Skip to main content

Thank you for visiting nature.com. You are using a browser version with limited support for CSS. To obtain the best experience, we recommend you use a more up to date browser (or turn off compatibility mode in Internet Explorer). In the meantime, to ensure continued support, we are displaying the site without styles and JavaScript.

Case Study

Filter By:

Article Type
  • Professor Stephen Westaby and colleagues describe the case of a patient who presented with cardiogenic shock that swiftly deteriorated to severe heart failure. CT revealed a large adrenal tumor that was subsequently indentified as pheochromocytoma. After the tumor was removed, the patient underwent left ventricular assist device implantation as a bridge to left ventricular recovery.

    • Stephen Westaby
    • Ashwin Shahir
    • Oliver Ormerod
    Case Study
  • Lindsay et al. present an interesting case of a patient with a ruptured sinus of Valsalva aneurysm. The authors recommend the early use of imaging modalities for prompt diagnosis, as anticoagulation therapy might have detrimental effects on patient outcome. Reparative surgery is safe and successful in almost all noninfective cases.

    • Alistair C. Lindsay
    • Balakrishnan Mahesh
    • Miles C. D. Dalby
    Case Study
  • Ramcharitar et al. describe the first case treated in the SECRITT I trial. The 63-year-old man presented with class II anginal symptoms and was diagnosed as having a culprit lesion in the left circumflex artery and a vulnerable plaque in the left anterior descending artery. The vulnerable plaque was treated with a self-expanding stent tailored to shield this type of plaque.

    • Steve Ramcharitar
    • Nieves Gonzalo
    • Patrick W. Serruys
    Case Study
  • In this month's Case Study, Versaci and colleagues present a case of congenital coronary artery fistula originating from the left anterior coronary artery and draining into right ventricle, in conjunction with an aneurysm of the left anterior descending artery. The high risk of rupture lead the authors to close the fistula surgically using normothermic cardiopulmonary bypass.

    • Francesco Versaci
    • Costantino Del Giudice
    • Luigi Chiariello
    Case Study
  • Treatment of patients with amyloidosis is centered on reducing the supply of the respective amyloid fibril precursor protein. This Case Study describes a patient with cardiac acquired monoclonal immunoglobulin-light-chain amyloidosis, who also has an incidental amyloidogenic transthyretin Val122Ile mutation, and illustrates the crucial need to characterize the presence, extent and—most importantly—fibril type of amyloid deposits in patients with amyloidosis.

    • Ashutosh D Wechalekar
    • Mark Offer
    • Helen J Lachmann
    Case Study
  • Ramcharitar and colleagues present an interesting case of a patient with drug-refractory hypertrophic obstructive cardiomyopathy and NYHA class II–III heart failure who was treated with septal coil embolization. This article demonstrates, for the first time, the acute changes in hemodynamics that occur following septal coil embolization, and shows that this treatment is a viable alternative to percutaneous coronary intervention.

    • Steve Ramcharitar
    • Emanuele Meliga
    • Patrick W Serruys
    Case Study
  • Several chemotherapeutic agents, including newer drugs, can have toxic cardiac effects. In this month's Case Study, To and colleagues present their patient who had capecitabine-induced cardiogenic shock. They examine the best course of action for this serious complication of chemotherapy.

    • Andrew CY To
    • Khang Li Looi
    • Harvey D White
    Case Study
  • Device infection is devastating in individuals with permanent pacemakers or implantable cardioverter-defibrillators. In this month's Case Study, Simon and colleagues present a patient who had a duel pacemaker lead infection and tricuspid valve endocarditis. They examine the best course of action for this serious complication.

    • Caterina Simon
    • Fabio Capuano
    • Riccardo Sinatra
    Case Study
  • Clozapine is an atypical antipsychotic drug which has been linked to the development of cardiovascular side-effects. Here, Azzam et al. describe a 42-year-old male with refractory schizophrenia who presented with severe dilated cardiomyopathy, which was thought to have been caused by clozapine therapy.

    • Badira Makhoul
    • Irit Hochberg
    • Zaher S Azzam
    Case Study
  • Congenital heart defects can remain undiagnosed until adulthood. In this Case Study, Alegriaet al. describe a 20-year-old male presenting with systemic hypertension who was found to have coarctation of the aorta, a bicuspid aortic valve, an ascending aortic aneurysm and an atrial septal defect. He was successfully treated in a single surgical procedure.

    • Jorge R Alegria
    • Harold M Burkhart
    • Heidi M Connolly
    Case Study
  • In this month's Case Study, Cha and colleagues present a 51-year-old male patient referred for consideration for heart transplantation because of recently diagnosed congestive heart failure refractory to medical therapy. He was diagnosed with cardiomyopathy resulting from pulmonary vein tachycardia, which was treated with catheter-based radiofrequency ablation of pulmonary vein tachycardia focus.

    • Xiao-Ke Liu
    • Bernard J Gersh
    • Yong-Mei Cha
    Case Study
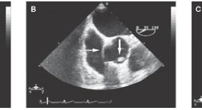
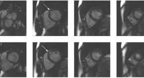
  • In this month's Case Study, De Visser and colleagues present a 75-year-old male patient with a recent history of transient ischemic attack who underwent routine cardiological evaluation before a cystectomy. He was found to have coronary artery disease and an aortic valve papillary fibroelastoma—a rare, benign cardiac tumor. Multislice CT was successfully used to visualize the tumor and coronary arteries, before the patient underwent surgical excision of the tumor and an end-to-side anastomosis of the left internal mammary artery and the left anterior descending coronary artery.

    • Randall N de Visser
    • Carlos van Mieghem
    • Tjebbe W Galema
    Case Study
  • Premature ventricular complexes are a common form of arrhythmia and are typically considered to be benign. In this month's Case Study, however, Ezzat and colleagues present a patient with dilated cardiomyopathy which was postulated to be caused by premature ventricular complexes arising from the right ventricular outflow tract. She was successfully treated by electrophysiological mapping and cryoablation of the ectopic focus.

    • Vivienne A Ezzat
    • Reginald Liew
    • David E Ward
    Case Study
  • A definitive diagnosis of cardiac sarcoidosis relies on the results of endomyocardial biopsy. In this Case Study Greif et al. describe a patient whose biopsy was negative for sarcoidosis—leading to a diagnosis of arrhythmogenic right ventricular dysplasia/cardiomyopathy. Sarcoidosis was only revealed after the patient had progressed to end-stage heart failure and undergone cardiac transplantation several years later.

    • Martin Greif
    • Paraskevi Petrakopoulou
    • Gerhard Steinbeck
    Case Study
  • In this month's Case Study, Kataoka and colleagues report a patient who experienced three episodes of syncope over the course of 2 years. Electrocardiography and 24h Holter monitoring revealed occasional premature ventricular complexes arising from the right ventricular outflow tract which, on a subsequent occasion, triggered an arrhythmic episode that degenerated into ventricular fibrillation. She was treated with radiofrequency catheter ablation and was fitted with an implantable cardioverter-defibrillator.

    • Masaharu Kataoka
    • Seiji Takatsuki
    • Hideo Mitamura
    Case Study

Search

Quick links