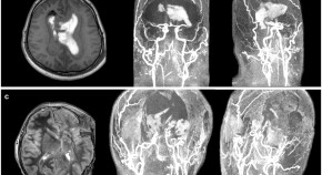
Dolichoectasia is a condition that causes dilatation and/or tortuosity of both intracranial and extracranial arteries. Intracranial dolichoectasia can be asymptomatic or manifest with compressive and/or vascular symptoms, such as cranial neuropathies or hemorrhagic stroke. In this article, Gutierrez et al. provide a review of the existing dolichoectasia literature and identify gaps in our knowledge to aid future research.
- Jose Gutierrez
- Ralph L. Sacco
- Clinton B. Wright