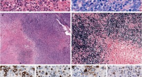
This Case Study discusses a 39-year-old man who initially presented with a 2-month history of abdominal pain, jaundice, non-bloody diarrhea, weakness and weight loss. Vanishing bile duct syndrome and IBD, type unclassified, were diagnosed. Budesonide therapy improved the patient's symptoms, but they worsened several months later. Repeat evaluation revealed extensive lymphadenopathy and an elevated white blood cell count, and Hodgkin's lymphoma was diagnosed.
- Anthony T DeBenedet
- Carl L Berg
- Patrick G Northup