Abstract
Objectives
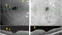
To quantitatively evaluate concentric macular dark spots (CMDS) on spectral-domain optical coherence tomography (SD-OCT) to determine the morphological characteristics of dissociated optic nerve fibre layer (DONFL) following the performance of internal limiting membrane (ILM) peeling in patients with full-thickness idiopathic macular hole (IMH) closure.
Methods
Retrospective study on patients who underwent a vitrectomy with ILM peeling procedure. BCVA, cross-sectional OCT scans, and three-dimensional reconstructions of en face OCT scans were analysed preoperatively, at 2, 6, 12 months post-operatively. A novel image analysis technique was used to automatically measure DONFL logical properties through the radius, area, the nerve fibre layer dissociation index (NFLDI), and depth of the CMDS.
Results
53 eyes of 51 patients were included, and the mean follow-up was 11.53 ± 6.26 months. CMDS was found in 46 (86.79%) eyes within 2 months after ILM peeling and 50 (94.34%) eyes within 6 months after ILM peeling. CMDS concentrated on the temporal side of the macula in all 50 eyes (100%) at first detection. The area, NFLDI, and depth of CMDS in four quadrants developed significantly during the postoperative 6 months (p < 0.05), and then these changes slowed down and remained unchanged 12 months post-operatively. The morphological changes in the temporal quadrant were significantly greater than those in other quadrants at 2, 6, 12 months (all p < 0.05) post-operatively.
Conclusions
CMDS mostly appeared and concentrated on the temporal side of the macula in IMHs within two months after ILM peeling and progressed within 6 months and remained unchanged after 12 months.
Similar content being viewed by others
Log in or create a free account to read this content
Gain free access to this article, as well as selected content from this journal and more on nature.com
or
Data availability
The datasets used and analysed during the current study are available from the corresponding author on reasonable request.
References
Kelly NE, Wendel RT. Vitreous surgery for idiopathic macular holes. Results of a pilot study. Arch Ophthalmol. 1991;109:654–9.
Parravano M, Giansanti F, Eandi CM, Yap YC, Rizzo S, Virgili G. Vitrectomy for idiopathic macular hole. Cochrane Database Syst Rev. 2015;2015:Cd009080.
Eckardt C, Eckardt U, Groos S, Luciano L, Reale E. Removal of the internal limiting membrane in macular holes. Clinical and morphological findings. Ophthalmologe. 1997;94:545–51.
Brooks HL Jr. Macular hole surgery with and without internal limiting membrane peeling. Ophthalmology. 2000;107:1939–48.
Stec LA, Ross RD, Williams GA, Trese MT, Margherio RR, Cox MS Jr. Vitrectomy for chronic macular holes. Retina. 2004;24:341–7.
Semeraro F, Morescalchi F, Duse S, Gambicorti E, Russo A, Costagliola C. Current trends about inner limiting membrane peeling in surgery for epiretinal membranes. J Ophthalmol. 2015;2015:671905.
Steel DH, Lotery AJ. Idiopathic vitreomacular traction and macular hole: a comprehensive review of pathophysiology, diagnosis, and treatment. Eye. 2013;27:S1–21.
Haritoglou C, Reiniger IW, Schaumberger M, Gass CA, Priglinger SG, Kampik A. Five-year follow-up of macular hole surgery with peeling of the internal limiting membrane: update of a prospective study. Retina. 2006;26:618–22.
Christensen UC, Krøyer K, Sander B, Jorgensen TM, Larsen M, la Cour M. Macular morphology and visual acuity after macular hole surgery with or without internal limiting membrane peeling. Br J Ophthalmol. 2010;94:41–7.
Tadayoni R, Paques M, Massin P, Mouki-Benani S, Mikol J, Gaudric A. Dissociated optic nerve fiber layer appearance of the fundus after idiopathic epiretinal membrane removal. Ophthalmology. 2001;108:2279–83.
Alkabes M, Salinas C, Vitale L, Burés-Jelstrup A, Nucci P, Mateo C. En face optical coherence tomography of inner retinal defects after internal limiting membrane peeling for idiopathic macular hole. Investig Ophthalmol Vis Sci. 2011;52:8349–55.
dell’Omo R, Filippelli M, De Turris S, Govetto A, Napolitano P, dell'Omo E, et al. Multimodal imaging of lamellar macular holes. J Ophthalmol. 2021;2021:8820444.
Sabry D, El-Kannishy A, Kamel R, Abou Samra W. Correlation between en face optical coherence tomography defects of the inner retinal layers and ganglion cell inner plexiform layer analysis after internal limiting membrane peeling for idiopathic full-thickness macular hole. Invest Ophthalmol Vis Sci. 2016;57:OCT444–50.
Kim KY, Yu SY, Kim M, Kim ES, Kwak HW. Morphological change of inner retinal layer on spectral-domain optical coherence tomography following macular hole surgery. Ophthalmologica. 2013;230:18–26.
Nukada K, Hangai M, Ooto S, Yoshikawa M, Yoshimura N. Tomographic features of macula after successful macular hole surgery. Invest Ophthalmol Vis Sci. 2013;54:2417–28.
Rossi T, Bacherini D, Caporossi T, Telani S, Iannetta D, Rizzo S, et al. Macular hole closure patterns: an updated classification. Graefes Arch Clin Exp Ophthalmol. 2020;258:2629–38.
Mitamura Y, Ohtsuka K. Relationship of dissociated optic nerve fiber layer appearance to internal limiting membrane peeling. Ophthalmology. 2005;112:1766–70.
Sakimoto S, Ikuno Y, Fujimoto S, Sakaguchi H, Nishida K. Characteristics of the retinal surface after internal limiting membrane peeling in highly myopic eyes. Am J Ophthalmol. 2014;158:762–8.e1.
Steel DH, Dinah C, Habib M, White K. ILM peeling technique influences the degree of a dissociated optic nerve fibre layer appearance after macular hole surgery. Graefes Arch Clin Exp Ophthalmol. 2015;253:691–8.
Pichi F, Lembo A, Morara M, Veronese C, Alkabes M, Nucci P, et al. Early and late inner retinal changes after inner limiting membrane peeling. Int Ophthalmol. 2014;34:437–46.
Navajas EV, Schuck N, Govetto A, Akil H, Docherty G, Heisler M, et al. En face optical coherence tomography and optical coherence tomography angiography of inner retinal dimples after internal limiting membrane peeling for full-thickness macular holes. Retina. 2020;40:557–66.
Liu J, Chen Y, Wang S, Zhang X, Zhao P. Evaluating inner retinal dimples after inner limiting membrane removal using multimodal imaging of optical coherence tomography. BMC Ophthalmol. 2018;18:155.
Spaide RF. “Dissociated optic nerve fiber layer appearance” after internal limiting membrane removal is inner retinal dimpling. Retina. 2012;32:1719–26.
Ito Y, Terasaki H, Takahashi A, Yamakoshi T, Kondo M, Nakamura M. Dissociated optic nerve fiber layer appearance after internal limiting membrane peeling for idiopathic macular holes. Ophthalmology. 2005;112:1415–20.
Goel N, Shukla G. Long-term follow up of en face optical coherence tomography of the inner retinal surface following internal limiting membrane peeling for idiopathic macular holes. Int Ophthalmol. 2021;41:1003–10.
Kumar V, Dubey D, Kumawat D, Markan A, Chandra P, Chandra M, et al. Role of internal limiting membrane peeling in the prevention of epiretinal membrane formation following vitrectomy for retinal detachment: a randomised trial. Br J Ophthalmol. 2020;104:1271–6.
Demirel S, Abdullayev A, Yanık Ö, Batıoğlu F, Özmert E. Evaluation of ganglion cell-inner plexiform layer thickness after vitreoretinal surgery with internal limiting membrane peeling in cases with idiopathic macular hole. Turk J Ophthalmol. 2017;47:138–43.
Spaide RF. “Dissociated optic nerve fiber layer appearance” after internal limiting membrane removal is inner retinal dimpling. Retina. 2012;32:1719–26.
Ikeda T, Nakamura K, Sato T, Kida T, Oku H. Involvement of anoikis in dissociated optic nerve fiber layer appearance. Int J Mol Sci. 2021;22:1724.
Acknowledgements
The authors acknowledge Wenzhou's scientific research project (Y20190627). The sponsor or funding organisation had no role in the design or conduct of this research.
Author information
Authors and Affiliations
Contributions
SLJ had full access to all the data in the study and will take responsibility for the integrity of the data and the accuracy of the data analysis. Study concept and design: YX, SLJ. Acquisition, analysis, or interpretation of data: YX, XJH, HSC, WJ, TJW, CYQ. Drafting of the manuscript: YX, XJH, HSC, WJ, YJL. Critical revision of the manuscript for important intellectual content: YX, SLJ. Study supervision: SLJ, CYQ.
Corresponding authors
Ethics declarations
Competing interests
The authors declare no competing interests.
Consent for publication
Informed consent to publish was obtained from all of participants before their inclusion in the study.
Additional information
Publisher’s note Springer Nature remains neutral with regard to jurisdictional claims in published maps and institutional affiliations.
Supplementary information
Rights and permissions
About this article
Cite this article
Ye, X., Xu, J., He, S. et al. Quantitative evaluation of dissociated optic nerve fibre layer (DONFL) following idiopathic macular hole surgery. Eye 37, 1451–1457 (2023). https://doi.org/10.1038/s41433-022-02150-y
Received:
Revised:
Accepted:
Published:
Version of record:
Issue date:
DOI: https://doi.org/10.1038/s41433-022-02150-y


