Abstract
This is a case report and review of literature with the objective report of the case of a young man with physical disability following a traumatic spinal cord injury (SCI) who was later newly diagnosed with multiple sclerosis (MS) in an inpatient SCI rehabilitation center. (Barcelona, Spain). A 24-year-old male sustained a traumatic spinal cord lesion (T9 AIS A) as the result of a motorcycle accident. He completed his rehabilitation process without complications and returned to the community having adjusted to his new disability. Two and a half years after his initial injury, he attended the clinic after experiencing 2 months of paresthesias in his left hand, progressing to his right upper limb, and difficulty with fine hand movements. An magnetic resonance imaging (MRI) was arranged and although post-traumatic syringomyelia was ruled out, demyelinating areas in the cervical spinal cord were found. A brain MRI revealed multiple demyelinating lesions suggestive of MS. The diagnosis of MS was confirmed by a neurologist and treatment was started with daily doses of glatiramer acetate. At this time the patient was still independent in transfers, activities of daily living and wheelchair management. In young patients with SCI, adequate follow-up is important to detect subsequent complications that may lead to clinical and functional deterioration with a view to uncommon causes such as MS.
Similar content being viewed by others
Spinal cord injury (SCI) is a devastating disease that leads to severe functional impairment and psychosocial problems. In Spain, the incidence of traumatic SCI is 23.5 per million with motor vehicle accidents being the most common etiology. SCI is most likely to occur in adults younger than 30, with a male-to-female ratio of 4:1. Similarly, multiple sclerosis (MS) is the most common cause of neurological disability in young adults, with an estimated incidence of <5/100.000. We present a case of a young man with physical disability secondary to traumatic spinal cord lesion who was subsequently newly diagnosed with MS.
A 24-year-old male subject sustained a spinal cord transection due to a T8–T9 fracture-luxation following a motorcycle accident (Figure 1). Classified as T9 AIS A, he was managed according to NASCIS II protocol and received surgical stabilization of his spine. A rigid thoracolumbar orthosis was prescribed and he was transferred to our SCI unit for intensive rehabilitation. He completed his rehabilitation process without any medical complications. There was no change in his neurological status and at the time of discharge he was independent in transfers, activities of daily living and wheelchair use. He managed his bladder with intermittent catheterization and had a regular bowel program. He was also involved in a regular physical activity program including standing in KAFOs. We could say that he experienced a good rehabilitation process and was back in the community adjusted to his new disability.
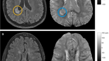
He attended the clinic for routine checkups. Two and a half years after his initial injury, he appeared at the SCI clinic complaining of having suffered paresthesias for 2 months, beginning in his left hand and progressing to his right shoulder, arm and hand. He also had difficulty with fine movements of the first and second finger of the right hand. At that time we were concerned about the possibility of post-traumatic syringomyelia and an magnetic resonance imaging (MRI) of his cervical and dorsal spine was arranged. The MRI revealed no signs of syringomyelia but identified demyelinating areas at the cervical level of the spinal cord. A contrast study was then completed that revealed three instances of demyelinating focus between C1 and C6 and one area of active inflammation at C2–C3 (Figure 2). A brain MRI revealed multiple demyelinating lesions, some of which are enhanced by Gadolinium, suggestive of MS (Figure 3). A lumbar puncture was performed, demonstrating the presence of oligoclonal bands in the cerebrospinal fluid. The diagnosis of MS was confirmed by a neurologist and treatment was started with glatiramer acetate administered daily. The initial symptoms disappeared and only a light paresthesia in the right hand persisted. Two years later he has no new symptoms and continues with the same medication and good tolerance. The patient is currently still independent in transfers, activities of daily living and wheelchair management.
In a traumatic SCI subject with late neurological deterioration, we initially suspected post-traumatic syringomyelia. The MRI ruled out this diagnosis, but revealed MS which is one of the most significant non-traumatic causes of neurological impairment in young people.
MS is an inflammatory demyelinating disease of the central nervous system with a wide range of neurological symptoms and accumulating disability1 which results from complex interactions between susceptibility genes and environmental factors.2 Some authors have proposed a causal link between physical trauma, especially head trauma and spinal trauma (Kang and Lin3) and the development or exacerbation of MS symptoms.3 Others hypothesize that physical trauma, particularly involving the spinal cord and/or the brain may cause a disruption in the blood–brain barrier, which in turn could lead to the development of MS plaques in those who are genetically at risk of developing the disease. Others note the high frequency of blood–brain barrier breakdown in MS patients without preceding trauma and the fact that many experience trauma and do not develop MS. This leads them to conclude that the association is purely coincidental rather than causal.2
However, a review of the literature by Goodin et al.5 and Goldacre et al.4 found no significant association between physical trauma and MS overall, based on consistent class II evidence.
Adequate follow-up is needed to detect late complications that may produce clinical and functional deterioration. In young patients with chronic SCI and neurological deterioration, a complete work-up is important to rule out important complications such as post-traumatic syringomyelia, with a view to other uncommon causes such as MS.
References
Leary SM, Porter B, Thompson AJ . Multiple sclerosis: diagnosis and the management of acute relapses. Postgrad Med J 2005; 81: 302–308.
Lunny CA, Fraser SN, Knopp-Sihota JA . Physical trauma and risk of multiple sclerosis: a systematic review and meta-analysis of observational studies. J Neurol Sci 2014; 336: 13–23.
Kang JH, Lin HC . Increased risk of multiple sclerosis after traumatic brain injury: a nationwide population-based study. J Neurotrauma 2012; 29: 90–95.
Goldacre MJ, Abisgold JD, Yeates DG, Seagroatt V . Risk of multiple sclerosis after head injury: record linkage study. J Neurol Neurosurg Psychiatry 2006; 77: 351–353.
Goodin DS, Ebers GC, Johnson KP, Rodriguez M, Sibley WA, Wolinsky JS . The relationship of MS to physical trauma and psychological stress: report of the Therapeutics and Technology Assessment Subcommittee of the American Academy of Neurology. Neurology 1999; 52: 1737–1745.
Author information
Authors and Affiliations
Corresponding author
Ethics declarations
Competing interests
The authors declare no conflict of interest.
Rights and permissions
About this article
Cite this article
Salinas-González, R., Rodríguez-Sánchez, L., Pelayo-Vergara, R. et al. Multiple sclerosis following a spinal cord injury: a rare and unfortunate case. Spinal Cord Ser Cases 2, 15027 (2016). https://doi.org/10.1038/scsandc.2015.27
Received:
Accepted:
Published:
DOI: https://doi.org/10.1038/scsandc.2015.27