Abstract
OBJECTIVE: In the current study, we addressed the question if there is depot-specific expression of cellular inhibitor of apoptosis protein-2 (cIAP2) already in childhood and if the relative expression changes with age in parallel with increasing risk of developing visceral adiposity.
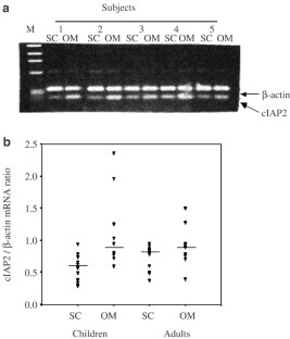
SUBJECTS: Paired samples of human omental (OM) and subcutaneous (SC) adipose tissue were obtained from 23 patients (12 children and 11 adults).
METHOD: mRNA level of cIAP2 was determined using reverse transcription-polymerase chain reaction (RT-PCR) and protein expression confirmed by Western blotting. Apoptosis indices were determined by terminal deoxynucleotidyl transferase-mediated dUTP-fluorescein nick-end labelling (TUNEL).
RESULTS: cIAP2 mRNA was 1.51-fold higher in OM compared with SC adipose tissue (OM>SC in 20 of 23 subjects; P<0.001). Western blots were in agreement with mRNA expression (OM>SC in nine of 10 subjects, P<0.01). Subgroup analyses showed depot difference in both children (P<0.01) and adults (P<0.05). Contrary to the hypothesis, depot-specific difference in mRNA expression of cIAP2 was significantly higher in children compared with adults (P<0.05). We were unable to demonstrate any difference in the basal apoptosis rate between adipocytes from the two depots. There was no significant association between cIAP2 mRNA expression and BMI or sex.
CONCLUSIONS: The results demonstrated for the first time that depot-specific difference in cIAP2 expression is consistent in children and adults. This suggests that the higher expression of cIAP2 in OM than in SC adipose tissue may be due to inherent properties of cells from the two depots. The more pronounced depot-specific difference in children than in adults may reflect a net gain in visceral adipose tissue during growth.
This is a preview of subscription content, access via your institution
Access options
Subscribe to this journal
Receive 12 print issues and online access
$259.00 per year
only $21.58 per issue
Buy this article
- Purchase on SpringerLink
- Instant access to the full article PDF.
USD 39.95
Prices may be subject to local taxes which are calculated during checkout


Similar content being viewed by others
References
James WPT . Global trends of childhood obesity long-term consequences. Ann Nestle 2001; 59: 49–54.
Lamarche B . Abdominal obesity and its metabolic complications: implications for the risk of schemic heart disease. Coron Artery Dis 1998; 9: 473–481.
Mårin PL, Lönn B, Oden L, Olbe B-A, Bengtsson B, Björtorp P . Assimilation of triglycerides in subcutaneous intraabdominal adipose tissue in vivo in men: effects of testosterone. J Clin Endocrinol Metab 1996; 81: 1018–1022.
Vikman HL, Savola JM, Raasmaja A, OHISALO JJ . α2A-Arenergic regulation of cyclic AMP accumulation and lipolysis in human omental and subcutaneous adipocytes. Int J Obes Relat Metab Disord 1996; 20: 185–189.
Adams M, Montague CT, Prins JB, Holder JC, Smith SA, Sanders L, Digby JE, Sewter CP, Lazar MA, Chaterjee VKK, O'Rahilly S . Activators of pereoxisome proliferators-activated receptor gramma have depot-specific effects on human preadipocyte differentiation. J Clin Invest 1997; 100: 3149–3153.
Niesler CU, Siddle K, Prins JB . Human preadipocytes display a depot-specific susceptibility to apoptosis. Diabetes 1998; 47: 1365–1368.
Vidal H . Gene expression in visceral and subcutaneous adipose tissues. Ann Med 2001; 33: 547–555.
Montague CT, Prints JB, Sanders L Digby JE, O'Rahilly S . Depot- and sex-specific differences in human leptin mRNA expression: implication for the control of regional fat distribution. Diabetes 1997; 46: 342–347.
Lefebvre AM, Laville M, Vega N, Riou JP Gaal LV, Auwerx J, Vidal H . Depot-specific differences in adipose tissue gene expression in lean and obese subjects. Diabetes 1998; 47: 98–103.
Kobayashi K, Hatano M, Otaki M, Ogasawara T, Tokuhisa T . Expression of a murine homologue of the inhibitor of apoptosis protein is related to cell proliferation. Proc. Natl Acad Sci USA 1999; 96: 1457–1462.
Dorstyn L, Kumar S . Differential inhibitory effect of CrmA, p35, IAP and three mammalian IAP homologues on apoptosis in NIH 3T3 cells following various death stimuli. Cell Death Diff 1997; 4: 570–579.
Liston P, Roy N, Tamai K, Lefebvre C, Baird S, Cherton-Horvat G, Farahani R, McLean M, Ikeda JE, MacKenzie A, Korneluk RG . Suppression of apoptosis in mammalian cells by NAIP and a related family of IAP genes. Nature 1996; 379: 349–353.
Magun R, Gagnon AM, Yarghi Zsorisky A . Expression and regulation of neuronalapoptosis inhibitory protein during adipocyte differentiation. Diabetes 1998; 47: 1948–1952.
Montague CT, Prins JB, Sanders L, Zhang JL, Sewter CP, Digby J, Byrne CD, O'Rahilly S . Depot-related gene expression in human subcutaneous and omental adipocytes. Diabetes 1998; 47: 1384–1391.
Niesler CU, Prins JB, O'Rahilly S, Siddle K, Montague CT . Adipose depot-specific expression of cIAP2 in human preadipocytes and modulation of expression by factors and TNFα. Int J Obes Relat Metab Disord 2001; 25: 1027–1033.
Wang CY, Mayo MW, Korneluk RG, Goeddel DV, Baldwin Jr AS . NF-κB antiapoptosis: induction of TRAF1 and TRAF2 and cIAP1 and cIAP2 to suppress caspase-8 activation. Science 1998; 281: 1680–1683.
Prins JB, Niesler CU, Winterford CM, Bright NA, Siddle K, O'Rahilly S, Walker NI, Cameron DP . Tumour necrosis factor-α induces apoptosis of human adipose cells. Diabetes 1997; 46: 1939–1944.
Dietz WH . Critical periods in childhood for the development of obesity. Am J Clin Nutr 1994; 59: 955–959.
Goran MI, Ball Geoff DC, Cruz ML . Cardiovascular endocrineolgy 2: obesity and risk of type 2 diabetes and cardiovascular disease in children and adolescents. J Clin Endocrinol Metab 2003; 88: 1417–1427.
Sorisky A, Magun R, Gagnon AM . Adipose cell apoptosis: death in the energy depot. Int J Obes Relat Metab Disord 2000; 24 (Suppl 4): S3–S7.
Acknowledgements
This work was supported by the scientific research fund of Jiangsu Education Committee (99KJD 320012) and the Swedish Medical Research Council (19X-05708). We thank Drs Xu Xiaoqun, Lou Yao, Chen Yijiang and Prof Peter Naredi for provision of adipose tissue sample for these studies and professor Tommy Olsson for fruitful discussions.
Author information
Authors and Affiliations
Corresponding author
Rights and permissions
About this article
Cite this article
Li, X., Chen, R., Lindquist, S. et al. Expression of cellular inhibitor of apoptosis protein-2 in human subcutaneous and omental adipose tissue. Int J Obes 28, 352–356 (2004). https://doi.org/10.1038/sj.ijo.0802566
Received:
Revised:
Accepted:
Published:
Issue date:
DOI: https://doi.org/10.1038/sj.ijo.0802566


