Abstract
Endoscopic resection (ER) allows optimal staging with potential cure of early-stage luminal malignancies while maintaining organ preservation. ER and surgery are non-competing but complementary therapeutic options. In addition, histological examination of ER specimens can either confirm or refine the pre-procedure diagnosis. ER is used for the treatment of Barrett's related early carcinomas and dysplasias, early-esophageal squamous cell carcinomas and dysplasias, early gastric carcinomas and dysplasia, as well as low-risk submucosal invasive carcinomas (LR-SMIC) and, large laterally spreading adenomas of the colon. For invasive lesions, histological risk factors predict risk of lymph node metastasis and residual disease at the ER site. Important pathological risk factors predictive of lymph node metastasis are depth of tumor invasion, poor differentiation, and lymphovascular invasion. Complete resection with negative margins is critical to avoid local recurrences. For non-invasive lesions, complete resection is curative. Therefore, a systematic approach for handling and assessing ER specimens is recommended to evaluate all above key prognostic features appropriately. Correct handling starts with pinning the specimen before fixation, meticulous macroscopic assessment with orientation of appropriate margins, systematic sectioning, and microscopic assessment of the entire specimen. Microscopic examination should be thorough for accurate assessment of all pathological risk factors and margin assessment. Site-specific issues such as duplication of muscularis mucosa of the esophagus, challenges of assessing ampullectomy specimens and site-specific differences of staging of early carcinomas throughout the gastrointestinal tract (GI) tract should be given special consideration. Finally, a standard, comprehensive pathology report that allows optimal staging with potential cure of early-stage malignancies or better stratification and guidance for additional treatment should be provided.
Similar content being viewed by others
Introduction
Over the past decade, there have been significant advances in effective endoscopic therapies for patients with superficial neoplasia of the upper and lower gastrointestinal tract [1,2,3,4,5,6]. The increasing application of advanced endoscopic resection techniques has ushered in a new era of interdisciplinary relations between pathologists and gastrointestinal endoscopists. As these techniques have evolved with more precision, detailed and meticulous pathology assessment is required. It is crucial that both groups understand each other’s clinical perspective and technical approach to ensure that patient management is optimized.
Currently, in leading tertiary centers, endoscopic resection and surgery are non-competing, but complementary therapeutic options. Endoscopic resection allows optimal staging with potential cure of early-stage malignancies while maintaining organ preservation, avoiding major surgery, and allowing for better stratification and guidance for additional treatment if appropriate. The curative status of an endoscopic resection depends on adequacy of resection and the risk of lymph node metastasis. Although lymph node status (pN) cannot be determined, important pathological risk factors predictive of lymph node metastasis can be assessed in endoscopic resections. For instance, depth of tumor invasion is linked to risk of lymph node metastasis (Table 1) [7,8,9,10,11]. Other histological risk factors include poor differentiation, lymphovascular invasion, and high-grade tumor budding [8, 11,12,13,14]. Complete resection with negative margins is critical to avoid local recurrences of both non-invasive and invasive neoplasms. Therefore, similar to the reporting of large surgical specimens, a systematic approach for handling and assessing endoscopic resection specimens is recommended to evaluate all important pathological risk factors and the margin status appropriately [15, 16].
In the West, endoscopic resections are primarily used in the setting of Barrett’s esophagus complicated by intramucosal carcinoma or dysplasia, and endoscopic management is considered the standard of care [1,2,3,4, 11,12,13,14,15,16,17,18,19]. Similarly, in the East, endoscopic resection represents the first-line therapy for early gastric cancers with very low likelihood of lymph node metastasis [20]. In addition, endoscopic resections are increasingly advocated for curative treatment and staging of early-esophageal squamous cell carcinoma, as well as low-risk submucosal invasive cancers and large laterally spreading adenomas of the colon.
In this document, representatives of the Rodger C. Haggitt Gastrointestinal Pathology Society and Australasian Gastrointestinal Pathology Society together with expert interventional gastroenterologists provide a comprehensive clinicopathological review on handling and pathological assessment of endoscopic resections of the gastrointestinal tract.
Clinical aspects
Clinical developments that led to the use of endoscopic mucosal resection and endoscopic submucosal dissection
The three main endoscopic resection techniques include simple polypectomy, endoscopic mucosal resection, and endoscopic submucosal dissection. For most of the last century, advanced endoscopic tissue resection techniques were largely limited to the concept of “polypectomy”. Except for pedunculated lesions, histologically advanced or large ( > 20 mm) mucosal neoplasms of the gastrointestinal tract could not be reliably excised “en-bloc”. Piecemeal excision was often necessary, thus compromising histological assessment and often requiring subsequent surgery to ensure cure. In the late 1990s, as a result of screening programs and advancement of endoscopic techniques, asymptomatic early neoplasms were increasingly detected, and ushered in technical innovations for their management. The advantages of minimally invasive endoscopic resection over surgical management were recognized, and proven in large prospective studies [21, 22].
Japan, with its high incidence of gastric cancer, is where the first advanced endoscopic tissue resection technique, i.e., endoscopic mucosal resection, was developed in the 1990s. Endoscopic mucosal resections can provide for en-bloc resection of small lesions (up to ~10–15 mm), but removal of lesions measuring >15 to 20 mm in size can only be accomplished in a piecemeal fashion. It is difficult, if not impossible, to assess completeness of excision at the lateral resection margins in these piecemeal resections by pathological examination [1]. Furthermore, recurrences occur in the range of 15–20%, presumably due to incomplete removal [23]. Thus, endoscopic mucosal resection does not fully meet basic therapeutic principles. Hence complete en-bloc excision should be performed for the stated goal of cure for early-stage invasive disease. In the early 2000s, endoscopic submucosal dissection was pioneered (in Japan again) as a method for en-bloc excision of early gastric cancer. The invasiveness and morbidity of a standard surgical gastrectomy was a major driver for implementing this new technique. Endoscopic submucosal dissection allows for: (1) the resection of larger lesions; (2) tissue margins to be pre-defined, and (3) lesions to be excised en-bloc. Therefore, endoscopic submucosal dissections achieve complete/R0 excision without the need for further surgery and, offer cure for those lesions with favorable histological features.
Large Japanese cohort studies, although not randomized, confirm that endoscopic submucosal dissection is associated with a very low rate of local recurrence during long-term follow-up [24,25,26]. However, the procedure is technically demanding, with average procedure times of 2–4 h, resulting in increased health resource utilization even for experts. There is also a greater incidence of complications, including perforation. Thus, endoscopic submucosal dissections are ideally limited to situations where it may add a meaningful clinical benefit. Table 2 summarizes the endoscopic treatment selection between endoscopic mucosal resections and endoscopic submucosal dissection for various mucosal pathologies at different sites in the gastrointestinal tract.
Endoscopic mucosal resections and endoscopic submucosal dissections have distinct advantages and disadvantages in the management of early neoplastic lesions throughout the gastrointestinal tract (Table 3). Selection of one technique over the other depends greatly on the location and characteristics of lesions, as well as gastroenterologist’s technical expertize.
Technical aspects of performing endoscopic resections
Simple polypectomy
This common technique allows for removal of mucosal lesions using a snare, without any additional techniques and/or devices. Electrosurgical current may be used (e.g., hot snare polypectomy) to dissect through the tissue captured in the snare, but for smaller lesions, mechanical transection of the tissue without electrocautery can be achieved by tightening the snare (e.g., cold snare polypectomy) [27]. Simple polypectomy is best suited for lesions protruding into the gastrointestinal lumen (allowing capture with the snare) and measuring <10 mm in diameter, facilitating en-bloc resection, although piecemeal cold snare polypectomy is presently being evaluated for larger polyps >10 mm in size.
Endoscopic mucosal resection
This technique uses a snare and additional ancillary technique(s) or device(s).
Inject and lift endoscopic mucosal resection
The most commonly used technique is to first inject fluid in the submucosa with a needle in order to create a submucosal cushion [28]. The now-elevated lesion is captured and removed in one or more pieces using a snare. Electrocautery is typically used to dissect through the tissue [29]. The two suggested benefits of submucosal injection are that “lifting” the lesion may make it easier to capture in the snare and that the submucosal fluid cushion protects the muscularis propria layer and serosal surface from electrocautery-induced damage. Large mucosal areas can be removed by sequentially applying injection followed by snare capture and transection (aka wide-field endoscopic mucosal resection).
Cap endoscopic mucosal resection
The cap-assisted technique utilizes a transparent distal attachment at the tip of the endoscope (cap), which creates a chamber [30]. The mucosa is suctioned up into this cap; the “pseudopolyp” thus produced is then captured at the base with a snare, and tissue is then transected by electrosurgical current. Cap endoscopic mucosal resection is predominantly used in the esophagus and rectum but can also be utilized in the duodenum and colon.
Band endoscopic mucosal resection
This is based on the use of variceal band ligator, but the concept is similar to the Cap endoscopic mucosal resection. A distal cap preloaded with rubber bands is fitted at the tip of the endoscope; after the “pseudopolyp” is sucked up into the cap, a rubber band is pushed off to create a polyp base, which can be transected.
Underwater endoscopic mucosal resection
The concept is based on the observation that the folds of a water-filled gastrointestinal lumen consist of involutions of the mucosa and submucosa, analogous to the rugae of the stomach [31]. This technique allows for the mucosa and submucosa to “float” away from the deeper muscularis layer, thus facilitating safe snare capture.
After the mucosal resection has been performed, the specimen(s) can be retrieved. To save on procedure time, esophageal and gastric endoscopic mucosal resections are often allowed to collect in the stomach and multiple endoscopic mucosal resections removed at the end of the procedure with a basket. Owing to the risk of stricturing in the esophagus, it is uncommon to resect the entire circumference; generally, one half to one-third of the circumference is treated in each session.
As noted above, lesions removed by endoscopic mucosal resection have a higher risk of local recurrence. This may be due to thin “strips” of residual mucosa present between the approximately circular areas of multiple endoscopic mucosal resections. Combining endoscopic mucosal resection with radiofrequency ablation to eradicate residual mucosa in the area of the lesion can aid in eradication [32].
Endoscopic submucosal dissections
This is a technique for en-bloc removal of superficial lesions regardless of size. Injection of fluid in the submucosa is first carried out. A circumferential mucosal incision around the lesion is then performed, followed by submucosal layer dissection [28, 33, 34] (Fig. 1 and video). A solution providing a longer-lasting submucosal cushion is typically used, and the procedure is performed with specialized knives. The technique is easier to perform in the esophagus, stomach and rectum and considerably more difficult in the colon and duodenum.
Pathologic aspects
Intraepithelial neoplasms (dysplasia and adenomas) and early invasive carcinomas are two major groups of lesions evaluated by pathologists in assessing endoscopic resections of the gastrointestinal tract. Less commonly encountered lesions are mesenchymal and neuroendocrine tumors.
Histological examination of an endoscopic resection specimen serves 2 purposes: (1) Confirmation of pre-procedure diagnosis (pinch biopsy or endoscopic impression alone); (2) Prognostication, including staging (in invasive lesions). For non-invasive lesions, complete resection is curative. Therefore, confirmation and subtyping of lesions and a comment on the lateral margins are appropriate.
For invasive lesions, histological risk factors predict two main outcomes: (1) risk of lymph node metastasis; and (2) risk of residual disease at the resection site. Adverse histological risk factors for lymph node metastases are poor tumor differentiation, lymphovascular invasion (lymphatic or venous invasion), depth of infiltration and high-tumor budding. In early neoplastic lesions, these factors are associated with higher risk of lymph node metastasis [8, 11,12,13,14]. Margin involvement is associated with residual/recurrent disease. These factors determine the curability of endoscopic resections. There are also additional site-specific special issues that will be discussed further in subsequent sections.
Unlike in the lower gastrointestinal tract, pT1 carcinomas of the upper gastrointestinal tract are divided into pT1a and pT1b, as they show different behavior in terms of risk of nodal metastases [7,8,9,10,11]. Hence, accurate pathology assessment is critical. Consequently, a systematic approach for handling, assessment and reporting of endoscopic resections similar to surgical resections should be adopted for accurate microscopic assessment [15, 16, 35, 36].
Handling/grossing
There are several well-established, important steps to follow in order to facilitate the microscopic examination and optimize the reporting.
Pinning out specimen and fixation
The specimens in the fresh status ought to be pinned out on a hard surface (e.g., cork board, Styrofoam, wax block) immediately with the mucosal side up, to prevent curling and shrinkage (Fig. 2). This can be done in the endoscopy suite by trained personnel (e.g., nurse). The specimen can then be floated upside-down in a vial of formalin and should be marked as to the presence of “sharps” (pins). Alternatively, specimens can be received fresh in the laboratory immediately after the resection has been performed and then handled in the same manner with the pinning either done by a trained histotechnician or fellows. Polypoid pieces should be loosely stretched and pinned. Over-stretching will result in tears on the margins. Pinning is not related to survival but is a standard technical procedure that has been adopted by many laboratories worldwide after being introduced by Japanese gastroenterologists close to 20 years ago. Pinning allows proper orientation and sectioning, and optimal evaluation of lateral and deep margins, which is related to local recurrence.
Endoscopic mucosal resection specimens are often un-oriented, but Endoscopic submucosal dissections may come with proximal/distal orientation. If orientation is provided, proximal/distal aspects (oral and anal ends) should be indicated. Measurement of the specimens is best performed before fixation. The specimens are placed in neutral buffered formalin as soon as possible to avoid tissue degeneration. The desirable fixation time is considered to be 12–72 h. An additional step, seldom performed, is to spray indigo carmine (on stomach or intestine specimens) or iodine staining (on esophageal specimen) to highlight the contour of the lesion. Rolled edges may pose problems not only for the assessment of lateral margins but also for depth of invasion, in particular when an invasive carcinoma is found close to the periphery of the resection. This underscores the importance of satisfactory handling with pinning out the specimen in the fresh state.
Recently, endoscopic systems such as Captivator® have been developed to facilitate handling specimens by providing cassettes for direct placement of the tissues with the lid intended to flatten the specimen in a manner similar to pinning but lacking the pin-hole artifacts. Effectiveness is greatly dependent on how the tissue is initially placed in the cassette.
Identification of the ampulla in duodenal/ampullary specimens is helpful to allow visualization of and sectioning through the ampullary duct (Fig. 3a, b). Assessment of the common bile duct, pancreatic duct or ampullary duct resection margin is important to assess adequacy of excision. A pin or probe through the ducts can be used as an indicator by the endoscopists, although it may be technically challenging (Fig. 3a). However, with this method, there is a theoretical risk of dislodging any papillary fronds of the luminal component of a lesion involving the ampullary duct and artifactually pushing them into the deep portion of the specimen. Sectioning through the ampullary duct allows examination of the ampullary duct margin and the resection base. Careful sectioning of the ampulla is necessary to be able to visualize the bile duct margin. The ampulla can be sectioned like a cervical loop electrosurgical excision procedure specimen, i.e., radially around the clock-face of the roughly circular specimen so that the area of the bile duct is seen in the inner edge of the slices, or by serially sectioning the specimen so that the bile duct area appears in the middle and extends to the deep margin of the specimen, in a “volcano-like” appearance. Evaluation is often complicated by cautery artifact at the deep margin.
An endoscopic resection of ampullary adenoma (a, b). A probe passed through the ampullary duct/canal (a). Ampullary adenoma with flat (not “rolled/curled”) edges due to appropriate pinning on a cork board; note the darkly colored opening of the duct-arrow (b). A technically optimal specimen after satisfactory pinning and fixation; appears as a flat without curled edges (c). Serially sectioned specimen at 2–3 mm thickness with mapping (d).
Macroscopic examinations (after fixation)
The documentation of the size and the number of tissue fragments received is important. Endoscopic mucosal resection specimens often tend to be multiple compared to en-bloc endoscopic submucosal dissection (Fig. 2). After adequate fixation, pins are carefully removed. With satisfactory pinning and fixation, a technically accurate endoscopic resection specimen should appear as a flat piece of tissue without curled edges (Fig. 3c). The two dimensions of the lesion(s), maximum size, and macroscopic type (polypoid, elevated, depressed, flat, etc.) should be recorded. Adopting the endoscopic classification would enhance correlation with endoscopic evaluation] [37].
Given that specimens tend to shrink after fixation, accurate measurements are optimally performed in the fresh state. However, identification of lesions, in particular the shape and borders, can often be better appreciated after fixation. If identifiable, the distance from the lesion to the nearest margin (cut edge/lateral margin) must be recorded, especially for endoscopic submucosal dissections, which have true lateral margins. It should be noted that radial, circumferential and lateral are synonymous terms and some may be preferred in some institutions. If a lesion cannot be identified, it is important to correlate with the endoscopic notes and photographs to compare and match the subsequent sections and tissue blocking. In the case of endoscopic mucosal resection, all pieces may not contain the lesion, as multiple resections are sometimes performed to achieve clearance. In contrast, an endoscopic submucosal dissection should essentially contain the lesion in question.
Sectioning
After fixation, the specimen is dried off by gentle blotting and deep and lateral margins painted with an ink/dye. Assessment of both lateral and deep margins is essential in an en-bloc endoscopic submucosal dissection specimen, unlike in multi-piece endoscopic mucosal resections.
In EMR specimens, a specific comment on the lateral margin may not be required unless there is a specific request by the endoscopists. However, inking of margins helps in confirmation of full-face sections at microscopic evaluation of an endoscopic mucosal resection. Sections targeting the closest point of any visible lesion to the lateral margin or specified margin, or the deepest part of the specimen, should be included. If there is a visible lesion, the first incision may be made to include the part of the visible lesion with the minimum distance to the margin. Further incisions can be made parallel to the first at intervals of 2–3 mm (Fig. 3d). Slices that are too thin result in incomplete sections on the slides. The first slice may be flipped (embedded on the margin edge) to allow the margin to be sectioned first during histological evaluation. Depending on the size of the specimen ( > 10 mm), the first and the last slices may be wide and sectioned perpendicular to the margin for better assessment of the lateral margins. This allows for pperpendicular rather than “en face” margin assessment. However, this is best for larger endoscopic submucosal dissection specimens and is not recommended on small specimens. Sectioning may be difficult in technically unsatisfactory endoscopic mucosal resections such as those with ragged margins. One major issue in such samples is unsatisfactory margin assessment and the standard approach may be modified to achieve best outcomes. Excessive thermal cautery during the procedure also hampers accurate microscopic assessment, causing artifactual changes that hinder margin assessment (Fig. 4a, b). For ampullectomy specimens, a slice ideally will include the distal bile duct sectioned longitudinally. A diagram or photograph of specimen(s) and mapping showing the serial slices and a key to the blocks is most helpful.
Numbering and orientation of slices into cassettes
Tissue embedding is a critical step in producing high-quality diagnostically accurate sections. Poor orientation of tissue slices can result in the loss of superficial tumor tissue through trimming or loss of deep-submucosal tissue, resulting in the inability to diagnose submucosal invasion and loss of the deep margin. Thus, to optimize this process, all sections should be embedded “en face” or on edge. Optimally, the slices are also laid sequentially in the cassette, with a sponge to hold them in place (if needed) for better orientation. In cases of large specimens with multiple slices, no 2–4 slices should be placed in any one block, to allow for optimal orientation (Fig. 4c, d). Supervision of the embedding process by the pathologist is advisable in some cases, especially when the pieces are small.
Microscopic evaluation
Unless the sections are perfectly flat and complete, we have found that two to three hematoxylin and eosin stained levels per block can facilitate the microscopic evaluation (Fig. 4c, d). One level may be sufficient for endoscopic submucosal dissections as they are large specimens. Based on judgment deeper levels can be requested on selected blocks, in particular to ensure accurate assessment of the level of invasion and the status of the margins. Careful, multiple deep or serial levels are mandatory if sections are incomplete and inked margins and submucosa are not included. The same is true if the lesion is not observed, as early invasive lesions can be very small [38]. However, one must be aware that excessive trimming at the time of sectioning may cut through small lesions. This approach is vital to identify foci of invasion, as well as accurate assessment of crucial pathological prognostic features. When appropriate, the laboratory should be instructed to preserve ribbons in between levels since they can be used for ancillary stains in instances where confirmation is required for foci of lymphovascular invasion, for assessment of detailed depth of invasion (see under esophagus) or for any other reason.
Recommended approach to reporting
Depth of invasion, presence of adverse microscopic features, and margin status are important risk factors relevant to the management of early neoplasia throughout the gastrointestinal tract. In order to assess these features, a systematic approach is advocated. These are essential elements that should be reported irrespective of the site. Site-specific details will be discussed later. Table 4 summarizes the criteria for cure for invasive carcinoma.
Tissue layers present
The resection plane for endoscopic resection is submucosa, meaning three layers (mucosa, muscularis mucosae and submucosa) should be clearly identified. The type of mucosa (e.g., squamous, glandular or mixed) and tissue layers [e.g., muscularis mucosae (mm)), submucosa (sm)] present need to be recorded. The presence of duplicated muscularis mucosae in Barrett’s esophagus must be considered, as it can interfere with evaluation of depth of invasion. Implications are discussed below. Deep and lateral margins ought to be identified and documented as well.
The entire specimen should be examined as lesions may be very small. Inked deep and lateral margins should be identified in all sections. In addition, esophageal endoscopic mucosal resection specimens often demonstrate significant artifacts across the mucosal surface with denudation, hemorrhage and necrosis. Artefactual holes due to aggressive use of pins also can interfere with microscopic assessment. Scarring may be present in repeat endoscopic mucosal resections, which can distort the tissue and hamper accurate microscopic assessment, in particular assessment of depth of invasion. Fibrosis in particular may mimic desmoplasia, which generally is only present when there is submucosal invasion.
Type of lesion
The lesions may represent intraepithelial neoplasia, invasive carcinoma or other lesions, including neuroendocrine tumors or mesenchymal neoplasms.
Histological subtype
Histological subtype of invasive carcinoma should be documented according to established criteria and guidelines (squamous, glandular, mesenchymal, or other).
Size of lesion/s
When multiple/multifocal lesions are present, the size range in mm or sequential size of all lesions should be documented.
Presence of an invasive lesion
Depth of invasion
Depth of invasion should be evaluated for either intramucosal carcinoma or submucosally invasive malignancy. Depth of invasion into the submucosa can be recorded in microns since this information will guide the need for surgical management and/or other forms of therapy as definitive treatment (Table 4) [1, 37]. Description of submucosal invasion in three levels into inner 1/3, middle 1/3, and outer 1/3 is possible only if muscularis propria is present, while generally endoscopic resections include only mucosa and submucosa. Therefore, measurement of the submucosal invasive component in microns is recommended [37]. The deepest level of invasion of a mucinous carcinoma is equated to the deepest level showing mucinous material. If a lympho-glandular complex is involved by carcinoma but otherwise the submucosa is not involved, lesion ought to be staged as /pT1a in upper gastrointestinal sites. Detailed assessment of level of invasion into muscularis mucosae is important in intramucosal adenocarcinomas of the esophagus (to be discussed in a later section). Similarly, guidance for measurement of invasive carcinomas associated with an adenomatous component in the colon and rectum will be discussed in the appropriate section below.
Margin status
The margin status is cardinal and ought to be commented on and recorded separately both for deep and lateral margins in oriented specimen. The report should clearly indicate if the margins are involved by carcinoma (lateral and deep) or intraepithelial neoplasia/dysplasia (lateral). Currently, there is no consensus or evidence-based data on the definition of the clear “deep margin” on endoscopic resections throughout the gastrointestinal tract. The clearance between the invasive front of the neoplasm[s] and the deep margin is measured in microns in some centers but not universally recommended. Obviously, it is necessary to state when neoplastic tissue is present at the deep margin. Lateral margin status is not essential to be documented in multi-piece endoscopic mucosal resections, unlike endoscopic submucosal dissections. However, the endoscopists may request specific pieces deemed to contain particularly concerning lesions to be assessed similar to an en-bloc endoscopic submucosal dissection. If specimens are oriented, specific margins should be commented on for adequacy of resection. Decision about margin assessment in specific situations needs clear communication with the endoscopists. Site-specific issues related to margin status will be discussed later.
Lymphovascular invasion
The presence or absence of lymphatic/capillary (lymphovascular) and large (vein and artery) caliber vessels must be reported. Special histochemical (elastin stains such as Movat’s, elastic trichrome etc.) stains are useful to demonstrate venous invasion. D2–40 immunohistochemistry is useful to demonstrate lymphatic invasion.
Perineural Invasion
Presence or absence may be recorded. This is an optional element.
Histologic grade and tumor budding
Histologic grade of intraepithelial neoplasia/dysplasia or invasive malignancy should be reported as appropriate for the various histologic subtypes according to established guidelines [39].
Tumor budding, defined as the presence of single cells or small groups of less fewer than 5 undifferentiated cells at the invasive front of the carcinoma is commonly noted in poorly differentiated adenocarcinoma. It should be reported in the colon and rectum using the international guidelines [1, 40,41,42]. Currently there is insufficient evidence to support the routine reporting of tumor budding in other sites and should be considered as investigational in upper gastrointestinal tract lesions [43,44,45,46].
Additional findings
The presence of additional pathologies and changes related to previous treatment must be reported. This includes the presence of Barrett’s esophagus, the presence of chronic gastritis with intestinal metaplasia, the detection of Helicobacter organisms, and the presence of features of colitis in colonic specimens. The presence of intraepithelial neoplasia and adenoma should be documented in specimens with invasive carcinoma.
Site-specific issues
Esophagus
Barrett’s esophagus
Endoscopic management has become the standard of care in patients with Barrett’s dysplasia and early-esophageal adenocarcinoma and has supplanted surgical resection, with its significant morbidity [17, 18, 47,48,49]. Cohort studies have shown that endoscopic therapy for intramucosal carcinomas have similar long-term disease-specific survival to surgery, but lower treatment-related morbidity and mortality rates [50,51,52]. It has not only resulted in cure for many, but also helped to accurately stage disease with improved measurement of depth of invasion and nodal metastatic risk [53,54,55,56,57,58].
Long-term prospective studies have showed high efficacy, safety and cost benefit of EMR in the management of dysplastic Barrett’s esophagus [59,60,61,62,63,64,65]. Depth of invasion and adequacy of resection dictate the curative success of endoscopic treatment of early Barrett’s neoplasia, as well as opportunity for accurate staging [54,55,56,57,58].
Other essential features that should be recorded if invasive carcinoma is found in ER specimens are the margin status, degree of differentiation and the presence or absence of lymphovascular invasion. These features dictate further management and follow-up [54,55,56,57,58].
For neoplasms with the high likelihood for submucosal invasion (i.e. >20 mm in diameter) with a bulky intraluminal component, it may not be possible to resect “en-bloc”. However, these lesions only represent <10% of cases of early-esophageal neoplasia, and the advantages and disadvantages of endoscopic mucosal resection and endoscopic submucosal dissection need to be considered [66]. Given the reported high risk of lymph node metastasis, early guidelines recommended surgical treatment for submucosal Barrett’s cancer [51,52,53,54]. However, the suspected high risk of nodal metastases (thought to be up to 50% in cases of submucosal cancers) in retrospective surgical series was likely overestimated, since they often did not differentiate between different levels (i.e., depths) of submucosal infiltration [37, 56,57,58, 67,68,69,70]. Recent endoscopic series have reported a lower risk (0–2%) when superficial submucosal invasion is ≤500 µm (measured from the bottom of the muscularis mucosa) and there are no other associated histological risk factors [37, 56, 68,69,70].
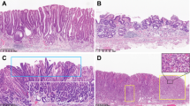
There are special issues that need to be considered when evaluating Barrett’s esophagus-associated neoplasms. Assessment of level of invasion is complicated by the well-recognized duplication and resulting distortion of muscularis mucosae (Fig. 5) [71,72,73]. Given the importance of depth of invasion for further management and staging implications, this abnormality should be recognized and appreciated. The muscularis mucosae is duplicated and distorted in up to 92% of Barrett’s esophagus, resulting in creating an inner and an outer layer of muscularis mucosae (Figs. 5b and 6). These changes also result in thickening of muscularis mucosae and frequent prolapsing of fibers into the superficial lamina propria. The outer layer is thicker and organized and represents the original muscularis mucosae, while the inner muscularis mucosa is more disorganized and may blend with the lamina propria. The space in between the split muscle layers may resemble submucosa but can be identified by appreciating the presence of loose connective tissue with capillaries and dilated thin-walled blood vessels. In contrast, submucosal vessels are different in that they are not only of large caliber and dilated but also show a characteristic thick wall (Figs. 5b and 6a). Submucosa also contains fat and submucosal glands (Fig. 5b).
a Squamous lined esophagus with well-organized linear arrangement of the muscularis mucosae. b Barrett’s esophagus with the duplicated, distorted muscularis mucosae of (area indicted by the thick line). Thick arrow marks thick walled, large caliber submucosal vessels; arrow head shows submucosal fat; thin arrow points to submucosal glands.
a Splitting of muscularis mucosae (mm) creates a space between duplicated muscle fibers and superficial/inner and a deep/outer layer of muscularis mucosa in Barrett’s esophagus; Thick arrow marks submucosal vessels. b Potential over interpretation of level of invasion of a T1a adenocarcinoma invading into the space in between duplicated muscualris mucosae as pT1b (submucosal invasion) or pT2 (muscularis propria invasion).
Appreciation of the concept of duplication of muscularis mucosae is vital to avoid pitfalls in the assessment of depth of invasion of Barrett’s-related adenocarcinomas. Thickened muscularis mucosae may be misinterpreted as muscularis propria, resulting in over-staging of intramucosal carcinomas [pT1a] as muscularis propria invasion [pT2] (Fig. 6b). If the space between the duplicated muscularis mucosae is misinterpreted as submucosa, a pT1a adenocarcinoma can be over-staged as pT1b. Both of these errors may result in unnecessary surgery. Differentiation of deep-muscularis mucosae invasion from submucosal invasion may also be problematic, resulting in misinterpretation of pT1a and pT1b carcinoma. Duplicated muscle strips can also be seen among the non-invasive neoplastic glands, raising the suspicion of invasive neoplasms (pTis/high-grade dysplasia versus pT1a).
There is emerging evidence that the level of invasion within the muscularis mucosae also may have an impact on the behavior of pT1a adenocarcinomas [58, 71]. There is also evidence suggesting that invasion into the space between the two layers portends a low risk of lymph node metastasis, similar to carcinomas that invade lamina propria only. It is possible that superficial muscularis mucosae invasion (into the inner layer and the space in between) has different implications than invasion into deeper/outer muscularis, although data is not consistent [71, 72, 74].
Another important recognition is that endoscopic ultrasound examination is less accurate for staging of pT1 adenocarcinomas due to this issue of duplication and distortion of the muscularis mucosae. A recent study has established that endoscopic ultrasound (EUS) has no role in staging of early-esophageal adenocarcinoma, as endoscopic ultrasound often resulted in over-staging [75, 76].
The above issues have led to introducing two systematic methods of differentiating depth of invasion of pT1a carcinomas into different layers of mucosa in the Barrett’s setting (Table 5). The first method is based on recommendations by AJCC (8th edition) into three levels: m1–m3, as described by Westerterp et al. [54, 77] (Fig. 7a). This method is generally more appropriate for use in squamous carcinomas of the esophagus (see below). The second method, the Vieth and Stolte system is more comprehensive; this separates intraepithelial neoplasms from invasive carcinomas clearly and divides pT1a adenocarcinomas into four levels, taking the duplicated muscularis mucosae into consideration. This is therefore more appropriate for use in esophageal adenocarcinomas [9, 15, 16, 58] (Fig. 7b). Detailed assessment of the different layers helps appreciation of issues related to duplication of muscularis mucosae to avoid pitfalls. The method used should be recorded in the report.
a Hölscher et al. (AJCC 8th edition) recommendation: m1—in situ/epithelium only; m2—into the lamina propria; m3—into the muscularis mucosae. b Vieth and Stolte system: m1, into the lamina propria; m2, into the superficial muscularis mucosae; m3, into the space between the split layers of the muscularis mucosae; and m4, into the deep-muscularis mucosae.
In both systems, submucosally invasive carcinoma (pT1b) is sub-divided as sm1–3 (Fig. 8).
Submucosally invasive adenocarcinoma of esophagus (pT1b) with a tongue of adenocarcinoma (arrow) abutting the resection margin (a). Measurement of the depth from the outermost extent of the deep-muscularis mucosa (b). Neoplastic glands noted very close to submucosa but separated by a thin strip of depleted outer muscularis mucosa (c, arrows, i.e., pT1a, m4).
Generally, submucosal invasion is divided into three-tiers (sm1—superficial 1/3 submucosa; sm2—intermediate one-third of submucosa, and sm3—outer one-third of submucosa). This division may be difficult, as it depends on the amount of submucosa included in the specimen (as in endoscopic resection specimens). Since there is no muscularis propria for a landmark, the division is not accurate. The Paris endoscopic classification of superficial neoplasms have recommended measurements in microns as an alternative [37].
Currently, measurement of submucosal invasion in microns may be helpful due to recent suggestions that low-risk submucosal invasive cancers, defined as pT1sm1, submucosal invasion ≤ 500 µm) without any other histological risk factors for nodal metastasis may be managed by endoscopic therapy, followed by close endoscopic follow-up [1].
Depth of invasion in the submucosa should be measured from the outermost extent of the outer (deeper) muscularis mucosa (Fig. 8b). As this can be difficult to assess on H&E-stained slides, special stains (i.e., trichrome, hematoxylin phloxine saffron stain) or immunohistochemistry (Desmin) may be of use to determine the lowest edge of the muscle layer. Some invasive carcinomas may be depleted of any appreciable muscularis mucosa (mm) in the invasive front. If neoplastic glands do not extend beyond the bottom aspect of the imaginary muscularis mucosa compared to that of the adjacent intact mm, they are best classified as intramucosal carcinoma (pT1a) with an explanatory note (Fig. 8c). If neoplastic glands are noted in the vicinity of submucosal large caliber vessels the neoplasm should to be classified as submucosally invasive carcinoma (pT1b) even if the location with respect to the muscularis mucosae cannot be defined. Accurate measurements require well-oriented specimens and the presence of intact muscularis mucosae somewhere in the specimen—absence of these factors will lead to inaccurate measurements.
Squamous cell carcinoma of esophagus
Invasive squamous cell carcinomas (SCC) that do not invade the muscularis propria are divided into pT1a (invasion of mucosa) and pT1b (invasion of submucosa) (Fig. 9). Since squamous cell carcinomas generally do not develop the duplicated muscularis mucosae of Barrett’s esophagus-associated adenocarcinomas, subdivision of intramucosal adenocarcinomas can be done by the m1–m3 methodology. Neoplastic squamous epithelium limited to the epithelium (m1) or lamina propria (m2), and completely resected on endoscopic resections are considered cured in the absence of risk factors such as poor differentiation and lymphovascular invasion [78, 79].
The risk of lymph node metastasis is increased for neoplasms invading into the muscularis mucosae (m3) and is significantly increased with involvement of the superficial submucosa (sm1); the estimated risk is upto 5 and 27% respectively [8, 9]. This is also reflected in the definition for a smaller cutoff level for superficial submucosal invasion (200 µm for squamous sm1 versus 500 µm for Barrett’s sm1). It is suggested that m3 and sm1 squamous cancers with submucosal invasion ≤ 200 µm without any other risk factors and negative deep-resection margin be considered relative indications for endoscopic rather than surgical treatment [70, 80].
Endoscopic mucosal resection is less suited to esophageal squamous neoplasia since small lesions [i.e., <10–15 mm in size] that can be resected en-bloc are relatively rare. A further limitation is that from a theoretical standpoint, complete resection of the submucosal glands may not be achieved—they may harbor squamous neoplasia extending down the ductal shaft from the luminal epithelial layer. Thus, endoscopic submucosal dissection is the preferred and commonest method of resection for esophageal squamous neoplasia.
Stomach
Endoscopy is an accepted first-line therapy for early gastric cancer with very low likelihood of lymph node metastasis [20, 81].
The 2016 Japanese guidelines divide the indications for endoscopic therapy of early gastric cancer into absolute and extended [20, 81]. Endoscopic resection is absolutely indicated in macroscopically (clinically) intramucosal T1a (clinical T1a), differentiated carcinomas measuring <2 cm in diameter. The factors to consider are: size of lesion, presence of ulceration, histologic type, resection margin status, degree of differentiation, lymphovascular invasion, and depth of submucosal invasion (measured in microns) [10, 12, 13, 20, 81]. Therefore, these parameters should be clearly described in the pathology report.
When completely resected with absent vascular infiltration and no other unfavorable criteria, the risk of lymph node metastasis is extremely low and the procedure is deemed curative. (Table 6) [20, 81]. Endoscopic l resection is considered non-curative if mucinous adenocarcinoma is found in the submucosal layer, regardless of the differentiation of the rest of the carcinoma, in the refined criteria described by the Japanese Cancer Association [20].
Owing to the noted limitations of endoscopic mucosal resections, the vast majority of all early gastric cancers in Japan are now treated by endoscopic submucosal dissection if the technical expertize is available. Once en-bloc endoscopic resection has been performed and the pathologist has evaluated the specimen, the resection can be considered as curative or non-curative.
Duodenum
Historically, duodenal adenomas have been managed by radical surgery or more conservative local surgical excision, approaches, respectively, associated with increased morbidity/mortality and a high rate of local recurrence [82]. Additionally, in a small percentage of cases, duodenal adenomas can involve the ampulla, which presents an additional level of complexity when contemplating surgery. For these reasons, endoscopic management has become increasingly popular, offering considerable advantages in terms of organ preservation, risks, recovery and length of hospital stay [83, 84].
In capable hands, the overall success rates of endoscopic mucosal resection for complete removal of duodenal adenomas ranges from 59 to 100%, with an overall successful removal rate of 92% in six published series [68]. In most cases, this is achieved with a single attempt at endoscopic removal; however, with increasing size of the adenomas and circumference involvement over 25%, some patients require 1–2 additional procedures to achieved complete removal.
In contrast to the colon where similar endoscopic techniques are utilized for polypectomy, the extensive second-order arterial blood supply and thin duodenal wall contribute to intraprocedural bleeding (0%–29.2%), delayed bleeding (0%–16.7%), and thermal injury-related perforation (0%–4.3%) [81].
In comparison to early cancers of the stomach and colon, limited data are available regarding the risk of lymph node metastases in early duodenal cancer after endoscopic resection. It appears that intramucosal carcinoma carries a very low risk of lymph node involvement, provided that there are no other adverse histological features, namely poor differentiation, signet ring cell type or lymphovascular invasion. In adenocarcinomas with submucosal invasion (sm1 to sm3), the risk appears to be at least 5% [85,86,87,88]. Therefore, those should be considered for radical surgery. This emphasizes the importance of accurate histologic staging and the need for excellent histologic evaluation and reporting.
With adenomas involving the ampulla, dysplasia can spread along the ampullary or pancreatic ducts. Non-invasive involvement of the duct at the deep margin is a unique problem and a cause for local recurrence; hence the common bile duct/ampullary duct margin needs to be identified and assessed.
Colon and rectum
In the last decade, there has been extensive technical development in endoscope design aimed at improved detection of colonic neoplasia and enhanced lesion characterization. These new features include high-definition endoscopes with push-button technologies, technical ease, efficiency, effectiveness, low complication rate, and excellent long-term, including optical and digital zoom, and electronic push-button chromoendoscopy (e.g., Narrow-band imaging, flexible spectral imaging color enhancement, i-Scan digital contrast). These advances in optical diagnosis of polyps have resulted in accurate typing and enhanced prediction of submucosal invasion.
There have also been equally significant advances in endoscopic management of advanced lesions > 20 mm, with surgical management no longer considered the treatment of choice [89,90,91,92], In the West, endoscopic mucosal resection is preferred due to its comparative outcomes [90,91,92]. Major limitations of piecemeal endoscopic mucosal resection include recurrence and difficulty with assessment of margins in the setting of incidental early submucosal invasive cancer [93, 94].
En-bloc excision by endoscopic submucosal dissection offers more accurate histological assessment, in particular for early, low-risk submucosal invasive cancer, but has its inherent technical challenges [95,96,97,98], According to Western studies, given that only 8% of colorectal endoscopic mucosal resections show submucosal invasion, endoscopic submucosal dissection is reserved for those adenomas displaying endoscopic features predicting a higher risk of early cancer, with the majority of lower-risk adenomas managed by piecemeal endoscopic mucosal resection [99, 100].
In the lower gastrointestinal tract, in contrast to the upper tract, invasive adenocarcinomas are diagnosed only in the presence of submucosal invasion. Advanced neoplastic lesions that do not invade into the submucosa of the large intestine are regarded as having no risk for lymph node metastases and are commonly designated as low-grade or high-grade dysplasia or adenoma, even in the rare cases where lamina propria invasion is demonstrated. Consequently, the term intramucosal carcinoma is discouraged.
Similar to the rest of the gastrointestinal tract, pathological risk factors predict for two main outcomes of an invasive carcinoma: (1) risk of lymph node metastasis and (2) risk of residual disease at the endoscopic resection site.
Similar to the previous discussions, in the colon there are two groups of pathological risk factors, with some additional factors not utilized in the foregut.
Qualitative factors
These include poor tumor differentiation; high or intermediate tumor budding, lymphatic and venous vascular invasion, positive margin status, and microsatellite instability status (see ancillary stains below). Of these, poor tumor differentiation and vascular invasion (lymphatic and venous) are the best predicators of lymph node metastases [101,102,103]. There is now evidence that tumor budding, a manifestation of dedifferentiation at the invasive tumor edge, is an adverse risk factor [39,40,41, 101, 102, 104]. A recent consensus paper has suggested that tumor budding is assessed by counting the number of foci in one hotspot (in a field measuring 0.785 mm2) at the invasive front. It is suggested that the number of buds be divided into a three-tier grading system with 0–4 buds = low budding (Bd 1); 5–9 buds = intermediate budding (Bd 2); and 10 or more buds = high budding (Bd 3) [41]. Poorly differentiated clusters represent a probably related phenomenon of dedifferentiation and are characterized by tumor cell collections of >5 cells. There is emerging evidence that poorly differentiated clusters may be an adverse prognostic feature [105].
Quantitative factor (large invasive tumor size)
This is best assessed by direct measurement, in microns, of tumor thickness below the level of the anatomically normal muscularis mucosae or from the ulcer base if the adenocarcinoma is ulcerated (Fig. 10a, c). When the muscularis mucosae is obscured or destroyed by tumor, it is measured from the surface of the lesion (Fig. 10b, d) [41].
Measurement of the depth (pT1 colorectal adenocarcinoma) a and c: when it is possible to identify or estimate the muscularis mucosae, the depth of submucosal invasion is measured from the lower aspect of the muscularis mucosae. b and d: if the muscularis mucosae is effaced, depth is measured from the surface of the lesion.
Submucosal tumor thickness ≥1000 µm is associated with increased risk of required lymph node metastases [11, 101,102,103]. This may be because vessels conductive of tumor emboli only exist deeper to this level. Kikuchi levels, which involve determining the relative extent of invasion of the submucosa (into the inner 1/3 is level 1, into the middle 1/3 is level 2, and into the outer 1/3 is level 3) have been described in relation to the risk of invasive carcinomas [11]. However, this evaluation is possible only if muscularis propria is present. Therefore, measurement in microns of the submucosal invasion is recommended [37]. The width of submucosal invasion is also important, with increasing risk for lymph node metastases from ≥2000 µm [11, 101, 102].
Margin involvement by invasive tumor predicts only for local recurrence (Fig. 11a, b). It does not predict for lymph node metastases. The distance of carcinoma from the margin that confers low risk for local recurrence is still a matter of debate, with some studies showing a clearance of > 1 mm to be adequate while others accept “not at cautery margin”, yet others require a 2 mm clearance [40, 106,107,108,109,110]. However, it is generally agreed that clearance of > 2 mm is not associated with local recurrence [101]. Location in the distal rectum has also been associated with an increased risk for local spread [111]. Rectal location may pose a slightly higher risk of lymph node spread in T1 tumors compared to the rest of the colon [111]. The reason for this has not been established.
In conclusion, resection of submucosal low-grade invasive carcinoma with no lymphovascular invasion or tumor budding with invasion <1000 µm and adequate clearance of deep margin is considered curative. When present, the adverse factors are summative in their risk for lymph node metastases. In general, when two or more factors are present, then the risk is particularly high and follow-up surgical resection is warranted [108, 112].
Ancillary studies
Ancillary tests are of little use to support the diagnosis of classic neoplasia but can occasionally be helpful in some situations as described below.
Immunohistochemical stains
Cytokeratins:
In rare cases, immunohistochemistry for cytokeratin, particularly AE1/AE3, may be useful for the detection of single infiltrating cells and for demonstration of a subtle infiltrating poorly cohesive carcinoma (stomach) or tumor buds. It can be helpful in delineating the extent of the carcinoma and demonstrating submucosal invasion where it is subtle (i.e., diffuse type gastric adenocarcinoma) or obscured by inflammatory cell infiltrates. Spindle cell (squamous) carcinoma may express cytokeratin, aiding distinction from primary sarcomas and spindle cell melanoma.
In the case of poorly differentiated carcinoma, high molecular weight cytokeratin (e.g., CK5/6), p63 and/or p40 (which are all typically positive in squamous cell carcinoma) may help differentiate squamous cell carcinoma from adenocarcinoma, neuroendocrine carcinoma, and rare adenoid cystic carcinoma.
Smooth muscle markers:
Immunohistochemistry for desmin (or another smooth muscle marker) is often helpful. It can help demonstrate the smooth muscle of vessel walls when venous invasion is suspected. It is also useful for highlighting and delineating the muscularis mucosae in areas with suspected submucosal invasion (particularly in the setting of duplicated muscularis mucosae in Barrett esophagus). Some pathologists have also found desmin immunohistochemistry helpful when evaluating neoplasias arising in the ampulla of Vater, as it helps demonstrate the muscle of the sphincter of Oddi.
Vascular markers:
Immunohistochemical stains for endothelial cells are helpful in detecting lymphovascular vessel invasion and may demonstrate this feature when it is not seen on H&E-stained sections (e.g., D2–40, CD34, CD31, ERG). ERG nuclear stain is clean and increasingly used to demonstrate vascular endothelium; however, in cases of venous invasion with considerable vessel damage, the endothelium will often be lost. Anti-lymphatic endothelial antibodies (D2–40) for lymphatic vessels can be useful to confirm lymphatic invasion.
Histochemical stains
Stains that highlight the muscularis mucosae (trichrome, hematoxylin phloxine saffron) can be useful aids in evaluating depth of invasion with respect to the muscularis mucosae. Elastic stains (e.g., orcein, Movat’s, elastic van Gieson or Victoria blue-hematoxylin and eosin) are useful to detect venous invasion. While endoscopic resections will not allow for the assessment of extramural venous invasion, recent studies suggest that even intramural venous invasion is clinically relevant [113].
Simple mucin stains such as Alcian blue, periodic acid-Schiff, or mucicarmine may aid in the differentiation of adenocarcinoma from poorly differentiated squamous cell carcinomas.
Table 7 summarizes features that should be included in reports of endoscopic resections, with site-specific comments.
Conclusion
Mucosal resection specimens offer a viable treatment alternative to invasive surgery for early gastrointestinal cancers; however, their pathological processing and evaluation must be carefully undertaken to allow optimal patient care. Some recommendations in this document may be based on opinions and experiences due to lack of scientific data. Overall, it is aimed at providing detailed information on mucosal resection specimens from various areas of the luminal gastrointestinal tract to aid and instruct endoscopists and pathologists.
Change history
09 January 2020
The original version of this Article has been updated and the changes are shown in the related Correction article.
14 January 2020
A Correction to this paper has been published: https://doi.org/10.1038/s41379-020-0460-0
References
Shaheen NJ, Falk GW, Iyer PG, Gerson LB. ACG Clinical Guideline: diagnosis and management of Barrett’sesophagus. Am J Gastroenterol. 2015;108:1238–49.
Whiteman DC, Appleyard M, Bahin FF, Bobryshev YV, Bourke MJ, Brown I, et al. Australian clinical practice guidelines for the diagnosis and management of Barrett’s esophagus and early esophageal adenocarcinoma. J Gastroenterol Hepatol. 2015;30:804–20.
Weusten B, Bisschops R, Coron E, Dinis-Ribeiro M, Dumonceau JM, Esteban JM, et al. Endoscopic management of Barrett's esophagus: European Society of Gastrointestinal Endoscopy (ESGE) Position Statement. Endoscopy. 2017;49:191–8.
Fitzgerald RC, di Pietro M, Ragunath K, Ang Y, Kang JY, Watson P, et al. British Society of Gastroenterology Guidelines on the diagnosis and management of Barrett’s oesophagus. Gut. 2014;63:7–42.
Bergman JJ. How are we to justify endoscopic submucosal dissection in the Western world. Endoscopy. 2009;41:988–90.
Bourke MJ, Neuhaus H. Colorectal endoscopic submucosal dissection: when and by whom? Endoscopy. 2014;46:677–9.
Dunbar KB, Spechler SJ. The risk of lymph-node metastases in patients with high-grade dysplasia or intramucosal carcinoma in Barrett's esophagus: a systematic review. Am J Gastroenterol. 2012;107:850–62.
Sgourakis G, Gockel I, Lang H. Endoscopic and surgical resection of T1a/T1b esophageal neoplasms: a systematic review. World J Gastroenterol. 2013;19:1424–37.
Vieth M, Stolte M. Pathology of early upper GI cancers. Best Pr Res Clin Gastroenterol. 2005;19:857–69.
Kwee RM, Kwee TC. Predicting lymph node status in early gastric cancer. Gastric Cancer. 2008;11:138–48.
Nascimbeni R, Burgart L, Navitvongs S, Larson DR. Risk of lymph node metastasis in T1 carcinoma of the colon and rectum. Dis Colon Rectum. 2002;45:200–6.
Chen L, Wang YH, Cheng YQ, Du MZ, Shi J, Fan XS, et al. Risk factors of lymph node metastasis in 1620 early gastric carcinoma radical resections in Jiangsu Province in China: a multicenter clinicopathological study. J Digestive Dis. 2017;18:556–65.
Jin EH, Lee DH, Jung SA, Shim KN, Seo JY, Kim N, et al. Clinicopathologic factors and molecular markers related to lymph node metastasis in early gastric cancer. World J Gastroenterol. 2015;21:571–7.
Koelzer VH, Langer R, Zlobec I, Lugli A. Tumor budding in upper gastrointestinal carcinomas. Front Oncol. 2014;4:216.
Royal College of Pathologists of Australasia (RCPA). Structured pathology reporting of cancer. cancer protocols. (Royal College of Pathologists of Australasia (RCPA); 2013) 14 Dec 2013, accessed 2018. https://www.rcpa.edu.au.
Kumarasinghe MP, Brown IS, Raftopoulos S, Bourke MJ, Charlton A, de Boer WB, et al. Standardised reporting protocol for endoscopic resection for Barrett oesophagus associated neoplasia: expert consensus recommendations. Pathology. 2014;46:473–80.
Osugi H, Takemura M, Higashino M, Takada N, Lee S, Ueno M, et al. Learning curve of video-assisted thoracoscopic esophagectomy and extensive lymphadenectomy for squamous cell cancer of the thoracic esophagus and results. Surg Endosc. 2003;17:515–9.
Ben-David K, Sarosi GA, Cendan JC, Howard D, Rossidis G, Hochwald SN. Decreasing morbidity and mortality in 100 consecutive minimally invasive esophagectomies. Surg Endosc. 2012;26:162–7.
Dimick JB, Pronovost PJ, Cowan JA, Lipsett PA. Surgical volume and quality of care for esophageal resection: do high-volume hospitals have fewer complications? Ann Thorac Surg. 2003;75:337–41.
Japanese Gastric Cancer Association. Japanese gastric cancer treatment guidelines 2014 (ver. 4). Gastric Cancer. 2017; 20:1–19
Ahlenstiel G, Hourigan LF, Brown G, Zantai S, Williams SJ, Singh R, et al. Australian Colonic Endoscopic Mucosal Resection (ACE) Study Group. Actual endoscopic versus predicted surgical mortality for treatment of advanced mucosal neoplasia of the colon. Gastrointest Endosc. 2014;80(Oct):668–76.
Jayanna M, Burgess NG, Singh R, Hourigan LF, Brown GJ, Zanati SA, et al. Cost analysis of endoscopic mucosal resection vs surgery for large laterally spreading colorectal lesions. Clin Gastroenterol Hepatol. 2016;14(Feb):271–8.
Bahin FF, Jayanna M, Hourigan LF, Lord RV, Whiteman D, Williams SJ, et al. Long-term outcomes of a primary complete endoscopic resection strategy for short segment Barrett's esophagus with high-grade dysplasia and/or early esophageal adenocarcinoma. Gastrointest Endosc. 2016;83:68–77.
Lian J, Chen S, Zhang Y, Qiu F. A meta-analysis of endoscopic submucosal dissection and EMR for early gastric cancer. Gastrointest Endosc. 2012;76:763–70.
Park YM, Cho E, Kang HY, Kim JM. The effectiveness and safety of endoscopic submucosal dissection compared with endoscopic mucosal resection for early gastric cancer: a systematic review and metaanalysis. Surg Endosc. 2011;25:2666–77.
Facciorusso A, Antonino M, Di Maso M, Muscatiello N. Endoscopic submucosal dissection vs endoscopic mucosal resection early gastric cancer: a meta-analysis. World J Gastrointest Endosc. 2014;6:555–63.
Kim JS, Lee BI, Choi H, Jun SY, Park ES, Park JM, et al. Cold snare polypectomy versus cold forceps polypectomy for diminutive and small colorectal polyps: a randomized controlled trial. Gastrointest Endosc. 2015;81:741–7.
Tanaka S, Kashida H, Saito Y, Yahagi N, Yamano H, Saito S, et al. JGES guidelines for colorectal endoscopic submucosal dissection/endoscopic mucosal resection. Digestive Endosc. 2015;27:417–34.
Choksi N, Elmunzer BJ, Stidham RW, Shuster D, Piraka C. Cold snare piecemeal resection of colonic and duodenal polyps ≥1 cm. Endosc Int Open. 2015;3:E508–13.
Inoue H, Endo M, Takeshita K, Yoshino K, Muraoka Y, Yoneshima H. A new simplified technique of endoscopic esophageal mucosal resection using a cap-fitted panendoscope (EMRC). Surg Endosc. 1992;6:264–5.
Binmoeller KF, Weilert F, Shah J, Bhat Y, Kane Sl. Underwater" EMR without submucosal injection for large sessile colorectal polyps (with video). Gastrointest Endosc. 2012;75:1086–91.
Desai M, Saligram S, Gupta N, Vennalaganti P, Bansal A, Choudhary A, et al. Efficacy and safety outcomes of multimodal endoscopic eradication therapy in Barrett's esophagus-related neoplasia: a systematic review and pooled analysis. Gastrointest Endosc. 2017;85:482–95.
Pimentel-Nunes P, Dinis-Ribeiro M, Ponchon T, Repici A, Vieth M, De Ceglie A, et al. Endoscopic submucosal dissection: European Society of Gastrointestinal Endoscopy (ESGE) Guidelines. Endoscopy. 2015;47:829–54.
Park YM, Cho E, Kang HY, Kim JM. The effectiveness and safety of endoscopic submucosal dissection compared with endoscopic mucosal resection for early gastric cancer: a systematic review and metaanalysis. Surg Endosc. 2011;25:2666–77.
Lauwers GY, Ban S, Mino M, Ota S, Matsumoto T, Arai S, et al. Endoscopic mucosal resection for gastric epithelial neoplasms: a study of 39 cases with emphasis on the evaluation of specimens and recommendations for optimal pathologic analysis. Mod Pathol. 2004;17:2–8.
Lauwers GY, Forcione DG, Nishioka NS, Deshpande V, Lisovsky MY, Brugge WR, et al. Novel endoscopic therapeutic modalities for superficial neoplasms arising in Barrett’s esophagus: a primer for surgical pathologists. Mod Pathol. 2009;22:489–98.
Update on the Paris classification of superficial neoplastic lesions in the digestive tract. Endoscopic Classification Review Group. Endoscopy. 2005;37:570–8.
Mojtahed A, Shimoda T. Proper pathologic preparation and assessment of endoscopic mucosal resection and endoscopic submucosal dissection specimens. Tech Gastrointest Endosc. 2011;13:95–9.
WHO (World Health Organization). Classification of tumours. Pathology and genetics of tumours of the digestive system (4th edn). In: Bosman FT, Carneiro F, Hruban RH and Theise ND, editors. Lyon: IARC Press; 2010 .
Kawachi H, Eishi Y, Ueno H, Nemoto T, Fujimori T, Iwashita A, et al. A three-tier classification system based on the depth of submucosal invasion and budding/sprouting can improve the treatment strategy for T1 colorectal cancer: a retrospective multicenter study. Mod Pathol. 2005;28:872–9.
Watanabe T, Muro K, Ajioka Y, Hashiguchi Y, Ito Y, Saito Y, et al. Japanese Society for Cancer of the Colon and Rectum (JSCCR) guidelines 2016 for the treatment of colorectal cancer. Int J Clin Oncol. 2018;23:1–34.
Lugli A, Kirsch R, Ajioka Y, Bosman F, Cathomas G, Dawson H, et al. Recommendations for reporting tumor budding in colorectal cancer based on the International Tumor Budding Consensus Conference (ITBCC) 2016. Mod Pathol. 2017;30:1299–311.
Landau M, Hastings SM,MD, Foxwell TJ, Luketich JD, Nason KS, Davison JM. Tumor budding is associated with an increased risk of lymph node metastasis and poor prognosis in superficial esophageal adenocarcinoma. Mod Pathol. 2014;27:1578–89. https://doi.org/10.1038/modpathol.2014.66
Brown M, Sillah KGE, Swindell RD, West CM, Page RD, Welch IM, et al. Tumour budding and a low host inflammatory response are associated with a poor prognosis in oesophageal and gastrooesophageal junction cancers. Histopathology. 2010;56:893–9.
Teramoto H, Koike M, Tanak C, Yamada S, Nakayama G, Fujii T, et al. Tumor budding as a useful prognostic marker in T1-stage squamous cell carcinoma of the esophagus. J Surgical Oncol. 2013;108:42–6.
Olsen S, Jin L, Fields RC, Yan Y, Nalbantoglu I. Tumor budding in intestinal-type gastric adenocarcinoma is associated with nodal metastasis and recurrence. Hum Pathol. 2017;68:26–33.
DeMeester SR, DeMeester TR. The diagnosis and management of Barrett's esophagus. Adv Surg. 1999;33:29–68.
Younes Z, Duncan MD, Harmon JW. Management of Barrett's esophagus. Can J Gastroenterol. 2000;14(Suppl D):35D–43D.
Gockel I, Exner c, Junginger T. Morbidity and mortality after esophagectomy for esophageal carcinoma: a risk analysis. World J Surg Oncol. 2005;3:37.
Bennett C, Vakil N, Bergman J, Harrison R, Odze R, Vieth M, et al. Consensus statements for management of Barrett's dysplasia and early-stage esophageal adenocarcinoma, based on a Delphi process. Gastroenterology. 2012;143:336–46.
Ell C, May A, Pech O, Gossner L, Guenter E, Behrens A, et al. Curative endoscopic resection of early esophageal adenocarcinomas (Barrett's cancer). Gastrointest Endosc. 2007;65:3–10.
Pech O, Bollschweiler E, Manner H, Leers J, Ell C, Hölscher AH. Comparison between endoscopic and surgical resection of mucosal esophageal adenocarcinoma in Barrett's esophagus at two high-volume centers. Ann Surg. 2011;254:67–72.
Prasad GA, Wang KK, Butlar NS, Wongkeesong LM, Krishnadath KK, Nichols FC, et al. Long-term survival following endoscopic and surgical treatment of high-grade dysplasia in Barrett's esophagus. Gastroenterology. 2007;132:1226–33.
Westerterp M, Koppert LB, Buskens CJ, Tilanus HW, ten Kate FJ, Bergman JJ, et al. Outcome of surgical treatment for early adenocarcinoma of the esophagus or gastro-esophageal junction. Virchows Arch. 2005;446:497–504.
Rice T, Zuccaro G, Adelstein DJ, Rybicki LA, Blackstone EH, Goldblum JR. Esophageal carcinoma: depth of tumor invasion is predictive of regional lymph node status. Ann Thorac Surg. 1998;65:787–92.
Liu L, Hofstetter WL, Rashid A, Swisher SG, Correa AM, Ajani JA, et al. Significance of the depth of tumor invasion and lymph node metastasis in superficially invasive (T1) esophageal adenocarcinoma. Am J Surg Pathol. 2005;29:1079–85.
Pennathur A, Farkas A, Krasinskas AM, Ferson PF, Gooding WE, Gibson MK, et al. Esophagectomy for T1 esophageal cancer: outcomes in 100 patients and implications for endoscopic therapy. Ann Thorac Surg. 2009;87:1048–54.
Zemler B, May A, Ell C, Stolte M. Early Barrett’s carcinoma: the depth of infiltration of the tumour correlates with the degree of differentiation, the incidence of lymphatic vessel and venous invasion. Virchows Arch. 2010;456:609–14.
Larghi A, Lightdale CJ, Ross AS, Fedi P, Hart J, Rotterdam H, et al. Long-term follow-up of complete Barrett's eradication endoscopic mucosal resection (CBE-EMR) for the treatment of high grade dysplasia and intramucosal carcinoma. Endoscopy. 2007;39:1086–91.
Chennat J, Konda VJ, Ross AS, de Tejada AH, Noffsinger A, Hart J, et al. Complete Barrett's eradication endoscopic mucosal resection: an effective treatment modality for high-grade dysplasia and intramucosal carcinoma-an American single-center experience. Am J Gastroenterol. 2009;104:2684–92.
Konda VJ, Gonzalez Haba Ruiz M, Koons A, Hart J, Xiao SY, Siddiqui UD, et al. Complete endoscopic mucosal resection is effective and durable treatment for Barrett's-associated neoplasia. Clin Gastroenterol Hepatol. 2014;12:2002–10.
Bahin FF, Jayanna M, Hourigan LF, Lord RV, Whiteman D, Williams SJ, et al. Long-term outcomes of a primary complete endoscopic resection strategy for short-segment Barrett's esophagus with high-grade dysplasia and/or early esophageal adenocarcinoma. Gastrointest Endosc. 2016;83:68–77.
Chung A, Bourke MJ, Hourigan LF, Lim G, Moss A, Williams SJ, et al. Complete Barrett's excision by stepwise endoscopic resection in short-segment disease: long term outcomes and predictors of stricture. Endoscopy. 2011;43:1025–32.
Shaheen NJ, Inadomi JM, Overholt BF, Sharma P. What is the best management strategy for high grade dysplasia in Barrett's oesophagus? A cost effectiveness analysis. Gut. 2004;53:1736–44.
Hu Y, Puri V, Shami VM, Stukenborg GJ, Kozower BD. Comparative effectiveness of esophagectomy versus endoscopic treatment for esophageal high-grade dysplasia. Ann Surg. 2016;263:719–26.
Komeda Y, Bruno M, Koch A. EMR is not inferior to ESD for early Barrett's and EGJ neoplasia: an extensive review on outcome, recurrence and complication rates. Endosc Int Open. 2014;2:E58–64.
Nigro JJ, Hagen JA, DeMeester TR, DeMeester SR, Peters JH, Oberg S, et al. Prevalence and location of nodal metastases in distal esophageal adenocarcinoma confined to the wall: implications for therapy. J Thorac Cardiovasc Surg. 1999;117:16–23.
Manner H, Pech O, Heldmann Y, May A, Pohl J, Behrens A. et al. Efficacy, safety, and long-term results of endoscopic treatment for early stage adenocarcinoma of the esophagus with low-risk sm1 invasion. Clin Gastroenterol Hepatol. 2013;11:630–5.
Holscher AH, Vallbohmer D, Bollschweiler E. Early Barrett's carcinoma of the esophagus. Ann Thorac Cardiovasc Surg. 2008;14:347–54.
Bourke MJ, Neuhaus H, Bergman JJ. Endoscopic submucosal dissection: indications and application in western endoscopy practice. Gastroenterology. 2018;154:1887–1900.
Lewis JT, Wang KK, Abraham SC. Muscularis mucosae duplication and the musculo-fibrous anomaly in endoscopic mucosal resections for Barrett esophagus: implications for staging of adenocarcinoma. Am J Surg Pathol. 2008;32:566–71.
Estrella JS, Hofstetter WL, Correa AM, Swisher SG, Ajani JA, Lee JH, et al. Duplicated muscularis mucosae invasion has similar risk of lymph node metastasis and recurrence-free survival as intramucosal esophageal adenocarcinoma. Am J Surgical Pathol. 2011;35:1045–53.
Abraham SC, Krasinskas AM, Correa AM, Hofstetter WL, Ajani JA, Swisher SG, et al. Duplication of the muscularis mucosae in Barrett Esophagus: an underrecognized feature and its implication for staging of adenocarcinoma. Am J Surg Pathol. 2007;31:1719–25.
Kaneshiro DK, Post JC, Rybicki L, Rice TW, Goldblum JR. Clinical significance of the duplicated muscularis mucosae in barrett esophagus-related superficial adenocarcinoma. Am J Surg Pathol. 2011;35:697–700.
Fernández-Sordo JO, Konda VJA, Chennat J, Madrigal-Hoyos E, Posner MC, Ferguson MK, et al. Is endoscopic ultrasound (EUS) necessary in the pre-therapeutic assessment of Barrett’s esophagus with early neoplasia? J Gastrointest Oncol. 2012;3:314–21.
Pouw RE,MD, Heldoorn N, Alvarez Herrero L, Fiebo TK, Van Berge Henegouwen MI, Krishnadath K, et al. Do we still need EUS in the workup of patients with early esophageal neoplasia? A retrospective analysis of 131 cases. Gastrointest Endosc. 2011;73:662.
Amin MB, Edge S, Greene F, eds. AJCC cancer staging manual. AJCC cancer staging manual. 8th ed. Basel, Switzerland: Springer; 2017.
Kuwano H, Nishimura Y, Oyama T, Kato H, Kitagawa Y, Kusano M, et al. Guidelines for diagnosis and treatment of carcinoma of the esophagus April 2012 edited by the Japan Esophageal Society. Esophagus. 2015;12:1–30.
Tajima Y, Nakanishi Y, Ochiai A, Tachimori Y, Kato H, Watanabe H, et al. Histopathologic findings predicting lymph node metastasis and prognosis of patients with superficial esophageal carcinoma analysis of 240 surgically resected tumors. Cancer. 2000;88:1285–93.
Yip HC, Wai-Yan P. Endoscopic diagnosis and management of early squamous cell carcinoma of esophagus. J Thorac Dis. 2017;9(Suppl 8):689–96.
Ono H, Yao K, Fujishiro M, Oda I, Nimura S, Yahagi N, et al. Guidelines for endoscopic submucosal dissection and endoscopic mucosal resection for early gastric cancer. Dig Endosc. 2016;28:3–15.
Basford PJ, Bhandari P. Endoscopic management of nonampullary duodenal polyps. Ther Adv Gastroenterol. 2012;5:127–38.
Klein A, Ahlenstiel G, Tate DJ, Burgess N, Richardson A, Pang T, et al. Endoscopic resection of large duodenal and papillary lateral spreading lesions is clinically and economically advantageous compared with surgery. Endoscopy. 2017;49:659–67.
Klein A, Nayyar D, Bahin FF, Qi Z, Lee E, Williams SJ, et al. Endoscopic mucosal resection of large and giant lateral spreading lesions of the duodenum: success, adverse events, and long-term outcomes. Gastrointest Endosc. 2016;84:688–96.
Lim CH, Cho YS. Nonampullary duodenal adenoma: Current understanding of its diagnosis, pathogenesis, and clinical management. World J Gastroenterol. 2016;22:853–61.
Friedrich-Rust M, Ell C. Early-stage small-bowel adenocarcinoma: a review of local endoscopic therapy. Endoscopy. 2005;37:755–9.
Hirasawa R, Iishi H, Tatsuta M, Ishiguro S. Clinicopathologic features and endoscopic resection of duodenal adenocarcinomas and adenomas with the submucosal saline injection technique. Gastrointest Endosc. 1997;46:507–13.
Witteman BJ, Janssens AR, Griffione G, Lamers CB. Villous tumours of the duodenum. An analysis of the literature with emphasis on malignant transformation. Neth J Med. 1993;42:5–11.
Burgess NG, Bahin FF, Bourke MJ. Colonic Polypectomy (with videos). Invited technical review. Gastrointest Endosc. 2015;81:813–35.
Ferlitsch M, Moss A, Hassan C, Bhandari P, Dumonceau JM, Paspatis G, et al. Colorectal polypectomy and endoscopic mucosal resection (EMR): European Society of Gastrointestinal Endoscopy (ESGE) Clinical Guideline. Endoscopy. 2017;49:270–97.
Klein A, Bourke MJ. How to perform high-quality endoscopic mucosal resection during colonoscopy. Gastroenterology. 2017;152:466–71.
Lee EY, Bourke MJ. EMR should be the first-line treatment for large laterally spreading colorectal lesions. Gastrointest Endosc. 2016;84:326–8.
Hassan C, Repici A, Sharma P, Correale L, Zullo A, Bretthauer M, et al. Efficacy and safety of endoscopic resection of large colorectal polyps: A systematic review and meta-analysis. Gut. 2016;65:806–20.
Tate DJ, Desomer L, Klein A, Brown G, Hourigan LF, Lee EY, et al. Adenoma recurrence after piecemeal colonic EMR is predictable: the Sydney EMR recurrence tool. Gastrointest Endosc. 2017;85:647–56.
Nakajima T, Saito Y, Tanaka S, Iishi H, Kudo SE, Ikematsu H, et al. Current status of endoscopic resection strategy for large, early colorectal neoplasia in Japan. Surgical Endosc. 2013;27:3262–70.
Saito Y, Fukuzawa M, Matsuda T, Fukunaga S, Sakamoto T, Uraoka T, et al. Clinical outcome of endoscopic submucosal dissection versus endoscopic mucosal resection of large colorectal tumors as determined by curative resection. Surgical Endosc. 2010;24:343–52.
Lee EJ, Lee JB, Lee SH, Youk EG. Endoscopic treatment of large colorectal tumors: comparison of endoscopic mucosal resection, endoscopic mucosal resection-precutting, and endoscopic submucosal dissection. Surgical Endosc. 2012;26:2220–30.
Terasaki M, Tanaka S, Oka S, Nakadoi K, Takata S, Kanao H, et al. Clinical outcomes of endoscopic submucosal dissection and endoscopic mucosal resection for laterally spreading tumors larger than 20 mm. J Gastroenterol Hepatol. 2012;27:734–40.
Moss A, Bourke MJ, Williams SJ, Hourigan LF, Brown G, Tam W, et al. Endoscopic mucosal resection outcomes and prediction of submucosal cancer from advanced colonic mucosal neoplasia. Gastroenterology. 2011;140:1909–18.
Bahin FF, Heitman SJ, Rasouli KN, Mahajan H, McLeod D, Lee EYT, et al. Wide-field endoscopic mucosal resection versus endoscopic submucosal dissection for laterally spreading colorectal lesions: a cost effectiveness analysis. Gut. Published online first: 07 October 2017. https://doi.org/10.1136/gutjnl-2017-313823.
Williams JG, Pullan RD, Hill J, Horgan PG, Salmo E, Buchanan GN, et al. Management of the malignant colorectal polyp: ACPGBI position statement. Colorectal Dis. 2013; Suppl. 2:1–38.
Beaton C, Twine CP, Williams GL, Radcliffe AG. Systematic review and meta-analysis of histopathological factors influencing the risk of lymph node metastasis in early colorectal cancer. Colorectal Dis. 2013;15:788–97.
Hassan C, Zullo A, Risio M, Rossini FP, Morini S. Histologic risk factors and clinical outcome in colorectal malignant polyp: a pooled-data analysis. Dis Colon Rectum. 2005;48:1588–96.
Ueno H, Mochizuki H, Hashiguchi Y, Shimazaki H, Aida S, Hase K, et al. Risk factors for an adverse outcome in early invasive colorectal carcinoma. Gastroenterology. 2004;127:385–94.
Konishi T, Shimada Y, Lee LH, Cavalcanti MS, Hsu M, Smith JJ, et al. Differentiated clusters predict colon cancer recurrence: an in-depth comparative analysis of invasive-front prognostic markers. Am J Surg Pathol. 2018;42:705–14.
Bartel MJ, Brahmbhatt BS, Wallace MB. Management of colorectal T1 carcinoma treated by endoscopic resection from the Western perspective. Digestive Endosc. 2016;28:330–41.
Quirke P, Risio M, Lambert R, von Karsa L, Vieth M. Quality assurance in pathology in colorectal cancer screening and diagnosis-European recommendations. Virchows Arch. 2011;458:1–19.
Morson BC, Whiteway JE, Jones EA, Macrae FA, Williams CB. Histopathology and prognosis of malignant colorectal polyps treated by endoscopic polypectomy. Gut. 1984;25:437–44.
Netzer P, Binek J, Hammer B, Lange J, Schmassmann A. Significance of histologic criteria for the management of patients with malignant colorectal polyps and polypectomy. Scand J Gastroenterol. 1997;32:910–6.
Seitz U, Bohnacker S, Seewald S, Thonke F, Brand B, Braiutigam T, et al. Is endoscopic polypectomy an adequate therapy for malignant colorectal adenomas? Presentation of 114 patients and review of the literature. Dis Colon Rectum. 2004; 47:1789–96.
Nivatvongs S. Surgical management of malignant colorectal polyps. Surg Clin N. Am. 2002;82:959–66.
Brown IS, Bettington ML, Bettington A, Miller G, Rosty C, et al. Adverse histological features in malignant colorectal polyps: a contemporary series of 239 cases. J Clin Pathol. 2016;69:292–9.
Knijn N, van Exsel UEM, de Noo ME, Nagtegaal ID, et al. The value of intramural vascular invasion in colorectal cancer-a systematic review and meta-analysis. Histopathology. 2018;72:721–8.
Acknowledgements
We thank the Rodger C. Haggitt Gastrointestinal Pathology Society and Australasian Gastrointestinal Pathology Society (and their leadership) for the opportunity and support in developing these guidelines.
Author information
Authors and Affiliations
Corresponding author
Ethics declarations
Conflict of interest
The authors declare that they have no conflict of interest.
Additional information
Publisher’s note Springer Nature remains neutral with regard to jurisdictional claims in published maps and institutional affiliations.
Rights and permissions
About this article
Cite this article
Kumarasinghe, M.P., Bourke, M.J., Brown, I. et al. Pathological assessment of endoscopic resections of the gastrointestinal tract: a comprehensive clinicopathologic review. Mod Pathol 33, 986–1006 (2020). https://doi.org/10.1038/s41379-019-0443-1
Received:
Revised:
Accepted:
Published:
Version of record:
Issue date:
DOI: https://doi.org/10.1038/s41379-019-0443-1
This article is cited by
-
Development and application of deep learning-based diagnostics for pathologic diagnosis of gastric endoscopic submucosal dissection specimens
Gastric Cancer (2025)
-
Malignant colon polyps: predicting lymph node metastasis following endoscopic excision
International Journal of Colorectal Disease (2022)
-
Clinicopathologic correlations of superficial esophageal adenocarcinoma in endoscopic submucosal dissection specimens
Diagnostic Pathology (2021)
-
Human telomerase reverse transcriptase (hTERT) synergistic with Sp1 upregulate Gli1 expression and increase gastric cancer invasion and metastasis
Journal of Molecular Histology (2021)
-
Heading in the Right Dissection: Toward an Endoscopic Cancer Cure in a Patient with Long-Standing Ulcerative Colitis
Digestive Diseases and Sciences (2020)













