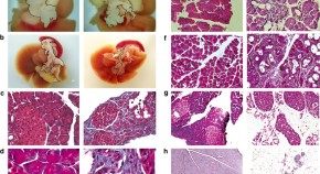
Ciliopathies are caused by alterations in the development and function of cilia. Now Jeffrey Martens and his colleagues demonstrate anatomic and functional rescue of cilia development in mature, differentiated neurons by adenovirus-mediated restoration of expression of the wild-type protein intraflagellar transport protein 88 (Ift88) and show restoration of olfactory function in a mouse model of ciliopathy. A loss-of-function mutation in IFT88 is also identified in individuals with ciliopathies.
- Jeremy C McIntyre
- Erica E Davis
- Jeffrey R Martens