Skip to main content
Thank you for visiting nature.com. You are using a browser version with limited support for CSS. To obtain
the best experience, we recommend you use a more up to date browser (or turn off compatibility mode in
Internet Explorer). In the meantime, to ensure continued support, we are displaying the site without styles
and JavaScript.
Brief Communications in 2022
Filter By:
Article Type
All
Brief Communication (37)
Wei Han Ong Jennifer Hind David Lockington
Brief Communication 10 Dec 2022
Ella Preston Robin D. Hamilton Omar A. Mahroo
Brief Communication Open Access 10 Dec 2022
Catherine McNicholl Arran Gill Denize Atan
Brief Communication Open Access 28 Nov 2022
Omar A. Mahroo Wen Xing Declan Flanagan
Brief Communication Open Access 05 Nov 2022
Brief Communication Open Access 26 Oct 2022
Rodrigo Anguita Louisa Wickham
Brief Communication 26 Oct 2022
Rita Prajapati Alan Salada Seema Anand
Brief Communication 19 Oct 2022
James Coventon Lauren Gomes Shuan Dai
Brief Communication 06 Oct 2022
Boon Lin Teh Mohaimen Al-Zubaidy Sandro Di Simplicio
Brief Communication 01 Oct 2022
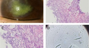
Andres Serrano Angela Gomez-Bedoya Alfonso L. Sabater
Brief Communication 12 Sept 2022
Naoko Kato Toshiki Shimizu Kazuno Negishi
Brief Communication 29 Aug 2022
Ravi Purohit Sohaib R. Rufai Tim P. Lawrence
Brief Communication Open Access 29 Aug 2022
Brief Communication 20 Aug 2022
Vannarut Satitpitakul Patraramon Chotikkakamthorn Usanee Reinprayoon
Brief Communication 20 Aug 2022
Lanxing Fu Emma J. Hollick
Brief Communication 01 Aug 2022
S. R. Rufai J. D. Blum J. W. Swanson
Brief Communication 01 Jul 2022
Hannaa Bobat Guy Hunter Jonathan Lochhead
Brief Communication 30 Jun 2022
Jean-Pierre Jeannon Jack Faulkner Asit Arora
Brief Communication 22 Jun 2022
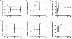
Rodrigo Anguita Magdalene Yin Lin Ting David G. Charteris
Brief Communication 25 May 2022
Osman Younus Matthew Gillam Julie Connolly
Brief Communication 14 May 2022