Abstract
Purpose
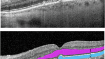
To evaluate functional clinical endpoints and their structural correlations in AMD, with a focus on subretinal drusenoid deposits (SDD).
Methods
This prospective study enroled 50 participants (11 controls, 17 intermediate AMD (iAMD) with no SDD, 11 iAMD with SDD and 11 non-foveal atrophic AMD). Participants underwent best-corrected visual acuity (BCVA), low luminance visual acuity (LLVA), low luminance questionnaire (LLQ), scotopic thresholds, rod-intercept time (RIT), photopic flicker electroretinograms and multimodal imaging. Functional and structural relationships were assessed.
Results
Compared with healthy participants, BCVA, LLVA, scotopic thresholds were depressed, and RIT prolonged in iAMD patients with SDD (p = 0.028, p = 0.045, p = 0.014 and p < 0.0001 respectively). Patients with SDD also had reduced scotopic function and delayed RIT compared to iAMD without SDD (p = 0.005 and p < 0.0001). Eyes with SDD and non-foveal atrophy did not differ functionally. Nor did healthy subjects compared with iAMD without SDD. Functional parameters were significantly associated with scotopic thresholds (r = 0.39–0.64). BCVA, LLVA and scotopic thresholds correlated well with ONL volume, ONL thickness and choroidal thickness (r = 0.34–0.61).
Conclusion
Eyes with SDD are surrogate markers of photoreceptor abnormalities comparable with non-central atrophy and should be sub-analysed in clinical trials evaluating potential prophylactic agents to decrease the progression of AMD and may even require different therapeutic interventions.
Similar content being viewed by others
Log in or create a free account to read this content
Gain free access to this article, as well as selected content from this journal and more on nature.com
or
References
Feigl B. Age-related maculopathy—linking aetiology and pathophysiological changes to the ischaemia hypothesis. Prog Retin Eye Res. 2009;28:63–86.
Finger RP, Wu Z, Luu CD, Kearney F, Ayton LN, Lucci LM, et al. Reticular pseudodrusen: a risk factor for geographic atrophy in fellow eyes of individuals with unilateral choroidal neovascularization. Ophthalmology. 2014;121:1252–6.
Steinberg JS, Göbel AP, Fleckenstein M, Holz FG, Schmitz-Valckenberg S. Reticular drusen in eyes with high-risk characteristics for progression to late-stage age-related macular degeneration. Br J Ophthalmol. 2015;99:1289–94.
Wu Z, Ayton LN, Luu CD, Baird PN, Guymer RH. Reticular pseudodrusen in intermediate age-related macular degeneration: prevalence, detection, clinical, environmental, and genetic associations. Investig Ophthalmol Vis Sci. 2016;57:1310–6.
Guymer RH, Wu Z, Hodgson LAB, Caruso E, Brassington KH, Tindill N, et al. Subthreshold nanosecond laser intervention in age-related macular degeneration: the LEAD randomized controlled clinical trial. Ophthalmology. 2019;126:829–38.
Yehoshua Z, de Amorim Garcia Filho CA, Nunes RP, Gregori G, Penha FM, Moshfeghi AA, et al. Systemic complement inhibition with eculizumab for geographic atrophy in age-related macular degeneration: the COMPLETE study. Ophthalmology. 2014;121:693–701.
Hogg RE, Chakravarthy U. Visual function and dysfunction in early and late age-related maculopathy. Prog Retin Eye Res. 2006;25:249–76.
Beirne RO, Hogg RE, Stevenson MR, Zlatkova MB, Chakravarthy U, Anderson RS. Severity staging by early features of age-related maculopathy exhibits weak relationships with functional deficits on SWS grating acuity. Investig Ophthalmol Vis Sci. 2006;47:4624–31.
Bird A. Role of retinal pigment epithelium in age-related macular disease: a systematic review. Br J Ophthalmol. 2020. https://doi.org/10.1136/bjophthalmol-2020-317447.
Dimitrov PN, Robman LD, Varsamidis M, Aung KZ, Makeyeva GA, Guymer RH, et al. Visual function tests as potential biomarkers in age-related macular degeneration. Investig Ophthalmol Vis Sci. 2011;52:9457–69.
Tan RS, Guymer RH, Aung KZ, Caruso E, Luu CD. Longitudinal assessment of rod function in intermediate age-related macular degeneration with and without reticular pseudodrusen. Investig Ophthalmol Vis Sci. 2019;60:1511–8.
Finger RP, Fenwick E, Hirneiss CW, Hsueh A, Guymer RH, Lamoureux EL, et al. Visual impairment as a function of visual acuity in both eyes and its impact on patient reported preferences. PLoS ONE. 2013;8:e81042.
Nguyen CT, Fraser RG, Tan R, Caruso E, Lek JJ, Guymer RH, et al. Longitudinal changes in retinotopic rod function in intermediate age-related macular degeneration. Investig Ophthalmol Vis Sci. 2018;59:Amd19–24.
Rogala J, Zangerl B, Assaad N, Fletcher EL, Kalloniatis M, Nivison-Smith L. In vivo quantification of retinal changes associated with drusen in age-related macular degeneration. Investig Ophthalmol Vis Sci. 2015;56:1689–700.
Schmitz-Valckenberg S, Steinberg JS, Fleckenstein M, Visvalingam S, Brinkmann CK, Holz FG. Combined confocal scanning laser ophthalmoscopy and spectral-domain optical coherence tomography imaging of reticular drusen associated with age-related macular degeneration. Ophthalmology. 2010;117:1169–76.
Tan R, Guymer RH, Luu CD. Subretinal drusenoid deposits and the loss of rod function in intermediate age-related macular degeneration. Investig Ophthalmol Vis Sci. 2018;59:4154–61.
Flynn OJ, Cukras CA, Jeffrey BG. Characterization of rod function phenotypes across a range of age-related macular degeneration severities and subretinal drusenoid deposits. Investig Ophthalmol Vis Sci. 2018;59:2411–21.
Saßmannshausen M, Zhou J, Pfau M, Thiele S, Steinberg J, Fleckenstein M, et al. Longitudinal analysis of retinal thickness and retinal function in eyes with large drusen secondary to intermediate age-related macular degeneration. Ophthalmol Retina. 2020;S2468-6530:30304–3.
Dwivedi AK, Mallawaarachchi I, Alvarado LA. Analysis of small sample size studies using nonparametric bootstrap test with pooled resampling method. Stat Med. 2017;36:2187–205.
Grewal MK, Chandra S, Gurudas S, Bird A, Jeffery G, Sivaprasad S. Exploratory study on visual acuity and patient-perceived visual function in patients with subretinal drusenoid deposits. J Clin Med. 2020;9:2832. https://doi.org/10.3390/jcm9092832.
Sunness JS, Rubin GS, Applegate CA, Bressler NM, Marsh MJ, Hawkins BS, et al. Visual function abnormalities and prognosis in eyes with age-related geographic atrophy of the macula and good visual acuity. Ophthalmology. 1997;104:1677–91.
Hsu ST, Thompson AC, Stinnett SS, Luhmann UFO, Vajzovic L, Horne A, et al. Longitudinal study of visual function in dry age-related macular degeneration at 12 months. Ophthalmol Retina. 2019;3:637–48.
Cocce KJ, Stinnett SS, Luhmann UFO, Vajzovic L, Horne A, Schuman SG, et al. Visual function metrics in early and intermediate dry age-related macular degeneration for use as clinical trial endpoints. Am J Ophthalmol. 2018;189:127–38.
McGuinness MB, Fraser RG, Tan R, Luu CD, Guymer RH. Relationship between rod-mediated sensitivity, low-luminance visual acuity, and night vision questionnaire in age-related macular degeneration. Transl Vis Sci Technol. 2020;9:30.
Knudtson MD, Klein R, Klein BE, Lee KE, Meuer SM, Tomany SC. Location of lesions associated with age-related maculopathy over a 10-year period: the Beaver Dam Eye Study. Investig Ophthalmol Vis Sci. 2004;45:2135–42.
Grewal DS, Chou J, Rollins SD, Fawzi AA. A pilot quantitative study of topographic correlation between reticular pseudodrusen and the choroidal vasculature using en face optical coherence tomography. PLoS ONE. 2014;9:e92841.
Shao L, Xu L, Wei WB, Chen CX, Du KF, Li XP, et al. Visual acuity and subfoveal choroidal thickness: the Beijing Eye Study. Am J Ophthalmol. 2014;158:702–9.e1.
Flamendorf J, Agrón E, Wong WT, Thompson D, Wiley HE, Doss EL, et al. Impairments in dark adaptation are associated with age-related macular degeneration severity and reticular pseudodrusen. Ophthalmology. 2015;122:2053–62.
Thompson AC, Luhmann UFO, Stinnett SS, Vajzovic L, Horne A, Toth CA, et al. Association of low luminance questionnaire with objective functional measures in early and intermediate age-related macular degeneration. Investig Ophthalmol Vis Sci. 2018;59:289–97.
Yazdanie M, Alvarez J, Agrón E, Wong WT, Wiley HE, Ferris FL 3rd, et al. Decreased visual function scores on a low luminance questionnaire is associated with impaired dark adaptation. Ophthalmology. 2017;124:1332–9.
Sassmannshausen M, Pfau M, Thiele S, Fimmers R, Steinberg JS, Fleckenstein M, et al. Longitudinal analysis of structural and functional changes in presence of reticular pseudodrusen associated with age-related macular degeneration. Investig Ophthalmol Vis Sci. 2020;61:19.
Acknowledgements
The research was funded by Fight for Sight (Ref 1905) and supported by the NIHR Biomedical Research Centre at Moorfields Eye Hospital NHS Foundation Trust and UCL Institute of Ophthalmology and the NIHR Moorfields Clinical Research Facility. The views expressed are those of the author(s) and not necessarily those of the NHS, the NIHR or the Department of Health.
Funding
The project is funded by Fight For Sight grant number—1905. SC and RR are supported by ORNATE India Project (GCRF UKRI MR/P207881/1).
Author information
Authors and Affiliations
Corresponding author
Ethics declarations
Conflict of interest
The authors declare no competing interests.
Additional information
Publisher’s note Springer Nature remains neutral with regard to jurisdictional claims in published maps and institutional affiliations.
Rights and permissions
About this article
Cite this article
Grewal, M.K., Chandra, S., Gurudas, S. et al. Functional clinical endpoints and their correlations in eyes with AMD with and without subretinal drusenoid deposits—a pilot study. Eye 36, 398–406 (2022). https://doi.org/10.1038/s41433-021-01488-z
Received:
Revised:
Accepted:
Published:
Issue date:
DOI: https://doi.org/10.1038/s41433-021-01488-z
This article is cited by
-
Determinants of visual functions in patients with early and intermediate age-related macular degeneration: the PEONY study
Eye (2025)
-
Photoreceptor assessment in age-related macular degeneration
Eye (2025)
-
Polygenic Risk Score Impact on Visual Function in Older Individuals with Healthy Macula: The Northern Ireland Sensory Ageing Study
Eye (2025)
-
Visual acuity in various phenotypes of intermediate age related macular degeneration (AMD) in a multicentre cohort study in Europe- INTERCEPT-AMD report 1
Eye (2025)
-
Perspectives from clinical trials: is geographic atrophy one disease?
Eye (2023)