Abstract
Background/objectives
To report a series of patients with glaucoma and optic nerve abnormalities on magnetic resonance imaging (MRI) in at least one-eye, and to determine whether these findings correlate with the severity of glaucoma.
Patients and methods
Retrospective study of all patients who underwent a brain/orbits MRI without and with contrast at our institution between 07/1/2019-6/30/2022. Patients with optic nerve T2-hyperintensity and/or MRI optic nerve atrophy in at least one-eye and a diagnosis of isolated glaucoma in at least one-eye were included. Demographic information, glaucoma clinical characteristics, glaucoma severity parameters, and MRI indication were collected.
Results
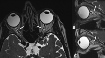
Fifty-six patients (112 eyes) (age 65 years-old [range 26–88]; 70% male) had isolated bilateral glaucoma with at least one-eye MRI optic nerve abnormality. The indication for MRI was atypical/asymmetric glaucoma in 91% of patients. Of the 112 eyes, 23 had optic nerve T2-hyperintensity alone; 33 had both optic nerve T2-hyperintensity and MRI optic nerve atrophy; 34 had MRI optic nerve atrophy alone; and 22 did not have abnormal optic nerve MRI-findings. None had optic nerve enhancement. A statistically significant association between optic nerve T2-hyperintensity or MRI optic nerve atrophy and glaucoma severity parameters was found.
Conclusions
Glaucoma is a clinical diagnosis and MRI brain is usually not required, except in atypical or asymmetric cases. Optic nerve T2-hyperintensity and MRI optic nerve atrophy are nonspecific MRI-findings that can be found in severe glaucomatous optic nerves and should not systematically prompt investigations for another cause of optic neuropathy.
Similar content being viewed by others
Log in or create a free account to read this content
Gain free access to this article, as well as selected content from this journal and more on nature.com
or
Data availability
The data that support the findings of this study are available from the corresponding author, VB, upon reasonable request.
References
Biousse V, Danesh-Meyer HV, Saindane AM, Lamirel C, Newman NJ. Imaging of the optic nerve: technological advances and future prospects. Lancet Neurol. 2022;21:1135–50.
Costello F, Scott JN. Imaging in neuro-ophthalmology. Contin Lifelong Learn Neurol. 2019;25:1438–90.
Labella Alvarez F, Mosleh R, Bouthour W, Saindane AM, Bruce BB, Dattilo M, et al. Optic nerve T2-hyperintensity: a nonspecific marker of optic nerve damage. J Neuroophthalmol. 2023;00:1–8.
Kosior-Jarecka E, Wróbel-Dudzińska D, Pietura R, Pankowska A, Szczuka B, Żarnowska I, et al. Results of neuroimaging in patients with atypical normal-tension glaucoma. Biomed Res Int. 2020;2020:9093206.
Kang L, Wan C. Application of advanced magnetic resonance imaging in glaucoma: a narrative review. Quant Imaging Med Surg. 2022;12:2106–28.
Mendoza M, Shotbolt M, Faiq MA, Parra C, Chan KC. Advanced diffusion MRI of the visual system in glaucoma: From experimental animal models to humans. Biology. 2022;11:454.
Gracitelli CPB, Gerente VM, Furlanetto RL, Amaro E Jr, Paranhos A Jr. Magnetic resonance imaging for glaucoma evaluation. J Glaucoma. 2020;29:622–6.
Sartoretti T, Stürmer J, Sartoretti E, Najafi A, Schwenk Á, Wyss M, et al. Long segment 3D double inversion recovery (DIR) hypersignal on MRI in glaucomatous optic neuropathy. BMC Ophthalmol. 2019;19:1–7.
Nucci C, Aiello F, Giuliano M, Colosimo C, Mancino R. Ophthalmic segment of internal carotid artery aneurysm mimicking normal tension glaucoma. Int Ophthalmol. 2016;36:907–14.
Waisberg E, Micieli JA. Neuro-Ophthalmological optic nerve cupping: an overview. Eye Brain. 2021;13:255–68.
Lee JY, Kwon HJ, Park SJ, Yoo C, Kim YY, Kim EY. Signal alteration in the optic nerve head on 3D T2-weighted MRI: a potential neuroimaging sign of glaucomatous optic neuropathy. Curr Eye Res. 2018;43:397–405.
Ramli NM, Sidek S, Rahman FA, Peyman M, Zahari M, Rahmat K, et al. Novel use of 3T MRI in assessment of optic nerve volume in glaucoma. Graefe’s Arch Clin Exp Ophthalmol. 2014;252:995–1000.
Zhang YQ, Li J, Xu L, Zhang L, Wang ZC, Yang H, et al. Anterior visual pathway assessment by magnetic resonance imaging in normal‐pressure glaucoma. Acta Ophthalmol. 2012;90:e295–e302.
Lagrèze WA, Gaggl M, Weigel M, Schulte-Mönting J, Bühler A, Bach M, et al. Retrobulbar optic nerve diameter measured by high-speed magnetic resonance imaging as a biomarker for axonal loss in glaucomatous optic atrophy. Invest Ophthalmol Vis Sci. 2009;50:4223–8.
Kashiwagi K, Okubo T, Tsukahara S. Association of magnetic resonance imaging of anterior optic pathway with glaucomatous visual field damage and optic disc cupping. J Glaucoma. 2004;13:189–95.
Weber AJ, Chen H, Hubbard WC, Kaufman PL. Invest Ophthalmol Vis Sci. 2000;41:1370–9.
Gupta N, Ang LC, Noël de Tilly L, Bidaisee L, Yücel YH. Human glaucoma and neural degeneration in intracranial optic nerve, lateral geniculate nucleus, and visual cortex. Br J Ophthalmol. 2006;90:674–8.
Jonas JB, Schmidt AM, Müller-Bergh JA, Naumann GO. Optic nerve fiber count and diameter of the retrobulbar optic nerve in normal and glaucomatous eyes. Graefes Arch Clin Exp Ophthalmol. 1995;233:421–4.
Ersoz MG, Pekcevik Y, Ayintap E, Gunes İB, Mart DK, Yucel E, et al. Curr Eye Res. 2017;42:995–1001.
Mashima Y, Oshitari K, Imamura Y, Momoshima S, Shiga H, Oguchi Y. High-resolution magnetic resonance imaging of the intraorbital optic nerve and subarachnoid space in patients with papilledema and optic atrophy. Arch Ophthalmol. 1996;114:1197–203.
Tourbah A. Contribution of imaging to the diagnosis of optic neuropathies. Rev Neurol. 2012;168:702–5.
Iba-Zizen MT, Istoc A, Cabanis EA. The results of MRI exploration of glaucoma patients: what are the benefits? J Fr Ophtalmol. 2008;31:2S24–2S28.
DeBusk A, Subramanian PS, Scannell Bryan M, Moster ML, Calvert PC, Frohman LP. Mismatch in supply and demand for neuro-ophthalmic care. J Neuroophthalmol. 2022;42:62–67.
Frohman LP. The human resource crisis in neuro-ophthalmology. J Neuroophthalmol. 2008;28:231–4.
Celebi AR, Mirza GE. Age-related change in retinal nerve fiber layer thickness measured with spectral domain optical coherence tomography. Invest Ophthalmol Vis Sci. 2013;54:8095–103.
Parikh RS, Parikh SR, Sekhar GC, Prabakaran S, Babu JG, Thomas R. Normal age-related decay of retinal nerve fiber layer thickness. Ophthalmology. 2007;114:921–6.
Leung CK, Yu M, Weinreb RN, Ye C, Liu S, Lai G, et al. Retinal nerve fiber layer imaging with spectral-domain optical coherence tomography: a prospective analysis of age-related loss. Ophthalmology. 2012;119:731–7.
Author information
Authors and Affiliations
Contributions
RM, FL, WB, VB, NJN, MD were responsible for designing the review protocol, writing the protocol and report, conducting the search, screening potentially eligible studies, extracting and analysing data, interpreting results, updating reference lists and creating tables. AS was responsible for reviewing all MRI studies; he contributed to writing the report, extracting and analysing data. BBB conducted the statistical analyses and contributed to the design of the review protocol, and writing the report.
Corresponding author
Ethics declarations
Competing interests
No relevant conflicting relationship exists for any author. This work was supported in part by the National Institutes of Health’s National Eye Institute’s core grant P30-EY06360 (Department of Ophthalmology, Emory University School of Medicine) and by a departmental grant from Research to Prevent Blindness (New York, NY). VB is consultant for GenSight Biologics and Neuro-phoenix, and receives research support from GenSight Biologics. NJN is consultant for GenSight Biologics, Santhera/Chiesi, Stoke, Avidity, Neurophth and Neurophoenix; receives research support from GenSight Biologics and Santhera/Chiesi; is a participant in educational webinars sponsored by WebMD-Global Medscape. BBB is a consultant for Bayer. FL received a research grant from Fundación Alfonso Martín Escudero, Madrid, Spain, for clinical research in neuro-ophthalmology. WB received a scholarship from Geneva University Hospitals, Geneva, Switzerland.
Additional information
Publisher’s note Springer Nature remains neutral with regard to jurisdictional claims in published maps and institutional affiliations.
This study was presented in part at the North American Neuro-Ophthalmology Society Annual Meeting in Orlando, FL in March 2023.
Supplementary information
Rights and permissions
Springer Nature or its licensor (e.g. a society or other partner) holds exclusive rights to this article under a publishing agreement with the author(s) or other rightsholder(s); author self-archiving of the accepted manuscript version of this article is solely governed by the terms of such publishing agreement and applicable law.
About this article
Cite this article
Mosleh, R., Labella Álvarez, F., Bouthour, W. et al. Glaucoma as a cause of optic nerve abnormalities on magnetic resonance imaging. Eye 38, 1626–1632 (2024). https://doi.org/10.1038/s41433-024-02964-y
Received:
Revised:
Accepted:
Published:
Issue date:
DOI: https://doi.org/10.1038/s41433-024-02964-y