Filter By:

Journal Check one or more journals to show results from those journals only.

Choose more journals

Article type Check one or more article types to show results from those article types only.
Subject Check one or more subjects to show results from those subjects only.
Date Choose a date option to show results from those dates only.

Custom date range

Clear all filters
Sort by:
Showing 1–3 of 3 results
Advanced filters: Author: Frank Küttner Clear advanced filters
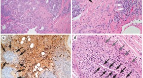
  • IgG4-related disease can affect any organ system, including the kidney. Renal involvement is an indication for prompt treatment, owing to an increased risk of chronic kidney disease. In this Review, Frank Cortazar and John Stone provide an overview of systemic IgG4-related disease before describing in detail the renal manifestations of IgG4-related tubulointerstitial nephritis and membranous glomerulonephropathy secondary to IgG4-related disease. They consider the pathophysiology, as well as current and future treatment options.

    • Frank B. Cortazar
    • John H. Stone
    Reviews
    Nature Reviews Nephrology
    Volume: 11, P: 599-609