Thank you for visiting nature.com. You are using a browser version with limited support for CSS. To obtain
the best experience, we recommend you use a more up to date browser (or turn off compatibility mode in
Internet Explorer). In the meantime, to ensure continued support, we are displaying the site without styles
and JavaScript.
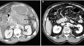
This article highlights two cases of massive lower gastrointestinal bleeding in patients on dialysis after rejection of kidney–pancreas transplants. One patient did not have the transplanted organ removed and eventually exsanguinated, while the second patient, whose rejected pancreas was removed, survived complications and did well. The cases illustrate that arterio-enteric bleeding should be included in the differential diagnosis of patients with rejected pancreatic transplants.