Abstract
A four-dimensional (4D) anatomical spinal reconstruction (ASR) technique and anatomical notch-free, pre-bent rods have been developed for thoracic adolescent idiopathic scoliosis (AIS) surgery. We aimed to evaluate the outcomes of ASR using notch-free rods through multiple comparisons with conventional methods, including the simultaneous double-rod rotation technique (SDRRT) and ASR using manually bent notched rods. Three consecutive series of 126 patients who underwent surgery for Lenke 1 AIS curves were prospectively followed up for 2 years after surgery. The operative time was significantly shorter in the ASR using notch-free rods group than in the other two groups (P < 0.05). The correction rate of the main thoracic (MT) curve was higher in the ASR group than in the SDRRT group (P < 0.01). Thoracic kyphosis (TK) was greater in the ASR using notch-free rods group than in the other two groups at the final follow-up (P < 0.01). The percentage of patients with a T6–T8 location of the TK apex was greater in the ASR using notch-free rods group than in the SDRRT group at the final follow-up (P < 0.01). ASR using notch-free rods created an anatomical TK, contributing to a shorter operative time and standardization of the procedure.
Similar content being viewed by others
Introduction
Current surgical techniques achieve three-dimensional (3D) deformity correction of adolescent idiopathic scoliosis (AIS)1,2,3. However, for some patients with thoracic AIS, the postoperative apex of the thoracic kyphosis (TK) is almost identical to the apex of the preoperative thoracic scoliosis, which is like a tortoise shell deformation4,5,6. This non-anatomical correction is mainly a result of the spinal rods being countered to match the shape of the scoliosis4,5,6. Although the initial configuration of the spinal rod significantly affects spinal alignment, the rod-bending procedure depends upon surgeon knowledge or experience5,7,8,9. In addition, the manual bending procedure adds notches to the rod, which decreases its mechanical properties, resulting in postoperative rod breakage or deformation, as a spring-back effect5,10,11.
The next generation of AIS surgical procedures should aim to finally correct the spine to an anatomical shape4,5,6. While the apex of TK is normally located at T6 to T8 in a healthy human population12, approximately 70% of cases of thoracic AIS do not have an identical preoperative apex of the thoracic scoliosis and TK5. In addition, approximately 33% of cases have the apex of the scoliosis at the lower thoracic spine, such as T10 and T115,6,13.
We developed a four-dimensional (4D) anatomical spinal reconstruction (ASR) technique that involves the use of spatiotemporal deformity prediction to preoperatively calculate the postoperative apex of TK to obtain an anatomically corrected spine4,5,6. Without reference to the intraoperative spinal alignment10, two rods are identically bent according to the desired postoperative anatomical TK, with the apex often anticipated to be between T6 and T84,5,6. In addition, the rod shapes applied to the technique are intraoperatively traced to identify optimized rod configurations based on the curve types and its lengths14. Thus, the anatomical notch-free, pre-bent rods are created using custom-made rigid bending fixtures, and 11 types of cobalt chrome (CoCr) alloy rods have been commercialized5,6.
We hypothesized that patients with thoracic AIS who underwent 4D ASR using notch-free, pre-bent rods would have a significantly greater anatomical TK than patients who underwent conventional 3D spinal correction using the simultaneous double-rod rotation technique (SDRRT)15. The primary objective of this study was to evaluate the radiographic and clinical results of ASR using notch-free rods 2 years after surgery. The secondary objective was to compare the surgical results of the three surgical treatments (SDRRT, ASR using notched rods and ASR using notch-free rods) in a consecutive series of patients with thoracic AIS using multiple comparison analysis.
Materials and methods
Experimental design
This study was approved by the Institutional Review Board of Hokkaido University Hospital (014–0370). All methods followed the guidelines and regulations, with informed consent from the participants and/or their guardians/parents allowing for the release of identifying information and case studies. Data from 126 consecutive patients who underwent posterior instrumentation surgery for Lenke 1 AIS curves16 were prospectively evaluated. The exclusion criteria were congenital, syndromic, and neuromuscular scoliosis; Lenke 2–6 AIS curves; and main thoracic (MT) Cobb angle ≥ 90°. The SDRRT was used from 2008 to 2013; ASR using manually bent notched rods, from 2013 to 2018; and ASR using notch-free pre-bent rods, from 2019 to 2021. Lateral and posteroanterior whole-standing spinal radiographs were assessed for multiple parameters preoperatively, 1-week post-surgery, and two years postoperatively. All patients were followed up without complications.
To ensure statistical accuracy, preoperative radiographs were used to determine the end of the vertebral levels, which were then measured on subsequent radiographs4,17. MT and thoracolumbar/lumbar (TL/L) Cobb angles were measured as coronal plane measurements. The flexibility of the preoperative curve was measured using supine bending radiographs17,18. The sagittal parameters TK (T5–T12) and lumbar lordosis LL (L1–S1) were measured. The coronal balance parameters were assessed by measuring the distance of the center sacral vertical line (CSVL) to the C7 coronal plumb line4,5. Sagittal balance was assessed by the sagittal vertical axis; the absolute displacement of the S1 posterior-superior corner to the C7 plumb line4,5. To assess translational data, the apical vertebral of the MT translation was measured as the displacement from the C7 plumb line to the geometric center of the apical vertebrae4,5. Similarly, the distance between the CSVL and the geometric center of the apical vertebrae was measured as TL/L apical vertebral translation4,5. A positive radiographic shoulder height (RSH) is determined when the left shoulder is higher than the right shoulder19,20. The location of the apex of TK was investigated in all groups at preoperative, postoperative, and final follow-up4. To determine the bone fusion, we used the criteria of Geck et al.21.
During follow-up, the SRS-22 score22,23 was used for patient-based assessments. The scores were grouped into five domains based on the questions, with each question rated on a scale of 1 to 5. The average score for each domain was used for the analysis24.
Surgical techniques
SDRRT
The procedures were carried out in accordance with the previously outlined methods15. The fusion area closely resembles the main curve, as determined through preoperative passive bending radiographs15.
After exposing the back of the spinal column, side-loading polyaxial pedicle screw (PS) instruments (USS II Polyaxial; DePuy Synthes, Raynham, MA, USA) were placed. Ultra-high molecular weight polyethylene cables (NESPLON Cable System; Alfresa Pharma, Osaka, Japan) were used to fix the laminae for pedicles with no cancellous channels. When placement of the PS was difficult owing to the narrowness of the pedicle of most cephalad vertebrae, a transverse process hook was used. Ponte osteotomy25 was only performed in patients with rigid curves. Two 6-mm diameter titanium alloy rods were bent to the anticipated TK, with the concave rod bent more than the convex rod to control the rotation deformity. After the two rods were attached to all the screw heads, the concave-side rod was gently rotated, and the convex rod automatically rotated following the rotation of the concave rod. A distraction force was applied to each screw head on the concave side of the thoracic curve, followed by the segmental application of a compression force on the convex curve.
ASR
SDRRT and ASR differ in determining instrumentation levels and performing multilevel facetectomy and rod curvature. We determined the upper instrumented vertebra (UIV) based on preoperative shoulder balance and anatomical TK. T3 was chosen as the UIV when RSH was between − 5 and 0 mm; T4 was chosen if RSH was ≤-5 mm4. In addition, T4 was selected as the UIV when TK was < 20°, and the upper-end vertebra was T5 or T64. We selected the last vertebra touching the CSVL as the lowest instrumented vertebra (LIV) when the lumbar modifier was A or B26,27. We selected L3 as the LIV for lumbar modifier C26,27.
Side-loading polyaxial PS instruments (USS II Polyaxial; DePuy Synthes, Raynham, MA) were used for manually bent notched rods; the CVS spinal system (Robert Reid, Tokyo, Japan), for notch-free, pre-bent rods. No additional bends were made in the notch-free rods. Ponte osteotomy was performed at all levels excluding the lowest instrumented segment to prevent pseudoarthrosis at this site4. When using notched rods, two 6-mm-diameter titanium alloy rods were bent to fit the postoperative anatomical TK and so that the apex of postoperative TK was between T6 and T84. The rods were split into two shapes: a single curve for the cases which LIV was L1 or above; and double curves for cases which LIV was L2 or L3. For notch-free, pre-bent rods, two 5.5-mm-diameter CoCr alloy rods were used, with single and double curves varying in 3 cm increments. The rods were rotated simultaneously after being connected to the screw heads. Distraction and compression forces were applied in the same manner as in SDRRT.
In all three techniques, local bone grafting was performed after decortication of the laminae. Intraoperative monitoring was performed using somatosensory/motor-evoked potentials. None of the patients required postoperative bracing.
Statistical analysis
All data are presented as the means ± standard deviation and range. The Kruskal–Wallis test and Steel–Dwass multiple comparison tests were used to set a significance level of 0.05 for compering radiographic data. Chi-square tests and Bonferroni post hoc analyses were used to set a significance level of 0.017 to assess sex, lumbar modifier, and change in the percentage of the TK apex. The level of significance adopted for Bonferroni post hoc analysis was derived by dividing 0.05 by 3, the latter which represents the number of tests performed for comparisons of the three groups. A paired t-test was used to set a significance level of 0.05 for comparisons between preoperative and final follow-up SRS-22 scores (two-sided) within each group. All statistical analyses were conducted using Bell Curve for Excel version 4.05 (Social Survey Research Information Co., Ltd., Tokyo, Japan).
Results
Patient demographic data
Patient demographic data are summarized in Table 1. There were no significant differences in age, sex, Risser sign, body mass index, Cobb length, estimated blood loss, follow-up period, or lumbar modifiers between the groups. The operative time was significantly shorter in the ASR (notch-free rod) group than in the SDRRT and ASR (notched rods) groups (P = 0.029 and P = 0.015, respectively). The number of instrumented vertebrae was significantly lower in the SDRRT group than in the ASR (notched rods) group and ASR (notch-free rods) groups (P = 0.008 and P = 0.019, respectively).
Radiographic findings
The coronal, sagittal, balance, translational, and shoulder balance data are shown in Table 2. The preoperative MT curve was greater in the SDRRT group than in the ASR (notched rods) group and ASR (notch-free rods) groups (P = 0.003 and P = 0.001, respectively). The MT curves in the ASR (notched rods) group and ASR (notch-free rods) groups were significantly smaller than those in the SDRRT group during the postoperative and final follow-up periods (P < 0.001 and P < 0.001, respectively). Furthermore, the final follow-up correction rate of the MT curve was greater in the ASR (notched rods) group and ASR (notch-free rods) groups than that in the SDRRT group (P < 0.001 and P < 0.001, respectively). Although the TL/L curve in the ASR (notch-free rods) group was significantly smaller than that in the SDRRT group during the preoperative and final follow-up periods (P = 0.011 and P = 0.029, respectively), the correction rate of the TL/L curve was not significantly different between the groups.
Sagittal plane analysis showed no significant differences in preoperative TK between the groups. However, postoperative and final follow-up TK was greater in the ASR (notch-free rods) group (P < 0.001 and P < 0.001, respectively) than in the SDRRT and ASR (notched rods) groups (P < 0.001 and P = 0.003, respectively) (Table 2). Translational and shoulder balance data showed no significant differences between the groups (Table 2), and pelvic parameters showed no significant differences among the groups (Table 3).
Although the preoperative percentage of patients with T6–T8 location of the TK apex was equivalent between the groups; it was significantly greater in the ASR (notch-free rods) group than in the SDRRT group at the postoperative and final follow-up time points (P < 0.006 and P < 0.004, respectively) (Fig. 1).
SRS data
The SRS scores are shown in Table 4. The SRS total score significantly improved in all groups from preoperative to final follow-up. In domain scores, self-image and satisfaction with management also significantly improved in all groups from preoperative to final follow-up. All SRS scores were comparable among the three groups at the final follow-up.
Case presentations
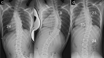
A 17-year-old girl underwent SDRRT. The MT curve was 51° (T5–L1), TK was 9°, and the apex of the MT curve was T9 preoperatively. At the final follow-up, the MT curve was 8° (T5–L1), TK was 18°, and the apex of TK was at T9 (Fig. 2).
Whole-standing spine radiographs of representative cases of thoracic adolescent idiopathic scoliosis prior to surgery and at final follow-up. A 17-year-old girl who underwent surgery using the simultaneous double-rod rotation technique (SDRRT) (A, B); a 13-year-old girl who underwent anatomical spinal reconstruction (ASR) with notched rods (C, D); and a 13-year-old girl who underwent ASR with notch-free rods (E, F).
A 13-year-old girl underwent ASR with notched rods. The MT curve was 50° (T6–L1), TK was 17°, and the apex of the MT curve was T9 in the preoperative period. The MT curve was 8° (T6–L1), the TK was 24°, and the apex of the TK was at T6 at the final follow-up (Fig. 2).
A 13-year-old girl underwent ASR with notch-free rods; the MT curve was 52° (T5–12), the TK was 12°, and the apex of the MT scoliosis was T9 in the preoperative period. The MT curve was 13° (T5–12), the TK was 30°, and the apex of the TK was at T6 at the final follow-up (Fig. 2).
Discussion
We developed a 4D ASR procedure with anatomical notch-free pre-bent rods for more anatomical spine reconstruction in the surgical treatment of patients with Lenke 1 AIS. In this study, the SDRRT and ASR procedures were compared, demonstrating that ASR was superior to SDRRT in correcting the MT curve and that ASR with notch-free rods is superior in obtaining ideal TK and shortening the operation time.
The challenge in scoliosis surgery is not only to correct the coronal plane, but also to achieve physiological TK. We have worked to improve the correction technique systematically, aiming to restore physiologically anatomical alignment of the spine in patients with AIS. ASR took over the basic principle of correction in the SDRRT technique4,6,15,28, namely, correction of the rotational deformity29,30, and enabled the formation of more physiological TK using anatomically bent rods with multilevel facetectomy4,21,31,32. However, this procedure has the limitation of using notched rods that are manually bent intraoperatively; thus, depending on the experience of established surgeons specializing in spinal deformities. Analysis of the rod geometries used in cases in which ASR surgery was performed using a cluster analysis method, notch-free anatomically pre-bent rods without notches were developed for all types and lengths of thoracic AIS curves that did not require an intraoperative bending procedure5,14. Comparing the 2-year postoperative results of SDRRT, ASR with manually bent rods, and ASR with notch-free pre-bent rods, this study showed that ASR was not only superior to SDRRT in correcting the thoracic coronal curve, but also in creating a greater TK. Furthermore, the incidence of postoperative TK apex localization at the T6–T8 spinal level was significantly higher in the ASR group than in the SDRRT group, and was significantly higher in the notch-free rod ASR group than in the notched-rod ASR group, indicating that ASR with notch-free, pre-bent rods is superior to ASR for more physiological TK formation.
An important advantage of notch-free spine rods is their superior mechanical properties11,33,34, which can be advantageous for the formation in AIS posterior corrective surgery. The manual bending procedure adds notches to the rod, which decreases its mechanical properties, resulting in postoperative rod breakage or deformation as a spring-back effect5,10,11. Solla et al.33 reported that AIS surgery using patient-specific rods resulted in a mean 14° gain in TK at 1 year postoperatively, which was equal to the mean expected gain. Jabbouri et al.34 reported that a mean TK of 27.9° was obtained in AIS surgery using patient-specific, pre-bent rods at an average of 9.7 months postoperatively, with a greater percentage of TK between 20° and 40° in the pre-bent rod group than in the manually bent rod group. However, there is a concern that the TK morphology is physiologically anatomical in both studies33,34. CoCr notch-free spinel rods used in the current study have superior mechanical properties, such as stiffness and ultimate load, compared to Ti alloy notched rods11. In our initial report, the ASR technique using notch-free, pre-bent rods yielded greater TK, incidence of T6–T8 TK apex localization, and smaller deformation angles of the rod at the concave side 1 week after the surgery5. This study further demonstrated that physiological TK was maintained up to 2 years after surgery, indicating that the notch-free rods contribute to the maintenance of TK formation without causing spring-back deformation.
Although there were differences in TK, there were no differences in radiographic global alignment or pelvic parameters, including PI-LL mismatches, among the three groups. Jabbouri et al.34 reported significantly fewer PI-LL mismatches in the early postoperative period in patients using patient-specific rods than in those using manually bent rods. Osuka et al.35 evaluated postural stability before and after surgery in a patient who underwent ASR for thoracic AIS, and reported that postural stability in the single-leg standing test was significantly better at 6 months postoperatively than that preoperatively. These results suggest that correcting the coronal curvature of the spine and forming a physiological spinal sagittal alignment can contribute to improved postural stability.
Another advantage of surgery using pre-bent rods is a decrease in operative time owing to the simplification of the procedure. In this study, the operative time was significantly shorter in the ASR notch-free rod group than in the ASR notched-rod group. In contrast, Jabbouri et al.34 reported that the operative time for AIS surgery using pre-bent rods was similar to that using manually bent rods. Although the use of pre-bent rods in adult spinal deformity surgery is expected to reduce operative time36, there are few reports on these issues; therefore, further verification is needed. In addition, shortening the operative time may contribute to a decrease in blood loss and the prevention of postoperative infection, although there were no significant differences among the three groups in this study.
The SRS questionnaire scores did not differ among the three surgical techniques used in this study. However, more physiologically anatomical TK generated by ASR in combination with the notch-free, pre-bent rods may contribute to more favorable clinical outcomes compared to the other two techniques in longer observation periods, due to avoiding non-physiologically drastic transitions of the spinal curve, including the non-instrumented mobile lumbar region. Further studies with longer follow-up periods are required to confirm this hypothesis.
This study had several limitations, among which was the difference in surgical methods, such as the range of fusion of spinal segments and osteotomy methods in each group. ASR using pre-bent rods requires multiple facetectomies to sufficiently increase segmental spinal mobility to use the anatomical shape and mechanically rigid rods, which is a limitation compared to the SDRRT technique in which facetectomies are performed only on rigid curves. Moreover, these three procedures were not performed simultaneously, but were performed separately in each period from 2008 to 2021. However, there should be no problem in comparing and evaluating the surgical outcomes of each group in the sagittal plane, including TK, which was an essential factor in this study, because the preoperative sagittal parameters are comparable among the three groups. Furthermore, this was a single-center study with a small sample size. Given that the number of samples required was three orders of magnitude for multiple comparison, we addressed the issue of the small sample size by conducting Bonferroni post hoc analyses. A final limitation relates to differences in the preoperative background. The degree of the preoperative main thoracic curve was significantly higher in the SDRRT group than in the other groups. There may accordingly have been a difference in surgical indications, such as surgery being performed at a lower angle. In addition, the percentage of the apex of TK located at T6-8 was lower in the SDRRT group compared with that in the other groups, although the difference was not statistically significant. Nevertheless, these differences may have influenced the postoperative results.
In conclusion, the ASR procedure with notch-free, pre-bent rods has been demonstrated to reconstruct a more anatomically normal spinal alignment in thoracic AIS surgery, not only correcting scoliosis, but also creating physiological TK, compared to SDRRT and ASR with manually bent, notched rods. The use of anatomical pre-bent rods in ASR surgery contributed to the standardization of the procedure and reduced the operative time because intraoperative bending was not required, and favorable spinal alignment could be maintained for 2 years after surgery because of the excellent mechanical properties of the rods. Further studies with longer follow-up periods are required to confirm this hypothesis.
Data availability
The data supporting the findings of this study are available from the corresponding author upon reasonable request.
References
Tambe, A. D. et al. Current concepts in the surgical management of adolescent idiopathic scoliosis. Bone Joint J. 100, 415–424 (2018).
Newton, P. O. et al. Preservation of thoracic kyphosis is critical to maintain lumbar lordosis in the surgical treatment of adolescent idiopathic scoliosis. Spine Phila pa 35, 1365–1370 (2010). (1976).
Lertudomphonwanit, T. et al. Periapical-dropout Screws Strategy for 3-Dimensional correction of Lenke 1 adolescent idiopathic scoliosis in patients treated by posterior spinal Fusion. Clin. Spine Surg. 32, E359–E365 (2019).
Sudo, H. et al. Impact of Multilevel Facetectomy and Rod Curvature on anatomical spinal Reconstruction in thoracic adolescent idiopathic scoliosis. Spine (Phila Pa. 1976). 43, E1135–E1142 (2018).
Sudo, H. et al. In vivo deformation of anatomically pre-bent rods in thoracic adolescent idiopathic scoliosis. Sci. Rep. 11, 12622 (2021).
Sudo, H. et al. Four-dimensional anatomical spinal Reconstruction in thoracic adolescent idiopathic scoliosis. JBJS Essent. Surg. Tech. 12, e2100038 (2022).
Salmingo, R. A. et al. Influence of implant rod curvature on sagittal correction of scoliosis deformity. Spine J. 14, 1432–1439 (2014).
Le Navéaux, F. et al. 3D rod shape changes in adolescent idiopathic scoliosis instrumentation: How much does it impact correction? Eur. Spine J. 26, 1676–1683 (2017).
Kluck, D. et al. A 3D parameter can Guide Concave Rod Contour for the correction of hypokyphosis in adolescent idiopathic scoliosis. Spine (Phila Pa. 1976). 45, E1264–E1271 (2020).
Kim, K. D. et al. Effects of pre-contoured and in situ contoured rods on the mechanical strength and durability of posterior cervical instrumentation: a finite-element analysis and scanning electron microscopy investigation. Spine Deform. 8, 569–576 (2020).
Yamada, K. et al. Mechanical Analysis of Notch-Free Pre-Bent Rods for Spinal Deformity Surgery. Spine (Phila pa 1976). 45, E312-E318 (2020).
Hasegawa, K. et al. Standing sagittal alignment of the whole axial skeleton with reference to the gravity line in humans. J. Anat. 230, 619–630 (2017).
Jiao, Y. et al. Apical region correction and global balance: a 3-rods surgical strategy for the treatment of severe and rigid scoliosis. BMC Musculoskelet. Disord. 23, 775 (2022).
Kokabu, T. et al. Identification of optimized rod shapes to guide anatomical spinal reconstruction for adolescent thoracic idiopathic scoliosis. J. Orthop. Res. 36, 3219–3224 (2018).
Ito, M. et al. Simultaneous double-rod rotation technique in posterior instrumentation surgery for correction of adolescent idiopathic scoliosis. J. Neurosurg. Spine. 12, 293–300 (2010).
Lenke, L. G. et al. The Lenke classification system of operative adolescent idiopathic scoliosis. Neurosurg. Clin. N Am. 18, 199–206 (2007).
Sudo, H. et al. Long-term outcomes of anterior dual-rod instrumentation for thoracolumbar and lumbar curves in adolescent idiopathic scoliosis: a twelve to twenty-three-year follow-up study. J. Bone Joint Surg. Am. 95, e49 (2013).
Sudo, H. et al. Surgical treatment of Lenke 1 thoracic adolescent idiopathic scoliosis with maintenance of kyphosis using the simultaneous double-rod rotation technique. Spine (Phila Pa. 1976). 39, 1163–1169 (2014).
Kuklo, T. R. et al. Correlation of radiographic, clinical, and patient assessment of shoulder balance following fusion versus nonfusion of the proximal thoracic curve in adolescent idiopathic scoliosis. Spine (Phila Pa. 1976). 27, 2013–2020 (2002).
Ke, W. et al. Evaluation of the Radiographic Risk factors of postoperative shoulder imbalance in adult scoliosis. Front. Surg. 9, 885949 (2022).
J Geck, M. et al. Comparison of surgical treatment in Lenke 5 C adolescent idiopathic scoliosis: Anterior dual rod versus posterior pedicle fixation surgery: a comparison of two practices. Spine (Phila Pa. 1976). 34, 1942–1951 (2009).
Alamrani, S. et al. Content validity of the Scoliosis Research Society questionnaire (SRS-22r): A qualitative concept elicitation study. PloS One. 18, e0285538 (2023).
Tsirikos, A. I. et al. Long-term health-related quality of life (QOL) after paediatric spinal deformity surgery and comparison with the General Population. J. Clin. Med. 12, 7142 (2023).
Lubicky, J. P. et al. Instrumentation constructs in pediatric patients undergoing deformity correction correlated with Scoliosis Research Society scores. Spine (Phila Pa. 1976). 36, 1692–1700 (2011).
Gottlich, C. et al. Ponte Osteotomy in Pediatric spine surgery. JBJS Essent. Surg. Tech. 10, e1900001 (2020).
Kim, Y. J. & Lenke, L. G. Posterior surgery for thoracic scoliosis. in Spinal Deformities: The Essentials (eds Heary, R. F. & Albert, T. J.) 154–170 (Thieme Medical, (2007).
Matsumoto, M. et al. Postoperative distal adding-on and related factors in Lenke type 1A curve. Spine (Phila Pa. 1976). 38, 737–744 (2013).
Sudo, H. et al. Correlation analysis between change in thoracic kyphosis and multilevel facetectomy and screw density in main thoracic adolescent idiopathic scoliosis surgery. Spine J. 16, 1049–1054 (2016).
Karam, M. et al. Global malalignment in adolescent idiopathic scoliosis: The axial deformity is the main driver. Eur. Spine J. 31, 2326–2338 (2022).
Castelein, R. M. et al. Idiopathic scoliosis as a rotatory decompensation of the spine. J. Bone Min. Res. 35, 1850–1857 (2020).
Marya, S. et al. Correction of thoracic hypokyphosis in adolescent scoliosis using patient-specific Rod Templating. Healthc. (Basel). 11, 980 (2023).
Fletcher, N. D. et al. Residual thoracic hypokyphosis after posterior spinal fusion and instrumentation in adolescent idiopathic scoliosis: Risk factors and clinical ramifications. Spine (Phila pa 37, 200–206 (2012). (1976).
Solla, F. et al. Patient-specific rods for thoracic kyphosis correction in adolescent idiopathic scoliosis surgery: Preliminary results. Orthop. Traumatol. Surg. Res. 106, 159–165 (2020).
Jabbouri, S. S. et al. Pre-contoured patient-specific rods result in superior immediate sagittal plane alignment than surgeon contoured rods in adolescent idiopathic scoliosis. J. Spine Surg. 10, 177–189 (2024).
Osuka, S. et al. Effects of posterior spinal correction and fusion on postural stability in patients with adolescent idiopathic scoliosis. J. Clin. Med. 12, 270 (2022).
Solla, F. et al. Patient-specific rods for surgical correction of sagittal imbalance in adults: Technical aspects and preliminary results. Clin. Spine Surg. 32, 80–86 (2019).
Author information
Authors and Affiliations
Contributions
K.Y. and H.S. conceived and designed the study. A.F., T.O., T.K., Y.A., H. T., K.Y., and H.S. performed the experiments. A.F., T. O., K. Y., and H.S. analyzed the results. T.E., D. U., and N.I. contributed to discussions throughout the study. A. F., T. O., K. Y., and H.S. wrote the manuscript. H. S. edited the manuscript. All the authors have read and approved the final submitted manuscript.
Corresponding authors
Ethics declarations
Competing interests
The authors declare no competing interests.
Additional information
Publisher’s note
Springer Nature remains neutral with regard to jurisdictional claims in published maps and institutional affiliations.
Rights and permissions
Open Access This article is licensed under a Creative Commons Attribution-NonCommercial-NoDerivatives 4.0 International License, which permits any non-commercial use, sharing, distribution and reproduction in any medium or format, as long as you give appropriate credit to the original author(s) and the source, provide a link to the Creative Commons licence, and indicate if you modified the licensed material. You do not have permission under this licence to share adapted material derived from this article or parts of it. The images or other third party material in this article are included in the article’s Creative Commons licence, unless indicated otherwise in a credit line to the material. If material is not included in the article’s Creative Commons licence and your intended use is not permitted by statutory regulation or exceeds the permitted use, you will need to obtain permission directly from the copyright holder. To view a copy of this licence, visit http://creativecommons.org/licenses/by-nc-nd/4.0/.
About this article
Cite this article
Fukushima, A., Ohnishi, T., Kokabu, T. et al. Four-dimensional anatomical spinal reconstruction using pre-bent rods in thoracic adolescent idiopathic scoliosis. Sci Rep 15, 378 (2025). https://doi.org/10.1038/s41598-024-84578-8
Received:
Accepted:
Published:
Version of record:
DOI: https://doi.org/10.1038/s41598-024-84578-8




