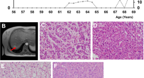
Glycogen storage disease type IX (GSD IX), the most common form of GSD, is caused by a defect in phosphorylase kinase (PhK). We describe the case of a female patient with GSD IXc harboring a homozygous mutation in PHKG2 (NM_000294.3; PHKG2 (c.280_282delATC (p. I94del)) definitively diagnosed using the GSD gene panel. She presented with hypoglycemia, hepatomegaly, and short stature and died of cirrhosis and recurrent multiple hepatocellular adenoma at the age of 69 years and 11 months.
- Jun Kido
- Hiroshi Mitsubuchi
- Kimitoshi Nakamura