Skip to main content

Thank you for visiting nature.com. You are using a browser version with limited support for CSS. To obtain the best experience, we recommend you use a more up to date browser (or turn off compatibility mode in Internet Explorer). In the meantime, to ensure continued support, we are displaying the site without styles and JavaScript.

Science and Society

Filter By:

Article Type
Year
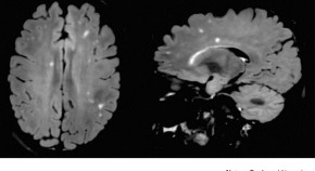
  • The benefits of early treatment for multiple sclerosis (MS) place pressure on physicians to make the diagnosis early, thereby increasing the risk of misdiagnosis, which can have considerable consequences for patients and health-care systems. Solomon and Corboy examine the problem of MS misdiagnosis, including the probable causes and associated risks, and discuss how the tension between early diagnosis and misdiagnosis might be addressed.

    • Andrew J. Solomon
    • John R. Corboy
    Science and Society
  • Although the concept of brain death is widely accepted, some people perceive it to be tantamount to a legal fiction and believe that only cardiopulmonary death is true death. To explore contemporary controversies in brain death determination, Lewis and Greer highlight a selection of recent cases in which the core concepts of brain death were questioned.

    • Ariane Lewis
    • David Greer
    Science and Society
  • In this Perspectives article, Espay and colleagues argue that that the adoption of precision medicine in Parkinson disease will require a revision of biomarker development efforts, with the ultimate goal of testing putative disease-modifying interventions in well-defined disease subgroups.

    • Alberto J. Espay
    • Patrik Brundin
    • Anthony E. Lang
    Science and Society

Search

Quick links