Skip to main content

Thank you for visiting nature.com. You are using a browser version with limited support for CSS. To obtain the best experience, we recommend you use a more up to date browser (or turn off compatibility mode in Internet Explorer). In the meantime, to ensure continued support, we are displaying the site without styles and JavaScript.

Technical Reports

Filter By:

  • The authors present a workflow that allows the simultaneous measurement of the whole exome and the transcriptome by next-generation sequencing from formalin-fixed paraffin-embedded tissue sections that were analyzed by matrix-assisted laser desorption ionization mass spectrometry imaging. The data and analyses demonstrate the feasibility and reproducibility of this approach, which expands the possibilities of multi-omics integration in cancer research.

    • Lisa Kreutzer
    • Peter Weber
    • Kristian Unger
    Technical ReportOpen Access
  • Siglec-15 is normally expressed by myeloid cells and upregulated in some human cancers and represents a promising new target for immunotherapy. The aim of this study was to develop an immunohistochemical assay for Siglec-15 to be used as a companion diagnostic for future clinical trials. Here, the authors created and validated an assay with a novel recombinant antibody to the cytoplasmic domain of Siglec-15. This study may support development of a companion diagnostic assay to enrich for patients expressing the Siglec-15 target for therapy.

    • Saba Shafi
    • Thazin Nwe Aung
    • David L. Rimm
    Technical Report
  • Multiplexed ion beam imaging by time-of-flight (MIBI-TOF) uses secondary ion mass spectrometry to image dozens of proteins simultaneously in the same tissue section. The authors undertook a validation study, assessing concordance across serial sections of a tissue microarray that were independently imaged by MIBI-TOF or single-plex immunohistochemistry. They demonstrate that MIBI-TOF can generate consistent and quantitative annotations of clinically relevant cell states in archival human tissue and present a scalable framework for benchmarking multiplexed immunohistochemical approaches.

    • Candace C. Liu
    • Marc Bosse
    • Michael Angelo
    Technical Report
  • Soft tissue sarcomas are rare and aggressive neoplasms with limited models for laboratory-based studies. This study established eight models of soft tissue sarcomas, three malignant peripheral nerve sheath tumors, four undifferentiated pleomorphic sarcomas, and one unclassified spindle cell sarcoma. The new sarcoma cell lines are tools to elucidate molecular aberrations and improve treatment options for these difficult-to-treat sarcomas.

    • Angela D. Bhalla
    • Sharon M. Landers
    • Keila E. Torres
    Technical Report
  • Autosomal dominant polycystic kidney disease (ADPKD) is a genetic disorder characterized by the formation of cysts within the kidneys. The authors generated PKD1 heterozygous knockout (PKD1insG/+) pigs by CRISPR-Cas9 and somatic cell cloning techniques. The founder cloned animals and progeny showed the renal cyst formation from the neonatal stage, interstitial fibrosis of the renal tissue, and the presence of a premature asymptomatic stage. Their findings demonstrate that PKD1insG/+ pigs recapitulate the characteristic symptoms of ADPKD.

    • Masahito Watanabe
    • Kazuhiro Umeyama
    • Hiroshi Nagashima
    Technical ReportOpen Access
  • The authors synthesized formalin-fixed paraffin-embedded (FFPE)-like images (“virtual FFPE”) from frozen (FF) section samples. Five board-certified pathologists evaluated the results in a blinded test. Clinical assessments of disease on the virtual FFPE images showed a higher inter-observer agreement compared to FF images. These findings suggest that virtual FFPE images can increase the quality and speed of histopathologic examinations without adding to cost or effort.

    • Kianoush Falahkheirkhah
    • Tao Guo
    • Rohit Bhargava
    Technical Report
  • Conventional histological and cytological stains, including hematoxylin & eosin and Papanicolaou, are combined with immunohistochemistry and simultaneously evaluated on the same specimen slide by use of invisible chromogens. Visible and invisible light used to illuminate the specimen are separated and directed to color and monochrome cameras, respectively, providing conventional stain and immunohistochemistry in side-by-side videos on the computer monitor. Alternatively, multispectral imaging of single microscope fields provides archiving and further evaluation utilizing image processing.

    • Larry E. Morrison
    • Mark R. Lefever
    • Daniel R. Bauer
    Technical ReportOpen Access
  • Rare tumors, such as mesenchymal chondrosarcoma (MCS) lack effective treatments partly due to unavailability of research models. The authors developed novel in vitro and in vivo MCS models and validated them at the single-cell RNA level. MCS dependencies were identified and coupled with clinically available therapies. Imatinib showed the highest selectivity and cytotoxicity in both models.

    • Polona Safaric Tepes
    • Danilo Segovia
    • Raffaella Sordella
    Technical Report
  • Understanding of endothelial functions would be accelerated by methods for the specific isolation of these cells from archived human specimens. Here, the authors use the endothelial transcription factor Erg to isolate nuclei from mouse and human tissues, paving the way for high-throughput characterization of the function of endothelium in homeostasis and disease.

    • Amy L. Kimble
    • Jordan Silva
    • Patrick A. Murphy
    Technical ReportOpen Access
  • This study describes the characterization of a human endometrial epithelial cell line, hEM3. hEM3 is not transformed, can grow organoids, and does not harbor pathogenic mutations in genes involving DNA mismatch repair (MMR). hEM3 with ARID1A knockout has been generated for drug screening in an ARID1A-deficient and MMR-proficient context. In conclusion, hEM3 can be a model for studying endometrial pathogenesis.

    • Youngran Park
    • Jin-Gyoung Jung
    • Tian-Li Wang
    Technical Report
  • The authors describe quantitatively and qualitatively different forms of experimental autoimmune encephalitis (EAE) in cynomolgus macaques. They found that bacterial contaminants within recombinant human myelin oligodendrocyte glycoprotein seemed to aggravate disease evolution. They provide anatomopathological features of fulminant and progressive forms of EAE, allowing them to distinguish specific factors influencing the evolution of this model of autoimmune demyelinating disease.

    • Lev Stimmer
    • Joachim Confais
    • Ché Serguera
    Technical Report
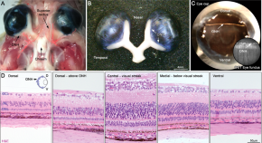
  • This study characterizes the composition of the retinal ganglion cell (RGC) layer and the distribution of RGCs in the cone-dominant ground squirrel retina. The RGC density and the anatomical features of axon-astrocyte interaction in the ground squirrel resemble primates, rendering it an excellent alternative model for RGC neurodegeneration and neuroprotection.

    • Xuan Xiao
    • Tantai Zhao
    • Francisco M. Nadal-Nicolás
    Technical Report
  • The authors developed AccuCor2 as the first resolution-dependent method for accurate isotope natural abundance correction of experimental data generated from dual-isotope tracers. They show that such correction requires a minimum resolution to resolve tracer isotopologues. AccuCor2 showed improved accuracy more than previously developed tools, which assume infinite resolution of the instrument.

    • Yujue Wang
    • Lance R. Parsons
    • Xiaoyang Su
    Technical Report
  • New diagnostic strategies are needed to distinguish rarely arising urachal adenocarcinomas (UrC) from other types of adenocarcinomas, as therapy regimes differ. In situ metabolic differences between UrC and colorectal adenocarcinomas were revealed using mass spectrometry imaging combined with digital pathology. A classification accuracy of 87% was achieved, exceeding currently available approaches.

    • Judith Martha Neumann
    • Karsten Niehaus
    • Henning Reis
    Technical ReportOpen Access
  • Using a mouse model of fatty liver and correlation with histopathologic and biochemical parameters, the authors show that hepatic steatosis can be accurately assessed by surface color spectrophotometry using a portable, commercially available, hand-held spectrophotometer device. This technique could be useful in the setting of organ procurement.

    • K. S. Kanamori
    • M. G. Tarragó
    • R. K. Moreira
    Technical Report
  • The authors extensively defined feline low-grade intestinal T-cell lymphoma on the clinical, laboratory, radiological, histologic and molecular levels and demonstrated it is a relevant model for human T-cell lymphoproliferative disorder of the gastrointestinal tract, a rare and poorly described entity. Based on these findings, the group also proposed a new model of digestive T-cell lymphomagenesis.

    • Valérie Freiche
    • Nathalie Cordonnier
    • Lucile Couronné
    Technical Report
  • The breast cancer immune microenvironment was analyzed with the nanoString GeoMx® Digital Spatial Profiler (DSP) in cases from the Carolina Breast Cancer Study. Basal-like breast cancers showed increased expression of markers for regulatory T cells. The results were highly reproducible between whole sections and tissue microarrays.

    • Andrea Walens
    • Linnea T. Olsson
    • Benjamin C. Calhoun
    Technical Report
  • The authors developed a deep-learning-based ductal carcinoma in situ (DCIS) grading system that achieved performance similar to expert observers. To the best of our knowledge, this is the first automated system for the grading of DCIS that could assist pathologists by providing robust and reproducible second opinions on DCIS grade.

    • Suzanne C. Wetstein
    • Nikolas Stathonikos
    • Mitko Veta
    Technical ReportOpen Access
  • The authors report the successful assessment of LD-RT-PCR, a cheap, fast, sensitive, specific, and easily upgradable assay for routine detection of theranostic gene translocations and MET exon 14 skipping in thoracic oncology. It appears to be an excellent cost-effective alternative to FISH and to more expensive and complex assays such as RNA-seq.

    • Nicolas Piton
    • Marie-Delphine Lanic
    • Philippe Ruminy
    Technical Report
  • Tissue cytometry is a promising new microscopy technique that can be used to enumerate and characterize each cell in a tissue. Here the authors describe a complete and accessible pipeline, including methods of sample preparation, microscopy, image analysis, and data analysis for large-scale three-dimensional tissue cytometry of human kidney tissues.

    • Michael J. Ferkowicz
    • Seth Winfree
    • Francis Perry Wilson
    Technical Report

Search

Quick links