Thank you for visiting nature.com. You are using a browser version with limited support for CSS. To obtain
the best experience, we recommend you use a more up to date browser (or turn off compatibility mode in
Internet Explorer). In the meantime, to ensure continued support, we are displaying the site without styles
and JavaScript.
In this Case Study, the authors describe a patient presenting with metastatic bladder adenocarcinoma with intestinal metaplasia. Owing to the tumor's histologic similarities with colorectal cancer, the patient was treated with a FOLFOX chemotherapy regimen.
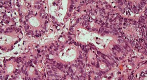
This Case Study describes the management of a patient with a fumarate hydratase (FH)-deficient type-2 papillary renal cell carcinoma. On the basis of results fromin vitro experiments, the authors decided to treat the patient with the glycolytic inhibitor 2DG (2-deoxy-D-glucose), a new anticancer drug that is currently in clinical development.