absence of other coexisting macular pathology using a pragmatic classification system for VMT in a population of patients referred to the hospital eye service.
Methods
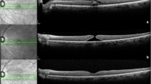
A detailed survey of consecutive optical coherence tomography (OCT) scans was done in a high-throughput ocular imaging service to ascertain cases of vitreomacular adhesion (VMA) and VMT using a departmental classification system. Analysis was done on the stages of traction, visual acuity, and association with other macular conditions.
Results
In total, 4384 OCT scan episodes of 2223 patients were performed. Two hundred and fourteen eyes had VMA/VMT, with 112 eyes having coexisting macular pathology. Of 102 patients without coexisting pathology, 57 patients had VMT grade between 2 and 8, with a negative correlation between VMT grade and number of Snellen lines (r=−0.61717). There was a distinct cutoff in visual function when VMT grade was higher than 4 with the presence of cysts and sub retinal separation and breaks in the retinal layers.
Conclusions
VMT is a common encounter often associated with other coexisting macular pathology. We estimated an incidence rate of 0.01% of VMT cases with reduced vision and without coexisting macular pathology that may potentially benefit from intervention. Grading of VMT to select eyes with cyst formation as well as hole formation may be useful for targeting patients who are at higher risk of visual loss from VMT.
Similar content being viewed by others
Log in or create a free account to read this content
Gain free access to this article, as well as selected content from this journal and more on nature.com
or
References
Reese AB, Jones IS, Cooper WC . Vitreomacular traction syndrome confirmed histologically. Am J Ophthalmol 1970; 69 (6): 975–977.
Sebag J . Anatomy and pathology of the vitreoretinal interface. Eye (Lond) 1992; 6: 541–552.
Smiddy WE, Michels RG, Green WR . Morphology, pathology, and surgery of idiopathic vitreoretinal macular disorders. A review. Retina 1990; 10: 288–296.
Miller B, Miller H, Ryan SJ . Experimental vitreous syneresis. Arch Ophthalmol 1985; 103: 1385–1388.
Sebag J . Anomalous posterior vitreous detachment: a unifying concept in vitreo-retinal disease. Graefes Arch Clin Exp Ophthalmol 2004; 242: 690–698.
Steel DHW, Lotery AG . Idiopathic vitreomacular traction and macular hole: a comprehensive review of pathophysiology, diagnosis, and treatment. Eye 2013; 27: S1–S21.
Mirza RG, Johnson MW, Jampol LM . Optical coherence tomography use in evaluation of the vitreoretinal interface: a review. Surv Ophthalmol 2007; 52: 397–421.
Bottós JM, Elizalde J, Rodrigues EB, Maia M . Current concepts in vitreomacular traction syndrome. Curr Opin Ophthalmol 2012; 23 (3): 195–201.
Jackson TL, Nicod E, Angelis A, Grimaccia F, Prevost AT, Simpson AR et al. Pars plana vitrectomy for vitreomacular traction syndrome: a systematic review and metaanalysis of safety and efficacy. Retina 2013; 33 (10): 2012–2017.
Duker JS, Kaiser PK, Binder S, de Smet MD, Gaudric A, Reichel E et al. The International Vitreomacular Traction Study Group classification of vitreomacular adhesion, traction, and macular hole. Ophthalmology 2013; 120 (12): 2611–2619.
Stalmans P, Duker JS, Kaiser PK, Heier JS, Dugel PU, Gandorfer A et al. Oct-based interpretation of the vitreomacular interface and indications for pharmacologic vitreolysis. Retina 2013; 33 (10): 2003–2011.
Stalmans P, Benz MS, Gandorfer A, Kampik A, Girach A, Pakola S et alMIVI-TRUST Study Group. Enzymatic vitreolysis with ocriplasmin for vitreomacular traction and macular holes. N Engl J Med 2012; 367 (7): 606–615.
Gallemore RP, Jumper JM, McCuen BW, Jaffe GJ, Postel EA, Toth CA . Diagnosis of vitreoretinal adhesions in macular disease with optical coherence tomography. Retina 2000; 20 (2): 115–120.
Jackson TL, Nicod E, Angelis A, Grimaccia F, Prevost AT, Simpson AR et al. Vitreous attachment in age-related macular degeneration, diabetic macular edema, and retinal vein occlusion: a systematic review and metaanalysis. Retina 2013; 33 (6): 1099–1108.
Gallagher MJ, Yilmaz T, Cervantes-Castañeda RA, Foster CS . The characteristic features of optical coherence tomography in posterior uveitis. Br J Ophthalmol 2007; 91 (12): 1680–1685.
Maier M, Pfrommer S, Burzer S, Feucht N, Winkler von Mohrenfels C, Lohmann CP . Vitreomacular interface and posterior vitreomacular adhesion in exudative age-related macular degeneration (AMD): an OCT-based comparative study. Klin Monbl Augenheilkd 2012; 229 (10): 1030–1035.
Shao L, Xu L, You QS, Wang YX, Chen CX, Yang H et al. Prevalence and associations of incomplete posterior vitreous detachment in adult Chinese: The Beijing Eye Study. PLoS One 2013; 8: e58498.
Jackson TL, Nicod E, Simpson A, Angelis A, Grimaccia F, Kanavos P . Symptomatic vitreomacular adhesion. Retina 2013; 33: 1503–1511.
NICE. Ocriplasmin for treating vitreomacular traction http://guidance.nice.org.uk/TA297. October 2013. Accessed on: 30 July 2014.
Author information
Authors and Affiliations
Corresponding author
Ethics declarations
Competing interests
The authors declare no conflict of interest.
Additional information
The results of this manuscript have previously been presented at the Oxford Ophthalmological Congress Meeting July 2014.
Rights and permissions
About this article
Cite this article
Fusi-Rubiano, W., Awad, M., Manjunath, R. et al. Spectrum of morphological and visual changes due to vitreomacular interface disorders encountered in a large consecutive cohort of patients. Eye 29, 397–402 (2015). https://doi.org/10.1038/eye.2014.313
Received:
Accepted:
Published:
Issue date:
DOI: https://doi.org/10.1038/eye.2014.313
This article is cited by
-
Swept-source optical coherence tomography changes and visual acuity among Palestinian retinitis Pigmentosa patients: a cross-sectional study
BMC Ophthalmology (2021)
-
The effect of phacoemulsification performed with vitrectomy on choroidal vascularity index in eyes with vitreomacular diseases
Scientific Reports (2021)
-
Vitreo-macular interface disorders in retinitis pigmentosa
Graefe's Archive for Clinical and Experimental Ophthalmology (2019)
-
A retrospective cohort study in patients with tractional diseases of the vitreomacular interface (ReCoVit)
Graefe's Archive for Clinical and Experimental Ophthalmology (2016)


